![]() | Alimentatie | Asistenta sociala | Frumusete | Medicina | Medicina veterinara | Retete |
Insuficienta cardiaca este o notiune clinica si fiziopatologica.
Din punct de vedere clinic, ea corespunde unui sindrom, care poate fi determinat de numeroase cauze si multiple mecanisme. Totalitatea simptomelor si semnelor care formeaza sindromul IC exprima incapacitatea inimii de a asigura un regim circulator adecvat necesitatilor organismului. IC este un sindrom functional. Exprima de fapt insuficienta miocardului. Functia de pompa a inimii nu este indeplinita doar de miocardul ventricular, ariile sunt doar "anexe" ale ventriculilor sau prelungiri ale sistemelor venoase (pulmonar si cav) pana la pompa ventriculara. Lipsa contractiei atriale, asa cum se intampla de exemplu in fibrilatia atriala, desi reduce intr-o mica masura debitul - bataie - al inimii, nu determina IC atat timp cat ventriculii isi desfasoara activitatea in mod normal (cu o frecventa de 70 - 80 batai/minut). De aceea, IC exprima, in ultima instanta, insuficienta miocardului ventricular.
In mod obisnuit, inima are o capacitate maxima de lucru (nivelul cel mai ridicat de efort pe care-l poate atinge performanta miocardului ), din care se utilizeaza doar o parte. Aceasta cota, adica lucrul efectiv dezvoltat de inima, este in legatura directa cu nivelul necesitatilor curente circulatorii.Punerea permanenta in acord a lucrului efectiv al inimii cu necesitatile curente se face printr-o serie de mecanisme de adaptare:
-cresterea sensibilitatii miocardului la catecolamine, alungirea fibrei miocardice, tahicardie, hipertrofie, in cazurile de suprasolicitare cronica. Diferenta dintre capacitatea maxima de lucru a inimii si nivelul lucrului efectiv reprezinta asa numita forta de rezerva a inimii.
Exista o limita a eficientei mecanismelor de adaptare, reprezentata de nivelul de solicitare, la care necesitatile curente si lucrul efectiv al inimii ating capacitatea maxima. Orice solicitare a inimii peste aceasta limita critica duce la scaderea eficientei travaliului cardiac si nu la cresterea sa.
Acest decalaj se poate realiza, din punct de vedere fiziopatologic, in doua modalitati fundamentale:
-fie printr-o suprasolcitare a inimii, care va epuiza, la un moment dat, posibilitatile de adaptare, curba necesitatilor depasind nivelul capacitatii maxime; aceasta este asa numita IC ergodinamica.
-fie printr-o afectare a proceselor metabolice si energetice din miocard, care scad capacitatea maxima de lucru a inimii, chiar sub nivelul necesitatilor curente. Aceasta este asa numita IC ergodinamica.
Din punct de vedere fiziopatologic, in IC se produc trei categorii de consecinte:
a)modificari in metabolismul biochimic si bioenergetic al miocardului, cu alterarea unor parametrii ai contractiei cardiace.
b)modificari in regimul circulator extracardiac, in sensul scaderii relative a debitului cardiac (fata de ceea ce ar trebui sa fie in lipsa IC ) si al cresterii presiunii si volumului de sange din sistemul venos (staza venoasa), cu repercursiuni in circulatia capilara generala si mai ales, din unele organe (plamani, ficat, rinichi, etc.).
c)anumite reactii din partea unor mecanisme generale de reglare a homeostazei circulatorii si respiratorii, avand ca punct de plecare hipoxia tisulara si stimularea anumitor zone receptoare specializate. Reactiile exprima in parte tendinta de adaptare la noile conditii ale circulatiei, iar in alta se depaseste aceasta sarcina, creandu-se noi verigi fiziopatologice, care complica procesul de IC.
In formele usoare sau incipiente, IC se manifesta doar prin tulburari functionale subiective, care apar numai la eforturi de o anumita marime si exprima diminuarea tolerantei la efort.
In formele relativ mai exprimate de IC, capacitatea maxima de lucru a miocardului nu este suficienta nici pentru a asigura nevoile circulatorii in conditii de repaus. Principalele manifestari clinice in aceste forme se datoreaza stazei venoase in anumite teritorii sau unor dereglari cu caracter general, cum este edemul.
Orice solicitare in plus a inimii, care se afla deja in IC, duce la accentuarea insuficientei miocardului. Asa se explica de ce IC, odata instalata are un caracter progresiv, se agraveaza prin mecanisme de cerc vicios.
Cunoasterea IC are o deosebita importanta in practica medicala, deoarece:
-cardiopatiile sunt astazi foarte frecvente, iar un sfert din ele ajung la un moment dat in stadiul de IC.
- evolutia sindromului este lunga, trenanta de cele mai multe ori, creand deci o indelungata perioada de invaliditate pentru individul bolnav.
-recunoasterea sindromului, mai ales la inceputul evolutiei sale intampina deseori dificultati si pune probleme de diagnostic diferential importante de rezolvat, deoarece aceasta implica adoptarea unei anumite atitudini terapeutice.
- sindromul pune conditii specifice in privinta unei profilaxii si a unui tratament corect.
Acceptarea distinctiei intre o IC de tip ventricular stang si una de fiziopatologie, care dovedesc ca in orice IC se produc tulburari in functia ambilor ventriculi, ca nu exista si nu poate exista o IC izolata a unui ventricul, ca din punct de vedere fiziopatologic IC este una singura, a intregii inimi.
Totusi majoritatea clinicienilor accepta diferentierea celor doua tipuri, numindu-le in functie de predominanta sau preponderenta semnelor insuficientei unuia din ventriculi, cel putin pentru o anumita perioada din evolutia bolii.
Insuficienta cardiaca dreapta sau Cordul Pulmonar este definit ca o marire a ventriculului drept secundara unor anomalii ale plamanilor, toracelui, ventilatiei sau circulatiei pulmonare. Cateodata duce la decompensarea ventriculului drept asociata cu ingrosarea peretelui ventriculului drept si cresterea presiunii diastolice.Cordul pulmonar si decompensarea ventriculului drept poate fi acut, ca in cazul tromboembolismului pulmonar, sau cronic, in bronsita pulmonara cronica obstructiva severa (BPOC) sau acut spre cronic, in BPOC asociat cu o infectie pulmonara si o intensificare a hipoxiei.Aproximativ 20% din internarile pentru probleme cardiace sunt cauzate de decompensare a VD asociata cu cord pulmonar.Mai mult de jumatate din pacientii cu BPOC au cord pulmonar.Cordul pulmonar constituie un procentaj ridicat a tuturor formelor de boli cardiace in tari ca Statele Unite, Marea Britanie si alte tari in care poluarea aerului este ridicata.
Intrucat subiectul lucrarii se refera la cordul drept si plamani ne vom concentra asupra anatomiei acestora.
Inima este organul central al aparatului
cardiovascular.Este situata in mediastin si are forma unei
piramide triunghiulare sau a unui con turtit, culcat pe diafragm (Fig.1).La
baza inimii se afla atriile, iar spre varf ventriculii.
Atriul drept are forma aproximativ cubica, capacitate mai mica decat a ventriculilor, peretii mai subtiri si prezinta o prelungire numita urechiusa.La nivelul atriului drept se gasesc cinci orifici:-orificiul venei cave superioare,
-orificiul, prevazut cu valvula Eustachio, venei cave inferioare
-orificiul sinusului coronar, prevazut cu valvula Thebesius,
-orificiul urechiusei drepte,
-orificiul atrio- ventricular drept, prevazut cu valvula tricuspida;aceasta proemina ca o palnie in ventricul. (Fig.2).
Fig. 1
Fig.2
La nivelul atriului drept se disting doua portiuni: una, intre cele doua vene cave, numita portiune sinusala; cea de-a doua portiune este atriul drept propriu-zis, care prezinta o musculatura speciala (muschii pectinati).Intre portiunea sinusala si atriul propriu-zis se afla creasta terminala de la care pornesc muschii pectinati. Atriul drept este despartit de atriul stang prin septul interatrial la nivelul caruia se gaseste fosa ovala.
Ventriculul drept are o forma piramidala triunghiulara, cu baza spre orificiul atrioventricular drept.Peretii sai nu sunt netezi, ci prezinta pe fata interna niste trabecule carnoase.Trabeculele sunt de trei categorii:
de ordinul I - muschii papilari, de forma conica, care prin baza lor adera de peretii venticulului, iar varful ofera insertie cordajelor tendinoase care se prind de valva atrio- ventriculare.Cordajele tendinoase impiedica impingerea valvei spre atrii in timpul sistolei ventriculare.
de ordinul II - care se insera prin ambele capete pe peretii ventriculari.
de ordinul III - care adera pe toata intinderea lor de peretii ventriculari, facand relief in interiorul ventriculului.
De la nivelul ventriculului drept pleaca artera pulmonara spre plamani.Orificiul arterial este prevazut cu trei valvule semilunare sau sigmoide, cu aspect de cuib de randunica cu concavitatea superior.
Alveolele pulmonare:
Alveolele pulmonare au forma unui saculet mic, cu peretele extrem de subtire, adaptat schimburilor gazoase.
In jurul alveolelor se gaseste o bogata retea de capilare perialveolare, care impreuna cu peretii alveolelor formeaza bariera alveolo-capilara, in a carei structura mentionam epiteliul alveolar, membrana bazala fibro-elastica a alveolelor, membrana bazala a capilarului si endoteliul capilar.La nivelul acestei bariere au loc schimburile de gaze dintre alveole si sange.
Anatomia vascularizatiei pulmonare
De la artera pulmonara distala catre capilare pot fi identificate 4 regiuni structurale:elastica, musculara, partial musculara si nonmusculara.Trunchiul arterei pulmonare si primele 5 descedente sunt vase elastice, dar mult mai putin decat aorta si arterele majore sistemice.Aceste vase au mai mult de 5 laminare elastice in media lor si la adult prezinta un diametru mai mare de 2000 ym.Pe calea axiala, urmatoarele 3 descedente sunt tranzitionale.
Arterele musculare au 2 pana la 5 laminare elastice si un invelis muscular continuu.Aceste artere constituie majoritatea vaselor pulmonare si la adult au un diametru intre 150 si 2000 ym.Invelisul muscular medial este mult mai subtire decat al arteriolelor din circulatia sistemica.Aceste vase fac loc arterelor partial musculare in care tesutul muscular aranjat in spirala astfel incat pe sectiunea transversala arata ca o semiluna, iar restul peretelui fiind ca un capilar.Arterele nonmusculare sunt mai mari decat capilarele, au un diametru intre 30 si 70 ym, la adult.Arterele musculare cele mai mici si cele partial musculare sunt probabil arterele de rezistenta.
Desi marimea arterelor care insotesc caile aeriene cum ar fi bronsiile lobare, variaza semnificativ, arterele care urmeaza bronhiile respiratorii si ductele alveolare sunt musculare sau partial musculare.Implicatiile acestor observatii pentru functie sunt foarte importante, schimbul de gaze se produce in bronhiile respiratorii si ductele alveolare prin intermediul arterelor care acompaniaza aceste structuri.In plus, hipoxia induce constrictia arterelor musculare;de aceea, acest domeniu al plamanului controleaza activ fluxul sanguin pulmonar.In plus, deoarece spirala musculara de la nivelul arterelor partial musculare este continuata de musculatura care incojoara marile vase se poate produce propagarea retrograda a stimulului hipoxic in caile intracelulare ale sincitiului muscular, astfel declasandu-se un raspuns mult mai sever si extins.
Desi circulatia pulmonara are atat adrenergice cat si colinergice, acestea sunt reduse comparativ cu acelea care inerveaza sistemul vascular sistemic de dimensiuni similare si tind sa se concentreze la nivelul marilor vase din hil.Exista probe care sugereaza ca acesti nervi contin alti neurotransmitatori cum ar fi peptidul vasointestinal activ in fibrele parasimpatice, substanta P, neurokinine si peptide asemanatoare genetic calcitoninei.Unele studii efectuate la copii arata ca neurotransmitatorul predominant este tirozina si ca pe parcursul cresterii si dezvoltarii, densitatea relativa de fibre nervoase creste doar in arterele unitatii respiratorii.
In rezumat, structura circulatiei pulmonare se adapteaza la hemodinamica sa.Peretele subtire, vasele sarac inervate care contin o cantitate relativ mica de musculatura neteda nu favorizeaza un raspuns vasomotor marcat si vasoconstructia singura nu este eficienta pentru a produce supraancarcarea ventriculului drept pana la punctul de aparitie a insuficientei cardiace acute,de aceea in insuficienta cardiaca acuta obstructia mecanica a circulatiei pulmonare este determinata si in cordul pulmonar trebuie sa fie prezente.
Mica circulatie face legatura intre cordul drept si plamani.Ea incepe prin trunchiul pulmonar care isi are originea in ventriculul drept.Trunchiul pulmonar aduce la plaman sange incarcat cu CO2.Dupa un scurt traiect se imparte in artera pulmonara dreapta si stanga, patrunzand fiecare in plamanul respectiv, prin hil.In plaman, arterele pulmonare se divid in ramuri ce insotesc ramificatiile arborelui bronsic pana in jurul alveolelor pulmonare, unde formeaza reteaua capilara perialveolara.La acest nivel, sangele cedeaza CO2 si primeste O2.De la reteaua capilara pornesc venele pulmonare cate doua pentru fiecare plaman.Ele ies din plamani prin hil si se duc spre atriul stang.
Rolul fundamental al inimii este acela de a pompa sange.Ea poate fi considerata ca fiind formata din doua pompe dispuse in serie (pompa stanga si cea drepta),conectate prin circulatiile pulmonara si sistemica.Fiecare parte a inimii este echipata cu doua seturi de valve care, in mod natural, impun deplasarea fluxului sanguin intr-un singur sens.
Valva semilunara, pulmonara, se deschide in timpul diastolei pentru a permite expulzia sangelui in artera si se inchide in diastola, impiedicand revenirea sangelui in ventricul.
Ventriculul drept are peretii mai subtiri si pompeaza in circulatia pulmonara volume relativ mari de sange la presiuni relativ mici.(Fig.3).
Functia de pompa a inimii se
realizeaza cu ajutorul muschiului cardiac si a
proprietatilor acestuia (excitabilitatea, automatismul,
conductibilitateontractilitatea).
Fig.3
Circulatia pulmonara este cuprinsa intre ventriculul drept si cel stang cu rol in schimbul de gaze si filtrare, si de asemenea modificari ale sangelui cum ar fi conversia angiotensinei I in angiotensina II.In mod normal, fluxul de sange prin patul vascular pulmonar depinde nu numai de rolul de pompa al VD ci si de miscarile respiratorii si umplerea si contractia VS.Miscarile respiratorii faciliteaza vascularizarea pulmonara prin intensificarea intoarceri venoase in torace in inspir.Presiunea pozitiva din expir va ajuta la propagarea sangelui in patul vascular sistemic.
Volumul de contractie al VD ca si a celui stang este controlat de umplere, contractilitate si reumplere.Avand in vedere ca VD este relativ subtire, schimbarile acute in intoarcerea venoasa (ex. o crestere in inspir si o scadere in expir ) poate avea loc doar cu o modificare mica in presiunea VD.In orice caz, capacitatea VD de a-si mari presiunea sistolica este limitata.In mod normal, reumplerea VD, care este strans legata de presiunea din artera renala, este mica.Presiunea in artera pulmonara creste, in mod normal usor, cand sangele este deplasat in piept la inceputul unui exercitiu, in pozitia de decubit, la frig, emotii si durere.O presiune de conducere de aproximativ 5 cm coloana de apa intre artera pulmonara (15cmH2O) si AS(10cmH2O) in mod normal propulseaza intregul debit cardiac la aproximativ 5litri/min in repaus in plamani, si doar o usoara crestere in presiune este necesara sa creasca fluxul de sange la 25litri/min prin patul vascular pulmonar in timpul solicitarii maxime.
Cresterea reumplerii VD responsabila de aparitia cordului pulmonar este in principal cauzata de afectiuni vasculare sau ale parenchimului pulmonar.
In acest caz reumplerea VD creste ca o consecinta a restrictiei irigarii pulmonare.In cordul pulmonar secundar unor boli vasculare pulmonare, hipertensiunea este de obicei mai severa decat in afectiunile parenchimatoase pulmonare.
Cordul pulmonar cronic secundar afectiunilor vasculare pulmonare poate rezulta ca urmare a unor embolii pulmonare repetate, vasculitei pulmonare, vasoconstrictie pulmonara aparuta la altitudine mare, unei boli cardiace congenitale cu sunt stang spre drept (ex. defect de sept atrio-ventricular), sau a unei obstructii venoase pulmonare).Atunci cauza unei rezistente vasculare crescute nu poate fi definita, vom folosi denumirea de hipertensiune pulmonara primara.
Cord pulmonar datorat emboliei pulmonare
Aceasta situatie este asociata cu doua sindroame si anume:
Cord pulmonar acut
S-a estimat ca in Statele Unite aproximativ 50.000 de persoane mor in fiecare an din cauza tromboembolismului pulmonar.Probabil jumatate mor in prima ora datorita decompensarii acute a inimii drepte cauzata de masive sau multiple embolii. O embolie masiva aparuta brusc cauzeaza un debit scazut rezultat din incapacitatea VD de a genera o presiune suficienta pentru a impinge sangele in patul vascular pulmonar si asa compromis.Scaderea debitului cardiac poate aparea si in cazul unui embolism moderat daca circulatia pulmonara a fost grav afectata anterior de o boala parenchimala sau vasculara pulmonara.VD incepe sa nu mai faca fata atunci cand presiunea sistolica este fortata sa se dubleze brusc depasind 50mm/Hg.Decompensarea acuta a VD secundara unui embolism pulmonar este sugerata de aparitia brusca a unei dispnei severe si a unui colaps cardiovascular, la un pacient cu tromboza venoasa sau cu predispozitie spre aceasta afectiune.
MANIFESTARI:
Decompensarea acuta a VD se manifesta prin paloare, transpiratii, hipotensiune, puls accelerat de amplitudine mica.Venele jugulare sunt dilatate si proemina.Ficatul poate fi pulsatil, marit si de consistenta moale.Un suflu sistolic al revarsarii tricuspidiene de-a lungul marginii sternale stangi poate fi acompaniat de un sunet presistolic (S4).Analiza sangelui arterial va arata o presiune scazuta a O2 datorita dezechilibrului intre ventilatie si perfuzie si o presiune scazuta a CO2 datorita hiperventilatiei.
TRATAMENT:
Daca debitul cardiac ramane adecvat pentru a sustine pacientul in primele 2-3 ore critice, tromboza endovenoasa de obicei rezulta prin fragmentarea cheagului iar presiunea in artera pulmonara revine la normal.Cu toate acestea s-a demonstrat ca tratamentul cu agenti tromboembolitici lizeaza trombul mult mai repede decat heparina, aceasta terapie fiind indicata atunci cand debitul cardiac scade foarte mult si VD cedeaza.In cordul pulmonar acut o crestere a umplerii VD poate fi obtinuta prin cresterea atenta a volumului sanguin, care va ajuta la mentinerea debitului cardiac.Cand vasoconstrictia hipoxica pulmonara contribuie la hipertensiunea pulmonara, inhalarea de oxigen 100% reduce reumplerea VD.
Cord pulmonar cronic
In contrast cu cel acut, cand cresterea rezistentei vasculare pulmonare si hipertrofia VD dezvoltata treptat, cu o presiune pulmonara crescuta (uneori atingand valorile celei sistemice) si tromboembolismului masiv, poate fi generat.Cordul pulmonar cronic poate fi cauzat de emboli de marime medie care nu se lizeaza, rezultati dintr-o hipertensiune tromboembolica pulmonara.Particule din substante introduse intravenos, paraziti, sau tumori tisulare care ajung in teritoriul vascular pulmonar pot cauza hipertensiune pulmonara primara sau de o vasculita cronica intinsa, asa cum se intampla in asocieri cu dezechilibre vasculare de colagen si care pot afecta patul vascular pulmonar, in particular in sindromul CREST.
MANIFESTARI:
Dispneea si tahipneea sunt manifestari caracteristici ale hipertensiunii secundare unei boli vasculare pulmonare.Poate aparea durere in timpul unui efort moderat sau chiar in repaus si nu se amelioreaza in pozitie verticala.Mai poate aparea tuse neproductiva, durere la nivelul toracelui anterior (datorita dilatatiei acute a radacinii arterei pulmonare sau ischemia VD).Cresterea presiunii venoase sistemice poate cauza hepatomegalie si edeme ale membrelor inferioare.
Ocazional poate aparea cianoza datorita hipoxiei si a debitului cardiac scazut. O bombare a VD poate fi palpata de-a lungul marginei sternale stangi sau in epigastru, si un sunet strident a evacuarii pulmonare poate fi ascultat in partea stanga superioara a sternului.A doua componenta pulmonara a celui de-al doilea sunet cardiac este intensificat.Debutul decompensarii VD este reflectata de o crestere a presiunii venoase, aparitia unor unde v mari asociate cu cresterea revarsarii tricuspidiene, un reflux hepato-jugular pozitiv, si un ritm accelerat atat a celui de-al treilea cat si a celui de-al patrulea zgomot cardiac.Aceste manifestari ale decompensarii VD pot disparea rapid atunci cand presiunea in artera pulmonara este redusa prin reducerea hipoxemiei.
Hipocapnia datorata hiperventilatiei alveolare este o trasatura importanta a hipertensiunii pulmonare cronice secundare unei afectiuni vasculare pulmonare.De obicei nu apar modificari la spirometrie, dar raportul dintre volumul rezidual si volumul curent poate fi mare, mai ales cand exista o obstructie a vaselor mari. Capacitatea de difuziune a plamanilor este redusa cand boala vasculara pulmonara este asociata cu o vasculita capilara si/sau o pierdere a volumului sanguin capilar.Caracteristic, efortul cauzeaza scaderea presiunii O2.Stabilirea capacitatii de efort poate fi folositoare pentru a urmari schimbarile in severitatea bolii vasculare pulmonare la pacientii cu cord pulmonar cronic, deoarece capacitatea de efort este limitata de debitul cardiac si apoi de severitatea obstructiei vasculare pulmonare.
Cordul pulmonar poate fi cauzat si de boli pulmonare obstructive si restrictive, mai frecvente decat cele anterior precizate..In aceste conditii exista de obicei cresteri mici ale presiunii din artera pulmonara.Dezvoltarea unui cord pulmonar determina un prognostic prost a pacientilor cu boli respiratorii, nu datorita faptului ca decompensarea VD nu poate fi tratata, ci datorita faptului ca reflecta gravitatea unei boli pulmonare de baza.
Aceasta este cea mai comuna cauza de cord pulmonar cronic.Dilatarea VD este atribuita cresterii mici spre moderate a hipertensiunii pulmonare care este intalnita in bronsitele obstructive si emfizem.Pacientii cu cord pulmonar datorat BPOC de obicei au o avansata forma a bolii cu FEV1 - 1.0 L si Pa02 - 60mm Hg.Decompensarea VD datorata BPOC apare de obicei cand exista o decompensare respiratorie cu intensificarea hipoxiei.
Hipertensiunea pulmonara in BPOC este cauzata de una sau mai multe cauze si anume:
1.Vasoconstrictie pulmonara secundara unei hipoxi alveolare, acidoza si hipercapnie.Cand acesti stimuli vasoconstrictori persista, ingrosarea arteriolelor determina, prin mecanism mecanic, un volum ridicat in vasele pulmonare.
2.Pierderea vaselor mici din patul vascular in regiunile cu emfizem si destructii pulmonare.
3.Cresterea debitului cardiac si a vascozitatii sanguine cauzata de policitemie secundara hipoxiei.
Dintre aceste cauze hipoxia este cea mai importanta.Presiunea arteriala pulmonara continua sa creasca si foarte adesea scade brusc la inspectia de O2 100%.Debitul cardiac tinde sa fie crescut in absenta decompensarii cardiace daca hipoxia si hipercapnia sunt prezente.Disfunctia ischemica a VS este o urmare frecventa avand in vedere ca pacientii cu cord pulmonar secundar BPOC de obicei sunt fumatori vechi, fumatul fiind un factor de risc major al bolilor ischemice cardiace.Cresterea presiunii in arterele pulmonare poate sa apara si datorita cresterii presiunii in atriul drept care rezulta dintr-o disfunctie a ventriculului stang.Aproape jumatate din pacientii care au murit de cord pulmonar secundar BPOC aveau o hipertrofie de ventricul stang, observata la examinarea postmortem.
Decompensarea ventriculului drept adesea complica cordul pulmonar cand la pacientii cu BPOC apare o complicatie respiratorie cum ar fi o infectie respiratorie acuta cu hipoxie si hipercapnie, si o agravare a hipertensiunii pulmonare.Pot aparea atat aritmii supraventriculare cat si ventriculare.Ficatul este marit, dur,si deplasat in jos datorita diafragmului coborat.Poate sa apara si un reflux hepatojugular.
O crestere a obstructiei cailor respiratorii determina marirea presiunii intratoracice, care va impiedica intoarcerea venoasa creste presiunea venoasa in jugulare si poate cauza edeme periferice.Hipertensiunea venoasa datorata obstructiei cailor respiratorii adesea, are o crestere rapida cu evidentierea obstacolului.
Cordul pulmonar este adesea asociat cu distrugerea patului vascular pulmonar prin afectarea parenchimului pulmonar si a fibrozei.
O mare varietate de afectiuni ale sistemului nervos, sistemului muscular, diafragmului si a peretelui toracic cauzeaza hipertensiune pulmonara si apoi cord pulmonar secundar hipoxiei cronice si/sau compresiei asupra vaselor pulmonare.Tulburarile ventilatiei includ si apneea nocturna.Obstructiile cailor respiratorii superioare pot fi responsabile de aparitia hipoxiei cronice, hipertensiune pulmonara secundara, cord pulmonar si eventual decompensarea VD.
Persoanele care locuiesc la altitudini mari si care sufera de hipoxie cronica si policitemie secundara pot dezvolta o hipertensiune pulmonara si cord pulmonar.Simptomele confuzia si pierderea acuitati mentale sunt semne comune. Coborarea la o altitudine inferioara si/sau flebotomia facuta preventiv determina o scadere a presiunii in artera pulmonara si o ameliorare a simptomelor.
Boala
pulmonara

cronica
Reducerea patului Acidoza si
Hipoxia vascular pulmonar hipercapnie


![]()
Hipertensiune
pulmonara
Policitemie si
hipervascozitate
Hipertrofia si
Dilatarea
VD
Insuficienta
ventriculara
dreapta
Fig.4- Patogeneza cordului pulmonar.
Severitatea dilatarii VD in cordul pulmonar depinde de cresterea reumplerii. Cand rezistenta vasculara pulmonara este crescuta si relativ constanta, asa cum apare in boli severe ale parenchimului pulmonar, o crestere a debitului cardiac poate creste presiunea din artera pulmonara in mod marcat. Reumplerea VD poate creste cand plamanii sunt incarcati, ca in BPOC, datorita compresiunii capilarelor aveolare si a lungimii vaselor pulmonare. Reumplerea VD poate de asemenea creste cand volumul pulmonar este redus in urma unei rezectii pulmonare importante, sau in boli pulmonare restrictive in care vasele pulmonare sunt comprimate si deformate. Reumplerea VD creste in vasoconstrictia pulmonara cauzata de hipoxie sau acidoza, care sunt cauze importante ale hipertensiunii pulmonare.Vasoconstrictia cauzata de hipoxie din zonele pulmonare afectate de o anumita afectiune distribuie sangele in regiuni ventilate normal.Vasoconstrictia apare mai mult datorita hipoxiei alveolare decat intravasculare si este accentuata de hipercapnie, probabil datorita acidozei asociate. Cand hematocritul ajunge sa fie foarte ridicat datorita hipoxiei cronice (in policitemia secundara), cresterea vascozitatii sanguine poate de asemenea agrava hipertensiunea pulmonara.Vasoconstrictia hipoxica pulmonara poate cauza afectarea vasculara pulmonara cu inflamarea endoteliului si hipertrofie mediala.
Mecanisme potential patologice care conduc la hipertensiune arteriala pulmonara si cord pulmonar:
Ca raspuns la o sarcina presionala joasa sau moderata, fluxul coronarian
|
MECANISME |
EXEMPLE |
|
Primar Scaderea anatomica a ariei de sectiune transversala(distructie vasculara, scaderea lumenului datorita hipertrofiei) a vaselor pulmonare de rezistenta. |
Fibroza interstitiala si boala grandulomatoasa. |
|
Contributor Cresterea marcata a fluxului sanguin pulmonar. Cresterea presiunilor in inima stanga si venele pulmonare. Cresterea vascozitatii sangvine. |
Efort Insuficienta ventriculului stang sau boala pulmonara venoocluziva. Policitemia secundara sau hipoxia cronica. |
|
Nedovedit Compresia vaselor pulmonare de rezistenta prin cresterea presiunii alveolare de vecinatate. Anastomoze intre arterele bronsice si arterele pulmonare. |
Bronsita asmatica. Circulatia bronsica dilatata. |
drept va creste in ciuda unei scaderi a presiunii de perfuzie a coronarienei drepte, deoarece dilatarea compensatorie a arterelor coronare reduce rezistenta la flux. Functia sistolica a ventriculului drept poate fi mentinuta in parte prin argumentarea presarcinii sau volumului telediastolic; oricum distensia marcata a ventriculului drept a avut efecte adverse incluzand cresterea presiunii parietale (cresterea de oxigen), scaderea compliantiei ventriculului stang si a regurcitarii tricuspidiene.
Sarcina presionala

Sarcina
de
volum
Presiunea
VD crescuta
![]()

Decompensarea
VD

Ischemia
Cresterea stresului
parietal a VD
(cerere O2 crescuta)
Scaderea presiunii
de perfuzie a
coronarienei drepte

Cresterea
in volum a VD
Insuficienta
tricuspidiana
Scaderea
Scaderea compliantei debitului
diastolice a VS VD
(modificarea
septului)
Hipotensiunea
sistemica scade
debitul cardiac
Scaderea presarcinii
ventriculului stang
Fig.5 - Fiziopatologia insuficientei cardiace drepte.
Ultimele doua efecte pot sa scada debitul cardiac si presiunea aortica astfel incat va scadea si presiunea de perfuzie a coranarienei drepte chiar atunci cand miocardul VD are un necesar scazut de oxigen.
Cand rezerva vasodilatatorie a coronarienei drepte este epuizata, se poate instala ischemia miocardica care are ca rezultat degradarea functiei VD.La un punct critic al decompensarii VD, cercul se inchide ireversibil si se produce rapid colaps circulator.
Mecanismele dezechilibrului hidrosalin la pacientii cu BPOC.Liniile si casutele trasate continuu indica anormalitatile functiei renale, balantei hidrosaline si hormonale.Liniile punctate indica mecanismele probabil protective impotriva acestui dezechilibru.
|
|
|
schimbului tubular de Na si H |
|
pCO2 |
FSR
|
fluxului renal plasmatic fractiei de filtrare presiunii oncotice peritubulare |
|
|
![]()
|
PNA |
|
activarea reninei
|
![]()
ARP
|
Angiotensina II |
|
|
|
|
|
|
|
Angiotensina II
|
|
|
|
|
|
|
Natriureza
|
Dopamina |
|
|
|
Retentie de H2O Hiponatremie |
|
|
AVP
Fig. 6- Mecanismele dezechilibrului hidrosalin.
E. FACTORII PRECIPITANTI SAU AGRAVANTI
AI ISUFICIENTEI CARDIACE.
Ne referim la stari, uneori fiziologice alteori patologice, care au unele repercursiuni asupra inimii.Singure si in masura in care sunt prezentate la un bolnav, ele nu pot determina o IC, dar suprapunandu-se peste leziunile cardiace ale unei cardiopatii de baza, favorizeaza aparitia sau agraveaza evolutia unei IC.
Conditiile adjuvante pot indeplini urmatoarele roluri:
pot declansa aparitia IC in cardiopatiile care in prealabil erau inca in stadiu compensat (rol declansant)
pot grabi evolutia unei IC deja instalata la un cardiopat in sensul ca sindromul evolueaza de acum mai repede, se agraveaza intr-un ritm mai accelerat (rol precipitant, agravant).
pot provoca de multe ori manifestari acute ale IC (edem pulmonar,cord pulmonar acut), pe fondul unei IC cu evolutie cronica sau chiar al unei cardiopatii compensate in prealabil.
pot fi cauza unor esecuri terapeutice sau a raspunsului inadecvat la aplicarea unor masuri de tratament la care, in mod obisnuit, ar trebui sa obtina un raspuns bun.Asa numita "ireductibilitate" a multor cazuri de IC se datoreaza de regula interventiei unor astfel de factori precipitanti.
Facatorii precipitanti pot fi depistati in peste 50% din cazuri de IC. Importanta deosebita a cunoasterii si depistarii acestor conditii la bolnavii cu IC consta in faptul ca ele fiind stari intercurente de data generala recenta sunt mai adesea suscceptibile de a fi tratate eficient si sunt reversibile.Odata cu inlaturarea lor retrocedeaza si simptomatologia IC: fenomenele fie ca diminua foarte mult fie ca dispar complet.Se poate obtine o ameliorare mai mult sau mai putin substantiala chiar si in cazurile care, in prealabil erau"ireductibile".
Factorii precipitanti sunt urmatorii:
Eforturile fizice excesive sau indelungate.
Emotiile extreme sau surmenajul nervos excesiv.
Incarcarea excesiva a organismului cu lichide prin ingestie sau perfuzie la fel mesele prea copioase sau excesul de alimente care baloneaza cu multa celuloza sau fermentescibile.
Obezitatea care poate fi uneori principala cauza care declanseaza IC aceasta poate ceda la o simpla cura de slabire.
Sarcina, prin hipervolemie si hidrofilie tisulara, nasterea prin efortul deosebit pe care il cere inima si alaptarea prin mecanismele hormonale pot declansa sau agrava o IC.
Diferite substante cum ar fi:cafeina, tutunul, adrenalina, fenilbutazona etc., pot favoriza IC prin diferite mecanisme:tahicardie, travaliu cardiac crescut, retentie de sodiu si apa etc.
Unele tulburari endocrine pot favoriza IC:
-hipertiroidismul, mijlociu sau usor uneori chiar cel latent
-hiperfoliculismul premenstrual sau climateric sau din alte hiperfoliculinii patologice(de exemplu in fibromiomatoza uterina) declansand deseori manifestari de IC
-si alte tulburari endocrine pot favoriza aparitia sau agravarea IC:insuficienta tiroidiana, testiculara, suprarenala, hipofizara, acromegalia etc.
Disproteinemiile de origine nutritionala, in sindroame de malabsortie,in hepatite cronice in afectiuni ale sistemului reticuloendotelial si tumorale etc. pot precipita o IC.
Tulburarile balantei hidroelectrolitice:hipo- sau hiperkalinemia, hipo- sau hipernatremia, hipo- sau hipercalcemia etc., aparute in urma unor pierderi mari de lichide (diaree, varsaturi, hemoragii, evacuari de colectii mari de seroase), dupa doze mari de diuretice, in insuficiente renale, hepatice, pancreatice ca si in tulburari endocrine(mai ales suprarenaliene) sau prin supraancarcarea organismului cu unele saruri(Na, K, Ca etc.), pot influenta atat energetica miocardului cat si mecanismele extracardiace ale IC, favorizand aparitia sau agravarea ei.(Fig.7).

Fig. 7 Factorii precipitanti in insuficienta cardiaca dreapta.
Simptomatologia insuficientei cardiace drepte, care constituie si criteriile de diagnostic, cuprinde urmatoarele:
a)hepatalgia si hepatomegalia de staza
b)cianoza
c)turgescenta venelor superficiale, mai ales cele jugulare
d)fenomene de staza renala
e)fenomene de staza portala
f)fenomene de staza cerebrala
g)edemele cardiace
h)hidrotoracele
i)alte semne fizice care exprima insuficienta VD
j)indicii de laborator si teste functionale ale insuficientei cardiace drepte
|
Semne si simptome datorate scaderii debitului cardiac |
Semne si simptome datorate congestiei venoase si rezistentei hidrosaline |
Semne si simptome revelatoare pentru utilizarea rezervei cardiovasculare si/sau supracompensarii |
|
Hipotensiunea arteriala |
Dispneea |
Cardiomegalia |
|
Oliguria |
Tusea |
Tahicardia |
|
Fatigabilitatea |
Hidrotoracele |
Cianoza |
|
Insomnia |
Edemele |
Galopul(Ziv, Ziii) |
|
Iritabilitatea |
Ascita |
Cresterea temperaturii centrale a corpului cu 1-2 grade C |
|
Hepatosplenomegalia |
Hipersudoratia |
|
|
Ralurile de staza pulmonara |
Fig.7 Semnificatia fiziopatologica a principalelor simptome si semne ale IC(dupa Mogos Gheorghe).
a) Hepatalgia si hepatomegalia de staza.
Cresterea presiunii si a cantitatii de sange in atriul drept si venele cave, datorita insuficientei VD ar putea fi determinate prin cateterism cardiac si astfel ar putea constitui primul indiciu al decompensarii VD. Metoda fiind insa mai dificil de aplicat in practica curenta, nu este utilizata. De aceea prima si cea mai caracteristica manifestare clinica a insuficientei ventriculare drepte este ficatul de staza, expresie a acumularii sangelui venos, sub presiune crescuta in rezervorul reprezentat de capilare sinusoidale hepatice.
Cresterea de volum a ficatului se manifesta prin:
-dureri in hipocondru drept(hepatalgie),care la inceput apar mai ales dupa eforturi (hepatalgie de efort) apoi devin persistente ca si insasi marirea de volum a organului. In insuficienta cardiaca mai veche sau care se constituie lent, ficatul desi este marit, nu mai prezinta sensibilitate nici spontan si nici la palpare.
-constatarea maririi anatomice a ficatului(hepatomegalie);cresterea de volum a organului este, in general uniforma cu usoara proeminenta a lobului stang iar suprafata este regulata. La inceputul evolutiei sindromului, ficatul este relativ moale(consistenta de organ); cu cat staza este mai accentuata(mai rapid instalata, ceea ce pune ficatul sub tensiune mai mare sau este mai veche, ceea ce presupune o induratie fibrotica a ficatului), cu atat ficatul este mai dur la palpare.
Hepatalgia de staza trebuie diferentiata de durerile datorate altor cauze de marire dureroasa a ficatului(hepatite acute, angiocolite etc.) sau de afectiuni ale cailor biliare(litiaza, colecistita, colangite etc.)
Hepatomegalia de staza trebuie diferentiata de alte cauze de marire a ficatului: hepatite acute sau cronice, ciroze hepatice, tumori hepatice, infiltratia grasa a ficatului la obezi sau diabetici, hepato(spleno)megaliile din afectiuni ale sistemului reticuloendotelial si hematopoietic.
Hepatalgia si hepatomegalia se recunosc ca atare, pe baza urmatoarelor criterii generale:
-au caracter progresiv in scurt timp(cateva saptamani sau luni)
-se insotesc si de alte semne ale insuficientei cardiace drepte:cianoza, turgescente jugulare, edeme, oligurie etc.
-se insotesc de o crestere a presiunii venoase masurate
-persistenta bolii care sa justifice prezenta decompensarii inimii drepte:cardiopatii mitrale sau congenitale, cord pulmonar etc.
-lipsesc semnele si simptomele lezarii parenchimului hepatic(sindromul dispeptic si neuroastenic al insuficientei hepatice, nu exista icter, testele functionale hepatice sunt normale etc.)
-fenomenele retrocedeaza rapid, in cateva zile, la repaus, regim desodat si diuretice.
b) Cianoza.
Expresie a intarzierii vitezei in microcirculatie, cianoza din insuficienta cardiaca dreapta este generalizata cu predominenta la extremitati si proeminente(buze, urechi, pometi, nas, maini, picioare etc.), tegumentele sunt ceva mai rosii si mai calde, cu transpiratii(mai ales la nivelul palmei), daca debitul cardiac este crescut, sunt mai palide si mai reci, daca debitul cardiac este scazut este vorba de debitul cardiac efectiv, exprimat in litri si pe minut.
Trebuie diferentiata de alte cauze de cianoza generalizata:insuficienta respiratorie, sunturile venoarteriale(cu trecerea sangelui din partea dreapta a inimii in cea stanga:DSA, DSV etc.), insuficienta circulatorie periferica, poliglobulii, intoxicatii hemoglobinotrope, tromboze venoase, obstacole arteriale, etc.
c)Turgescenta venelor superficiale.
Este expresia hipertensiunii si pletorei din sistemul venos si este mai exprimata la nivelul venelor gatului(jugulare), deoarece aceste vene mari sunt foarte apropiate de atriul drept, au peretii subtiri iar in mod normal sunt turtite avand o presiune relativ negativa.
Trebuie diferentiata de alte cauze de turgescenta venoasa:cresterea presiunii intratoracice, compresiunile tumorale mediastinale, trombozele venei cave superioare.
d ) Fenomenele de staza renala .
Apar ca urmare a cresterii presiunii in venele renale si scaderii gradientului de presiune dintre artere si vena renala(presiunea de filtrare); se manifesta prin nicturie, oligurie cu urina normal concentrata, iar in stadiile avansate poate aparea o usoara protenurie, uneori microhematurie si chiar o modesta crestere a azotului ureic sanguin pana la 80-100 mg%, dar nu peste aceste valori.Azotemia cedeaza la repaus si dupa tratamentul cu cardiotonice si diuretice.
Aceste fenomene trebuie diferentiate de cele produse prin boli renale propriu-zise (glomerulonefrite acute si cronice, scleroze renale, pielonefrite cronice etc.).
e)Fenomenele de staza portala.
Expresie a stazei hepatice, staza portala este in general mai atenuata in insuficienta cardiaca drapta, manifestandu-se prin meteorism, constipatie, inapetenta, greata iar in cazurile cu alura mai rapida prin varsaturi si diaree.
Ascita este exceptionala in insuficienta cardiaca dreapta.Circulatia colaterala nu apare, presiunea fiind crescuta atat in interiorul portal cat si venele cave.
Staza portala inclusiv ascita este foarte pronuntata si adesea precoce, in insuficienta cardiaca de tip drept din leziunile tricuspidiale(mai ales stenoza) si din pericardita constrictiva.
Fenomenele de staza portala din insuficienta dreapta trebuie diferentiate de alte cauze de meteorism si/ sau ascita:ciroze hepatice, subocluzii intestinale cronice, tumori intestinale sau peritoneala etc.
f)Fenomenele de staza cerebrala.
Expresie a congestiei venoase a encefalului, a scaderii relative a debitului arterial, a hipoxiei si a hipercapniei avand ca substrat o tendinta la edem a substantei cerebrale si meningeale, fenomenele de "staza cerebrala" apar de obicei in stadii mai avansate ale insuficientei cardiace drepte.Aceste fenomene se intalnesc mai des in cordul pulmonar cronic(unde hipoxia si hipercapnia sunt mult mai accentuate din cauza insuficientei respiratorii concomitente) sau la cardiacii cu arterioscleroza cerebrala.
Aceasta encefalopatie se manifesta prin:somnolenta diurna si adesea insomnie nocturna, apatie si torpore care uneori evolueaza pana la coma alteori agitatie("delir cardiac")etc.
Fenomenele de staza cerebrala trebuie diferentiate de cele datorate:afectiunilor cerebrale de origine vasculara, tumori cerebrale, fenomenelor nervoase datorate tulburarilor metabolice din diabetul zaharat, insuficienta renala, insuficienta hepatica, tulburarile datorate unor medicamente cu actiune nervoasa, luate in exces(sedative, somnifere etc.).
g)Edemele cardiace.
Fac parte din manifestarile cele mai caracteristice ale insuficientei cardiace drepte.Ele se datoresc unor mecanisme complexe:staza venoasa sistemica, tulburarile functiei renale consecutivei insuficientei cardiace, interventia unor mecanisme hormonale cu rol in retentia de natriu si de apa etc.
Natura cardiaca a edemelor se recunoaste prin caracterul lor generalizat, predominant decliv, progresiv, la inceput vesperale apoi permanente cu extindere de la partile cele mai joase ale corpului(maleole si gambe, regiunea sacrata)in sus.
Edemele cardiace trebuie diferentiate de edemele generalizate:renale, disproteinemice, endocrine etc., ca si edemele de cauze localizate la membrele inferioare:varicoase, postflebitice, prin compresiune etc. mai trebuie excluse edemele de cauze statice:picior plat, stationare indelungata in picioare sau in pozitie sezanda, cu picioarele atarnate etc.
h)Hidrotoracele.
Pentru insuficienta cardiaca dreapta este caracteristic hidrotoracele drept sau in cazuri grave bilateral cu predominenta dreapta.
Revarsatul pleural de staza cu caracter de transudat trebuie diferentiat de alte cauze de colectii lichidiene pleurale:pleurezii exudative bacilare sau de alta natura, pleurezii tumorale, pleurezii de insotire al unui infarct pulmonar etc.
i)Alte semne fizice.
Dintre alte semne fizice care exprima insuficienta VD, trebuie amintit, in primul rand ritmul de galop drept, adica cel care se produce in ventriculul drept si este perceput in aria de auscultatie a acestuia.Apare mai ales in cazurile cu alura evolutiva mai rapida si mai severa.Este dificil de a-l deosebi de un ritm de galop stang.
j)Indicii de laborator si teste functionale ale insuficientei cardiace drepte.
Demne de amintit sunt:
-timpul de circulatie brat-plaman, care este prelungit(ca si timpul total de circulatie brat-limba , pe langa un timp plaman-limba normal)
-presiunea venoasa este crescuta chiar in repaus (12-20 cm. de apa uneori peste aceste valori), si creste dupa unele probe functionale;proba Valsala, apasarea regiunii hepatice, ridicarea pasiva a membrelor inferioare.
-curbele de puls venos (jugulogramele) prezinta unde pozitive (a si y) ample.
-cateterismul inimii drepte pune in evidenta cresterea presiunii telediastolice in VD si a presiunii din AD si venele cave (presiunea venoasa centrala crescuta).
-disfunctia hepatica produsa prin hipoxia parenchimului hepatic, se exprima prin cresterea cantitatii urobilinogenului in urina, prin hiperbilirubinemie si uneori prin subicter si chiar icter dar toate acestea cedeaza destul de repede odata cu reducerea fenomenelor de staza hepatica.
Restul semnelor pot sa apara sau nu si nu sunt suficiente de caracteristice in sine, ci doar in context cu celelalte semne, care pot fi considerate majore.
In functie de gravitatea simptomelor clinice, insuficienta cardiaca este de trei grade:
Gradul I sau insuficienta cardiaca usoara - se manifesta prin tulburari functionale ca dispnee de efort, limitare progresiva a tolerantei la efort, fara semne clinice obiective de staza venoasa.
Gradul II sau insuficienta cardiaca moderata - se manifesta prin tulburari functionale mai severe.Pe langa acestea examenul clinic obiectiv pune in evidenta staza hepatica (hepatomegalie de staza ).In esenta IC de gradul II se caracterizeaza prin acumulare de sange in vasele sanguine cu caracter de rezervor(capilare si venule situate in organele "in amonte" de ventriculul insuficient.
Gradul III sau insuficienta cardiaca severa - se manifesta prin semnele clinice subiective descrise si fenomenele de staza sanguina nu numai in rezervoarele de sange din imediata apropiere a varsarii curentului venos in inima ci si la distanta ca o staza generalizata, insotita de edeme cardiace si mai tarziu de revarsate lichidiene in cavitatea pleurala si peritoneala ca expresie clinica a retentiei de apa si NaCl in organism.
1.Examen clinic
Examenul clinic este nespecific pentru diagnosticul cordului pulmonar, in special la pacientii cu BPOC, la care hiperinflatia toracica mascheaza semnele tipice de hipertensiune pulmonara sau disfunctia de VD de exemplu:presiunea intratoracica variaza larg la astfel de pacienti facand ca determinarea presiunii venoase jugulare sa fie dificila.In plus edemele periferice pot fi absente la pacientii cu hipertensiune pulmonara sau pot fi datorate altor cauze cum ar fi hipoalbuminemia.Alte trasaturi fizice caracteristice de cord pulmonar, dar nu intotdeauna prezente sau frecvent modificate de hiperinflatie includ impuls sistolic parasternal (indicand hipertrofia VD).Accentuarea componentei pulmonare a zgomotului 2 cardiac, care sugereaza de obicei hipertensiune pulmonara este de asemenea o trasatura necaracteristica la pacientii cu BPOC.
2.Explorari paraclinice
Investigatiile paraclinice necesare stabilirii diagnosticului pozitiv, etiologic si functional al insuficientei cardiace drepte includ (tabelul):explorari conventionale, explorari ale structurii si functiei VD si explorari ale structurii si functiei circulatiei pulmonare.
I.Explorari conventionale:
radiografia toracica
electrocardiograma
probele ventilatorii (corelate cu examenul gazelor sanguine)
II.Explorari ale structurii si functiei VD:
vectrocardiografia (VCG)
ecocardiografia
scintigrama miocardiaca cu Ta- 201
mecanogramele VD
angiografia nucleara computerizata
III.Explorari ale structurii si functiei circulatiei pulmonare:
scintigrama pulmonara
cateterismul arterei pulmonare
angiografia de contrast a VD si AP
biopsia pulmonara prin toracotomie minima
IV.Metode recente
1. rezonanta magnetica nucleara
2. tomografia de remisie
Marirea siluetei cardiace poate fi normala in radiografia toracica simpla la pacientii cu cord pulmonar, dar in stadiul avansat, inima poate prezenta o rotatie anterioara si butonul aortic devine mai putin proeminent.In plus deoarece VD se extinde anterior si catre stanga va ocupa spatiul retrosternal.In plus deoarece VD va forma cea mai mare parte a arcului cardiac stang, fortand VS sa se pastreze posterior si conferind inimii stangi un aspect lobular.
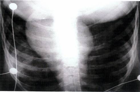
In radiografia toracica simpla hipertensiunea pulmonara este indicata de dilatarea trunchiului arterei pulmonare si a ramurilor sale cu stergerea desenului vascular periferic.Intr-un studiu la pacientii cu BPOC masurarea celui mai mare diametru al arterei pulmonare (presiunea arteriala pulmonara medie >20 mmHg).
Un alt studiu la pacientii cu BPOC cu diametru arterei pulmonare drepte ≥20 mm a separat pacientii cu hipertensiune pulmonara de cei fara.Raportul cardiotoracic hilar a fost un index mult mai sensibil: 95% pentru hipertensiunea arteriala pulmonara la pacientii cu BPOC.Desi aceste masuratori pot indica prezenta hipertensiunii pulmonare, ele nu pot evalua valoarea si severitatea acesteia.(Fig.8).

FIG.8 Radiografia toracica simpla.
Este inalt specifica dar cu sensibilitate redusa in detectarea hipertrofiei ventriculare drepte.
Criteriile clasice electrocardiorafice pentru cordul pulmonar care au fost derivate de la pacientii cu boli cardiace congenitale nu sunt sensibile la pacientii cu BPOC deoarece hipertrofia moderata a VD este un eveniment tarziu in cordul pulmonar aparand numai dupa dilatarea prelungita a VD.
Evaluand efectele evenimentelor dinamice pe electrocardiogramele a 200 de pacienti cu BPOC, s-a observat ca cel putin una din urmatoarele modificari, apar cand saturatia arteriala in O2 scade sub 85% si presiunea arteriala pulmonara medie creste la peste 25mm Hg:
o derivatie axiala dreapta a axului QRS cu 30 grade mai mult fata de pozitia initiala.
unde T inversate, bifazice sau aplatizate in derivatiile precordiale
subdenivelarea segmentului ST in derivatiile II,III si a V f
bloc de ramura dreapta incomplet sau complet(Fig.9).

Fig.9 Electrocardiograma.
Aceste modificari dispar cand saturatia arteriala in O2 creste.Modificarile tranzitorii ale undelor T in derivatiile precordiale drepte si devierea axului la dreapta, care se dezvolta o data cu cresterea modesta a presiunii arteriale pulmonare, persista daca cresterile presionale au fost mai severe.Daca functia pulmonara nu se imbunatateste creste voltajul undei R in derivatiile precordiale drepte si se dezvolta o adevarata deviere axiala dreapta.Cresterea de voltaj a undei R in derivatiile precordiale drepte revine rareori la normal dupa ameliorarea gazelor arteriale sangvine.
In alte studii efectuate la pacienti cu cordul pulmonar cronic, hipertrofia VD a fost sugerata de rotatia orara, deviatia axiala dreapta, un model QR in a Vr si evidenta electrocardiografica a maririi AD (P pulmonar) in aceasta secventa.La pacientii cu BPOC axa QRS este uneori directionata posterior, superior si la dreapta cu o aparenta deviere axiala stanga in derivatiile standard ale membrelor.Acest model impreuna cu microvoltajul au fost asociate cel mai frecvent cu emfizemul.
Electrocardiografia este mai putin exacta in dectectarea hipertrofiei de VD la pacientii cu BPOC decat la pacientii cu hipertensiune arteriala pulmonara.
Ecocardiografia
Ecografia Dopplera a imbunatatit evaluarea presiunii arteriale pulmonare.Presiunea medie din AD si gradientul presional sistolic de varf dintre VD si AD trebuie sa fie masurate iar rezultatele insumate pentru a estima presiunea arteriala pulmonara sistolica de varf.Inaltimea pulsului venos jugular este folosita pentru a estima presiunea din atriul drept.
Jetul de regurcitare tricuspidiana poate fi obtinuta prin ecocardiografia Doppler pentru a masura gradientul ventriculoatrial drept.Regurcitarea tricuspidiana apare la subiectii normali si la pacientii cu BPOC.Argumentarea semnalului printrr-o infuzie de solutie salina IV determina imbunatatirea calitatii ECO continuu in dectectarea regurcitarii tricuspidiene.Cu ecuatia Bernouli modificata (G =4 V2),care foloseste velocitatea de varf a jetului regurcitarii tricuspidiene (V), gradientul presional dintre VD si AD (G) poate fi calculat.Presiunea arteriala pulmonara sistolica poate fi calculata prin sumarea acestui gradient presional cu presiunea medie din atriul drept .
Dificultatea diferentierii peretelui VD de structurile invecinate limiteaza folosirea ECO in depistarea hipertrofiei VD.Masurile ecocardiografice ale grosimii peretelui VD s-au corelat slab cu greutatea VD determinata la necropsie.
Pentru o apreciere calitativa, pozitia si curbura septului interventricular ofera indicatii asupra postsarcinii VD.Desi miscarile septului interventricular sunt catre stanga in timpul ejectiei sistolice si catre dreapta in timpul umplerii diastolice in cordul normal, la pacientii cu suprasarcina de volum a VD, acest patern se inverseaza in timpul ejectiei si umplerii cardiace.Mai mult suprasarcina de presiune a VD deplaseaza in plus septul catre VS.
Rezonanta magnetica nucleara (RMN)
RMN realizeaza cele mai bune imagini ale VD si de aceea este considerata de unii autori, ca fiind standardul de aur in masurarea dimensiunilor ventriculare.Desi RMN nu implica iradierea pacientului si este noninvaziva este o metoda scumpa si disponibila doar in centre specializate.
Volumul peretelui liber al VD determinat prin RMN se coreleaza atat cu presiunea arteriala pulmonara (r = 0,72, p < 0.01) cat si rezistenta vasculara pulmonara (r =0,65,p < 0.01) la pacientii cu BPOC.In afara de a fi cea mai buna metoda in masurarea dimensiunilor VD,RMN poate fi folosita pentru a defini hipertrofia VD la pacientii cu BPOC si pentru a studia efectele terapiei.
Ventriculografia radionuclida
Poate masura volumul VD in ciuda formei sale variabile si neregulate.O injectare IV de eritrocite sau albumina serica umana marcate cu tehnetiu 99 este detectata in circuitul central de catre o camera gamma producand o curba timp-activitate, fie prin sumarea masuratorilor din diverse puncte pe parcursul ciclului cardiac.
Variatiile formei VD nu afecteaza aceste masuratori deoarece masuratorile radioactive sunt proportionale cu volumul.
Ventriculografia radionuclida a depasit problema variatiei formei ventriculare atat de dificile la angiografia de contrast si pare a fi ideala pentru evaluarea functiei VD. La pacientii cu BPOC, presiunea arteriala pulmonara se coreleaza invers cu fractia de ejectie a VD (FEVD).O valoare anormala a FEVD poate ajuta la identificarea pacientilor cu BPOC care au hipertensiune pulmonara.Performanta VD din angiocardiografia radionuclida poate fi de asemenea folosita pentru a evalua eficacitatea terapiei (O2 vasodilatatoare) in crestere FEVD.
Imagistica cu Thaliu 201
Scintigrama miocardica cu Thaliu 201 a fost folosita pentru diagnosticul hipertrofiei VD la pacientii cu hipertensiune pulmonara.Fluxul miocardic regional si masa miocardica sunt determinate pentru distributia radiotrasorului.VS marit poate fi clar vizualizat in repaus dar VD este de obicei neevidentiabil.Intr-un studiu, imagistica cu Thaliu 201 a fost in procent de 73% sensibila in diagnosticarea suprasarcinii de presiune a VD la 46 de pacienti cu BPOC.Cele mai bune imagini se obtin la pacientii cu presiune sistolica a VD crescuta si rezistenta vasculara pulmonara mare sugerand o corelare intre hipertrofia VD si gradul de vizualizare.Oricum scintigrafia cu Thaliu 201 este mai degraba calitativa decat cantitativa si deoarece nu are nici un avantaj fata de ecocardiografie, nu a mai fost folosita pe scara larga in clinica.
H. EVOLUTIE SI PROGNOSTIC
Evolutia si cauza mortii in insuficienta cardiaca sunt deseori determinate sau modificate de boala de fond care a produs insuficienta cardiaca.Insuficienta cardiaca nu reprezinta o boala de sine statatoare si are o semnificatie prognostica grava. In fiecare caz, evolutia si prognosticul depind de o serie de factori dintre care cei mai importanti sunt:natura bolii cauzale, factorii favorizantti sau precipitanti ai insuficientei cardiace precum si de calitatea tratamentului.
]Astfel miocarditele acute (reumatismala, virala, bacteriana etc.) se insotesc de obicei de insuficienta cardiaca reversibila integral, o data cu vindecarea bolii de baza. Din contra valvulopatiile, miocardiopatiile cronice si cardiomiopatiile care se agraveaza cu timpul determina o insuficienta cardiaca cu caracter intotdeauna progresiv. Insuficienta cardiaca care survine in decompesarile valvulopatiilor mitrale apare precoce, se poate remite, dar recidiveaza.In valvulopatiile aortice ca si in cardiopatia ischemica prin ateroscleroza coronariana insuficienta cardiaca odata instalata cedeaza greu sau deloc.
Printre factorii care agraveaza prognosticul sunt de mentionat:stadiul avansat al bolii, rapiditatea evolutiei, varsta inaintata si starea generala precara a pacientului, profesiunile care cer eforturi fizice, asocierea unor boli favorizante, recidivele, complicatiile, absenta raspunsului favorabil la tratament, nerespectarea tratamentului de catre pacienti si conducerea incorecta a tratamentului de catre medic.
O deosebita semnificatie prognostica peiorativa o au semnele de insuficienta coronariana,febra, cardiomegalia importanta, ritmul de galop, pulsul alternant, blocurile inimii, extrasistolele polimorfe, tahicardia ventriculara.Insuficienta cardiaca cu fibrilatie atriala cronica reactioneaza mai bine la digitala, in schimb aritmia expune pacientul mai des la embolii.
Daca factorul cauzal rezida chiar la nivelul inimii (cardiopatie ischemica, valvulopatii), fenomenele de insuficienta cardiaca evolueaza progresiv pana la instalarea insuficientei cardiace globale biventriculare.
I.COMPLICATII
Complicatiile insuficientei cardiace sunt cele ale bolii de fond.Ele sunt legate de staza sau cresterea presiunii veno-capilare din diferite tesuturi si organe. De asemenea complicatiile sunt legate de tratament sau de boli intercurente.
Printre complicatiile cele mai grave si cele mai frecvente se numara trombozele venoase ale membrelor inferioare si embolia pulmonara consecutiva acestora.
Embolia pulmonara poate determina un infarct pulmonar al carui semne clinice sunt reprezentate de durere toracica, tuse, hemoptizie, febra.In unele cazuri de embolie pulmonara sau infarct pulmonar pacientii prezinta simptome si semne necaracteristice:febra, cresterea intensitatii dispneei, cianoza, tahicardie, anxietate. Toate acestea manifestari sunt mascate de simptomele si semnele insuficientei cardiace.
De regula, insuficienta cardiaca se agraveaza atunci cand se produc embolii pulmonare repetate.La asemenea pacienti se pot comite erori de tratament prin cresterea dozei de digitala aproape de limita toxica, deoarece insuficienta cardiaca devine refractara la tratament cand se complica cu embolii pulmonare repetate.
La pacientii care se gasesc in fibrilatie atriala si insuficienta cardiaca, trombii care ajung in plamani pleaca din atriul drept.Pacientii cu insuficienta cardiaca sunt foarte susceptibili la infectiile bronho-pulmonare.
Greselile comise in terapia insuficientei cardiace atat de pacienti cat si de medic pot atrage dupa sine tulburari de ritm grave, induse de digitala si tulburari hidroelectrolitice grave legate de terapia diuretica.
J.TRATAMENT
1.OXIGENUL
Oxigenul pe termen lung a imbunatatit functia neurofiziologica ca si supravietuirea.Oxigenoterapia pe termen scurt(6h/zi) a fost ineficace in corectia pacientilor hipoxici.Beneficiile neurofiziologice par sa fie dobandite dupa doar cel putin o luna de oxigenoterapie.
Oxigenoterapia pe termen lung este autorizata daca PaO2 de repaus ramane sub 55 mmHg dupa trei saptamani de terapie medicala maximala.Pacientii cu PaO2>55 li se recomanda oxigenoterapia daca prezinta policitemie sau au evidenta clinica (EKG, examen fizic) de hipertensiune pulmonara si cord pulmonar.
In studiul NOTT (studiul oxigenoterapiei pe timpul noptii), 45% din pacientii hipoxemici selectati initial in studiu s-au ameliorat semnificativ pe parcursul a 3-4 saptamani, nemaifiind necesara oxigenoterapia pe termen lung.Oxigenoterapia pe timpul noptii poate fi importanta la pacientii care prezinta desaturare in somn.Pacientii la care desaturarea apare doar in timpul efortului trebuie sa primeasca doar atunci oxigen, desi beneficiile pe termen lung al unei astfel de terapii au ramas nedemonstrate.
.TEOFILINA
Este larg folosita pentru activitatea sa bronhodilatatoare.Oricum administrarea continua de teofilina a redus dispneea chiar si la unii pacienti cu boala obstructiva ireversibila a cailor aeriene.La unii pacienti cu BPOC, teofilina poate avea efecte salutare care nu se coreleaza direct cu bronhodilatatia.
O combinatie intre scaderea postsarcinii (prin diminuarea rezistentei vasculare pulmonare si sistemice) si imbunatatirea contractilitatii miocardice este probabil cea care amelioreaza functia biventriculara de pompa.
ANTAGONISTI BETA-ADRENERGICI
Desi folositi traditionali ca bronhodilatatori, pot avea un efect salutar prin producerea vasodilatatiei pulmonare sau prin actiunea inotropica directa la nivelul miocardului.
Studiile pe termen scurt, cu terbutalina si pirbuterol au demonstrat scaderea rezistentei vasculare pulmonare, cresterea debitului cardiac a ventricului drept si stang la numerosi pacienti cu cord pulmonar.
Dar aceste efecte nu se mentin pe parcursul administrarii cronice (peste 6 luni), in special la pacientii care primesc si terapie suplimentari cu oxigen.
4.VASODILATATOARE
Reducerea hipertensiunii pulmonare este tinta terapiei vasodilatatoare dar scaderea rezistentei vasculare se poate solda cu cresterea debitului cardiac, lasand presiunea arteriala pulmonara neschimbata.Probabil acesta este efectul benefic (de exemplu cresterea transportului de oxigen) in ciuda hipertensiunii neschimbate.
Acest efect se poate sa nu fie benefic, chiar daca reduce presiunea arteriala pulmonara.
Terapia vasodilatatoare poate avea ca efect advers; hipotensiunea sistemica si scaderea saturatiei arteriale de oxigen la pacientii cu hipertensiune pulmonara.
Vasodilatatoarele pot conduce la hipoxemie arteriala prin afectarea tonusului vascular pulmonar (care contribuie local la mentinerea echilibrului ventilatiei-perfuzie).
Nitratii par sa nu aiba nici un rol deoarece scad atat oxigenarea arteriala cat si indexul cardiac.
Terapia cu prostanglandinele disponibile este limitata de efecte adverse semnificative.Unii agenti (ca nifedipina, nitrendipina, urapidilul, felodipina si flosechinarul) produc in general beneficii favorabile pe termen scurt, dar aceste beneficii nu se mentin.
Rubin furnizeaza urmatoarele reguli pentru aprecierea unui efect hemodinamic benefic ca raspuns la vasodilatator:
rezistenta vasculara pulmonara este redusa cu cel putin 20%
debitul cardiac este crescut sau nemodificat
presiunea arteriala pulmonara este scazuta sau nemodificata
presiunea sanguina sistemica nu este semnificativ scazuta
Daca terapia cu vasodilatatoare realizeaza aceste beneficii atunci pacientul va fi reevaluat dupa 4-5 luni de terapie pentru a determina daca beneficiile hemodinamice se mentin.
5.DIGITALA
Efectul digitalei asupra functiei VD este complex.Glicozizii cardiaci cresc contractilitatea miocardului VD, dar produc de asemenea si vasoconstrictie pulmonara.In plus Sylvester si Col au demonstrat ca la caini digitala creste rezervorul de volum al circulatiei printr-un efect asupra vascularizatiei periferice.Acest efect va scadea intoarcerea venoasa si poate afecta advers debitul cardiac.
Terapia cu digitala a produs de asemenea o crestere a incidentei efectelor adverse (de ex. aritmii cardiace);la pacientii cu boala obstructiva pulmonara probabil in parte datorita efectului hipoxiei.
Desi O2 nu este indicat in tratamentul hemodinamic de rutina al cordului pulmonar un studiu arata ca O2 imbunatateste functia mecanica a diafragmului si fluxului sanguin la pacientii cu BPOC care prezentau o insuficienta respiratorie acuta.
6.FLEBOTOMIA
Eficienta flebotomiei la pacientii cu cord pulmonar care au o policitemie este controversata.Studiile timpurii efectuate de Segal si Bishop care au folosit transfuzii de schimb au decelat ca presiunea arteriala pulmonara este mai afectata de volumul sanguin decat de vascozitatea sanguina.Dupa flebotomie la pacientii in repaus presiunea medie pulmonara si rezistenta vasculara pulmonara de obicei scade, debitul cardiac nu este semnificativ modificat iar transportul sistemic de oxigen scade.In ciuda scaderii transportului sistemic de oxigen consumul in repaus ramane neschimbat.
Scaderea hematocitului la o valoare in jur de 50% produce un efect hemodinamic salutar pe termen scurt in special in timpul efortului;dar daca exista un beneficiu pe termen scurt al flebotomiei este incert.
Flebotomia trebuie rezervata ca terapie adjuvanta in ingrijirea pacientilor cu policitemie marcanta care prezinta o decompensare acuta a cordului pulmonar sau in cazul rar al pacientilor care mentin policitemie semnificativa in ciuda oxigenoterapiei pe termen lung.
Interventii in cazul pacientiilor cu manifestari acute.
Ghidul ACC/AHA furnizeaza recomandari privind tratamentul pacientilor cu sindroame acute ce includ edemul pulmonar acut si socul cardiogen.
Utilizarea cateterelor cu balon in artera pulmonara este recomandata la pacientii cu edem pulmonar in urmatoarele situatii:
daca starea pacientului se deterioreaza
ameliorarea simptomelor nu are loc in perioada prevazuta
sunt necesare doze mari de nitroglicerina sau nitroprusiat
este necesara administrarea de dobutamina sau dopamina pentru cresterea TA si ameliorarea perfuziei periferice
exista incertitudine privind diagnosticul
La pacientii cu soc cardiogen ghidul ACC/AHA recomanda administrarea unei perfuzii intravenoase rapide cu lichide pana cand exista semne de supraancarcare volemica.Daca aceasta perfuzie nu conduce la un raspuns satisfacator monitorizarea hemodinamica trebuie sa includa introducerea unui cateter cu balon in artera pulmonara si a unui cateter intraarterial.
Contrapulsatia cu balon intraaortic este de asemenea considerata adecvata la pacientii cu soc cardiogen sau cu edem pulmonr acut ce nu raaspund la incarcarea volemica sau la tratamentul farmacologic si la pacientii cu insuficienta cardiaca asociata cu ischemie refractara.
III.PARTEA SPECIALA
A.EDUCATIE SANITARA
1.Profilaxie primara
Unul dintre cele mai importante roluri ale asistentei medicale este acela de a educa pacientii in vederea prevenirii imbolnavirii si daca starea de boala s-a instalat in vederea imbunatatirii starii pacientului.
In cazul profilaxiei primare asistenta va informa riscurile la care se expun daca nu respecta o conduita de viata sanatoasa si corecta.De asemenea le va explica care sunt lucrurile de care trebuie sa se fereasca si care sunt cele pe care trebuie sa le respecte.
Profilaxia primara are un rol major prin simplul fapt ca este mult mai usor sa previi decat sa tratezi si mult mai ieftin.
Regulile pe care o persoana ar trebui sa le respecte pentru a preveni aparitia unei afecttiuni cardio-vasculare cum este insuficienta cardiaca sunt:
-prezentarea la controalele periodice pentru a depista din timp eventualele afectiuni respiratorii, afectiuni cardiace sau orice alta afectiune care poate duce la aparitia insuficientei cardiace.
-prezentarea la medic la primele simptome ale bolii.
-evitarea suprasolicitarilor fizice si psihice, evitarea stresului si a emotiilor puternice de orice natura.
-respectarea unui regim de odihna si masa pe cat posibil regulat care sa includa minim 8 ore de somn pe noapte si 3 mese pe zi, pe cat posibil la ore fixe si intr-un climat adecvat.
-alimentarea rationala:care sa cuprinda toate elementele nutritive necesare organismului fara excese de grasimi si condimente.
-evitarea excesului de cafea, ciocolata, cacao, alcool.
-evitarea fumatului atat activ cat si pasiv.
-lamurirea efectului sedentarismului si nevoii de exercitiu fizic chiar daca numai o jumatate de ora - o ora de mers pe jos zilnic.
2.Profilaxie secundara
Se refera la masurile pe care pacientul trebuie sa le respecte dupa depistarea afectiunii, masuri ce trebuie respectate foarte riguros pentru ca un tratament nerespectat si o conduita de viata gresita va duce la agravarea afectiunii si chiar la deces.
Asistenta medicala va trebui sa invete pacientul urmatoarele:
-sa respecte tratamentul prescris:orarul, dozele.Sa respecte tratamentul in totalitate pentru ca fiecare medicament in parte are rolul sau.
-sa se prezinte la controalele periodice si de asemenea ori de cate ori apar modificari in starea sa atat in bine cat si in rau.
-sa respecte strict regimul alimentar:hipolipidic, hiposodat sau desodat.
-sa evite consumul de alcool, cafea si sa nu fumeze sau macar sa diminueze numarul de tigari pe zi.
-sa evite eforturile fizice dar in limita posibilitatilor, sa faca scurte plimbari zilnice.
-sa evite stresul si emotiile puternice.
-sa evite aglomeratiile si sa se protejeze de frig, umezeala, praf pentru a evita suprainfectiile respiratorii.
B.ROLUL ASISTENTEI MEDICALE IN EFECTUAREA ACTELOR
DE INVESTIGATIE.
Asistenta medicala trebuie sa cunoasca foarte bine tehnicile ce trebuie efectuate pentru a putea pregati pacientul atat fizic cat si psihic si de asemenea sa-i fie alaturi pentru a-l linisti si a-i oferi suport moral.
1.RADIOGRAFIA CARDIO-PULMONARA
Scop:
Studierea morfologiei si functionalitatii plamanilor a modificarilor de volum si de forma a inimii pentru stabilirea diagnosticului.
Pregatirea psihica:
-se anunta pacientul, explicandu-i-se conditiile in care se va face examinarea
-pacientul va fi condus la serviciul de radiologie
-se explica pacientului cum trebuie sa se comporte in timpul examinarii (va efectua cateva miscari respiratorii, iar radiografia se va face in apnee, dupa o inspiratie profunda).
Pregatirea fizica:
-se dezbraca complet regiunea toracica (parul lung al femeilor se leaga pe crestetul capului); se indeparteaza obiectele radioopace.
-se aseaza pacientul in pozitie ortostatica cu mainile pe langa corp fara sa ridice umerii in spatele ecranului cu pieptul apropiat de ecran sau de caseta care poarta filmul.
-cand pozitia verticala este contraindicata se aseaza pacientul in decubit dorsal.
-in timpul examenului se ajuta pacientul sa ia pozitiile cerute de medic.
Ingrijirea pacientului dupa tehnica:
-pacientul va fi ajutat sa se imbrace; dupa terminarea examenului radiologic va fi condus la salon.
-se noteaza in foaia de observatie examinarea efectuata, rezultatul si data.
2.ELECTROCARDIOGRAFIA (EKG)
Inscrierea grafica cu ajutorul electrocardiografului a fenomenelor bioelectrice produse in timpul activitatii cardiace.Pe orizontala se inscrie timpul, pe verticala se inscrie sensul pozitiv- in sus si negativ in jos si amplitudinea fenomenului electric.
Scop: - diagnostic
Materiale necesare:
-electrocardiograf, comprese de tifon, solutie electrolit (o lingura de sare la un pahar de apa) sau pasta speciala pentru electrozi.
Pregatirea psihica:
- se explica pacientului tehnica si se lamureste pentru evitarea emotiilor.
Pregatirea fizica:
-se aseaza pacientul in decubit dorsal, relaxat.Eventual la barbati se rade parul din regiunea toracica anterioara.
Tehnica:
Se monteaza electrozii:pentru fiecare electrod se imbiba cate o compresa in solutie de electrolit (sau se unge cu pasta sau cu gelul corespunzator; se fixeaza 6 electrozi precordial orientati dupa linia medioclaviculara si axilara anterioara si 4 electrozi pe partile moi ale extremitatilor membrelor (rosu pentru mana dreapta, galben pentru mana stanga, verde pentru piciorul stang si negru pentru piciorul drept - in cazul aparatului 3 NEK - 1).
Pregatirea aparatului si efectuarea tehnicii:
se conecteaza la priza de impamantare
se verifica pozitia corecta a electrozilor
se pune in functiune aparatul
dupa 3 - 5 minute se testeaza aparatul si se regleaza in functie de instructiuni
se porneste inregistrarea
se urmareste ca inregistrarea sa se faca in modul dorit
dupa ce s-au inregistrat toate derivatiile se opreste aparatul
se indeparteaza electrozii de pe pacient si se curata tegumentul de solutie respectiv gel
se noteaza pe electrocardiograma numele, varsta, inaltimea si greutatea pacientului, data,ora inregistrarii celui care a efectuat electrocardiograma.
Pe electrocardiograma se definesc undele P, Q, R, S, T si U; segmentele (distanta dintre doua unde ) [PQ] si [ST], intervalele unda + segment ,PQ = P + [PQ], QT = QRS = [ST] = T si TP (linia izoelectrica).
Intervalul PQ corespunde timpul in care sistemul strabate atriile de la nodul sinoatrial Keith - Flack pana la nodulul atrioventricular Ascoff - Tawara.
Unda P si segmentul [pq] reprezinta expresia electrica a activitatii atriilor.
Undele Q,R,S segmentul [ST] si unda T reprezinta expresia electrica a activitatii ventriculilor.
3.ECOCARDIOGRAMA
Definitie:
Consta in inregistrarea ultrasunetelor strabatute si reflectate la nivelul cordului.
Scop: - diagnostic.
Materiale necesare:
-ecocardiograf
Pregatirea psihica:
Se explica necesitatea tehnicii si se linisteste pacientul asigurandu-l de inofensivitatea tehnicii.
Pregatirea fizica:
-se conduce pacientul la serviciul de radiologie.
-se aseaza in pozitia indicata de medicul radiolog.
Ingrijiri dupa tehnica:
-nu necesita ingrijiri ulterioare.
-se noteaza in foaia de observatie rezultatul.
4.REZONANTA MAGNETICA A INIMII
Definitie:
Metoda care se bazeaza pe proprietatea unor atomi de a produce impulsuri cu radiofrecventa specifica.
Scop: - diagnostic.
Materiale necesare:
-camere de scintigrafie, sonde de scintigrafie, radiotrasor (Tehnetiu)
Pregatirea psihica:
Se explica necesitatea tehnicii si se linisteste pacientul asigurandu-l de inofensivitatea tehnicii.
Pregatirea fizica:
-se aseaza in pozitia indicata de catre medicul radiolog.
Tehnica: - se efectueaza in servicii specializate.
5.TOMOGRAFIA
Scop:
- diagnostic.
Materiale necesare:
-tomograf.
Pregatirea psihica:
Se explica necesitatea tehnicii si se linisteste pacientul asigurandu-l de inofensivitatea tehnicii.
Pregatirea fizica:
-se aseaza pacientul in pozitia indicata de medicul radiolog.
Tehnica:
Se efectueaza in servicii de specializare.
6.ANGIOGRAFIA
Definitie:
Introducerea unei substante de contrast pe cale intravenoasa sau intraarteriala care urmareste opacifierea vaselor si cavitatilor inimii precum si a vaselor ce pornesc din inima.
Scop:
- diagnostic.
Materiale necesare:
-substanta de contrast (solutie concentrata de iod), sedative (fenobarbital), antialergice(romergan) si materiale pentru punctia intravenoasa sau arteriala, cateter.
Pregatire psihica:
-i se explica scopul si necesitatea explorarii, etapele acesteia, lamurindu-l ca o buna colaborare este absolut necesara pentru buna desfasurare a tehnicii.Este ajutat sa-si inlature frica si este asigurat ca va fi sprijinit in permanenta pe parcursul tehnicii.
Pregatirea fizica:
-in ziua precedenta i se administreaza sedativ si antialergic.
-in dimineata desfasurarii tehnicii i se administreaza sedativ si antialergic.
-necesita anestezie locala.
Tehnica:
-angiografia prin cateterism cardiac este de competenta medicilor.
-se efectueaza testarea la iod, iar daca nu apar semne de intoleranta (congestia fetei, tuse, dispnee, valuri de caldura, transpiratii etc.), se injecteaza substanta de contrast;in cazul aparitiei simptomelor de intoleranta se administreaza adrenalina si antialergice.
-se efectueaza radiografiile.
Ingrijirea dupa tehnica:
Pacientul este condus la salon, asezat intr-o pozitie comoda si se supravegheaza o ora dupa efectuarea tehnicii.
7.PUNCTIA INTRAVENOASA
Definitie:
Reprezinta crearea unei cai de acces intr-o vena prin intermediul unui ac de punctie.
Scop:
-explorator;pentru recoltarea sangelui pentru examenele de laborator
-terapeutic: recoltarea in vederea transfuzarii, executarea de transfuzii de sange sau derivate de sange, sangerarea de 300- 400 ml in HTA, edem pulmonar acut.
Loc de punctie:
- venele plicii cotului
- venele antebratului
- venele de pe fata dorsala a mainii
- venele subclaviculare
- venele femurale
- venele maleolare interne
- venele jugulare
- venele epicraniene (la nou nascut si sugar)
!Sunt de preferat venele pe suprafata intinsa cu traiect drept nu peste articulatii;de multe ori se prefera o vena care se poate palpa uneia care se vede.
Materiale necesare:
- perna elastica pentru sprijinirea bratului.
- musama sau aleza pentru protectia patului, tavita renala.
- daca punctionarea se face in scopul perfuzarii sau transfuzarii iar vena este deasupra unei articulatii membrul se va fixa pe o atela.
- materiale pentru dezinfectia tegumentului: tampoane, apa ,sapun, alcool medicinal.
-ace sau branule, seringi in functie de scop, vacutainere.
- manusi chirurgicale, garou sau banda Esmarch.
- fiole cu solutii medicamentoase, solutii perfuzabile.
Pregatire psihica:
I se explica scopul si necesitatea tehnicii, lamurindu-l ca o buna colaborare este absolut necesara pentru buna desfasurare a tehnicii.
Pregatirea fizica:
Pentru punctionarea venelor bratului sau antebratului:
- se aseaza intr-o pozitie confortabila atat pentru pacient (de preferat decubit dorsal), cat si pentru asistenta medicala.
- se aseaza bratul pe pernita si musama, in abductie si extensie maxima.
- se dezinfecteaza tegumentul
- se aplica garoul la o distanta de 7 -8 cm deasupra locului ales strangandu-l astfel incat sa faca staza venoasa fara a comprima artera (se simte pulsul la una din arterele decliv de garou).
- se recomanda pacientului sa stranga pumnul, venele devenind astfel turgescente.
Tehnica:
- asistenta se spala pe maini cu apa si sapun, imbraca manusile si se aseaza vis-a-vis de pacient.
- se fixeaza vena cu policele mainii stangi la 4-5 cm de locul punctiei, exercitand o usoara compresiune si tractiune in jos asupra tesuturilor vecine.
- se fixeaza seringa cu gradatiile in sus, acul atasat cu bizoul in sus, in mana dreapta (stanga), intre police si restul degetelor.
- se patrunde cu acul in vena, se controleaza prezenta lui in vene prin aspirare cu seringa;se continua in functie de scopul punctiei.
-dupa terminarea tehnicii se retrage acul si se comprima locul punctiei cu un tampon imbibat in solutie dezinfectanta.
- se comprima locul punctiei 1-3 minute, bratul fiind in pozitie verticala.
C. ROLUL ASISTENTEI MEDICALE IN EFECTUAREA ACTELOR
DE TRATAMENT.
1. Administrarea medicatiei
* Administrarea pe cale orala
Definitie:
Consta in introducerea medicamentelor si absorbtia la nivelul tubului digestiv.
Avantaje:
- comoditate, calea cea mai frecvent utilizata, posibilitate de autoadministrare, corespunde unei cai naturale, nu necesita personal specializat.
- poate fi folosita atat pentru efecte locale cat si generale (se absorb la nivelul mucoasei digestive, patrund in sange si isi desfasoara activitatea fie asupra organismului in intregime, fie asupra unor organe si aparate iar prin intermediul acestora sunt influentate starea si functionarea intregului organism.
Dezavantaje:
- absorbtia poate fi influentata de motilitatea stomacului si intestinului prin stari patologice (varsaturi, alimente, HCl din stomac, enzime digestive, flora intestinala).
- necesita cooperarea pacientului.
- absorbtia lenta, greu de controlat.
- poate determina iritarea mucoasei digestive.
- posibilitatea automedicatiei.
- necesita modificarea gustului si mirosului pentru a putea fi ingerate.
Precautii:
- verificarea calitatii medicamentului (culoare, aspect, data expirarii).
- dozarea medicamentului (pentru cele lichide) respectiv verificarea dozei.
- oferirea medicamentului si verificarea faptului ca acesta este luat sau nu.
- solidele pot fi sau nu dizolvate.
- dupa administrarea unui medicament solid se administreaza lichide (apa, lapte, ceai).
Administrarea medicamentelor pe cale orala prin sondaj se face mai rar la:
pacientii inconstienti sau cu tulburari de deglutitie.
pentru introducerea medicamentelor ce irita mucoasa gastrica
Se va evita:
manipularea comprimantelor direct cu mana, dupa scoaterea din ambalajul lor.
utilizarea acelorasi pahare, linguri,lingurite la mai multi pacienti.
*Administrarea sublinguala
Definitie:
Consta in introducerea medicamentelor si absorbtia acestora la nivelul mucoasei bucale.
Avantaje:
- cale comoda de administrare.
- posibilitate de autoadministrare in urgente.
- corespunde unei cai naturale, absorbtia este rapida datorita faptului ca e o mucoasa bine vascularizata.
- efectul se instaleaza rapid, se evita inactivarea medicamentului datorita ph-ului acid al sucului gastric sau al celui alcalin din intestin.
Dezavantaje:
- necesita cooperarea pacientului, folosirea repetata a acestei cai produce leziuni ale mucoasei bucale.
- nu pot fi administrate decat cantitati mici de substanta sub forma de solutie, pulberi sau comprimate sublinguale.
Mod de administrare:
- se introduc comprimate in spatiul dintre gingii si mucoasa obrazului sau sublingual.
- tabletele zaharate sau drajeurile sunt mentinute in cavitatea bucala pe/sub limba pana la topirea lor completa, absorbtia lor fiind integrala.
*Administrarea rectala
Definitie:
Consta in introducerea medicamentelor si absorbtia acestora la nivelul rectului.
Avantaje:
Poate fi folosita:
1. la pacientii cu tulburari de deglutitie, la cei operati pe tubul digestiv superior.
2. la administrarea medicamentelor ce se distrug masiv la nivel hepatic.
3. la pacientul cu intoleranta digestiva: greata, varsaturi, hemoragii digestive.
4. pentru medicamentele iritante ale mucoasei gastrice.
5. in caz de refuz de a inghiti din partea pacientului.
6. in caz de staza din sistemul portal.
- poate avea atat efect local (supozitor cu glicerina), cat si general (supozitoare cu digitala).
Dezavantaje
- absorbtia substantelor e relativ lenta, inegala, efecte mai ales locale, de iritare a rectului.
- nu poate fi folosita in caz de diaree severa sau leziuni locale grave.
Materiale necesare:
- pentru supozitoare:manusi, vaselina, tavita renala, supozitorul.
Pregatirea pacientului:
- psihica: informarea asupra tehnicii, a pozitiei, a importantei administrarii si a posibilei senzatii de defecare ce poate aparea (in cazul supozitoarelor se lamureste ca dupa cateva minute se topeste iar senzatia dispare).
- fizica: pozitie - decubit lateral cu membrele inferioare flectate.
Mod de administrare:
- se verifica calitatea medicamentului:culoare, aspect, data expirarii.
- se verifica doza.
- efectuarea unei clisme evacuatorii daca pacientul nu a defecat.
-asistenta se spala pe maini, imbraca manusile, desface supozitorul din ambalaj.
- cu mana stanga se indeparteaza fesele pacientului evidentiind orificiul anal iar cu mana dreapta introduce supozitorul cu partea ascutita in anus, impingandu-l pana trece de sfincterul anal extern.
- asistenta medicala isi indeparteaza manusile si se spala pe maini.
*Administrare parenterala
Avantaje:
- poate fi folosita in situatii urgente, pentru medicamente care se absorb greu sau insuficient pe cale digestiva, pentru bolnavii care nu coopereaza,la cei inconstienti.
- absorbtia rapida.
- absorbtia nu este influentata de ph, de manifestari clinice ca: greata, voma, diareea, constipatia.
Dezavantaje:
- necesita o tehnica speciala, instrumentar special, conditii de asepsie,personal calificat.
- este neplacuta pentru pacient.
- pot sa apara infectii, noduli, accidente de incompatibilitate de obicei mai grave decat in cazul administrarii per os.
- dificultate de a repeta injectia in acelasi loc.
Materiale necesare:
- materiale sterile: seringi, ace, casolete cu tampoane (de vata sau de tifon).
- musama, aleza, garou de caucicu pentru injectia intravenoasa, tavita renala, alcool, eter, tinctura de iod.
- substanta de administrat, medicamente pentru eventualele accidente (adrenalina, HHC, Ca etc.).
Pregatirea pacientului:
- psihica:explicarea necesitatii tehnicii.
- fizica: asezarea in pozitie, aducerea materialelor si instrumentarului langa pacient.
Mod de administrare:
- se verifica seringa, substantele de administrat.
- spalare pe maini cu apa si sapun.
- in cazul fiolelor, se dezinfecteaza gatul fiolei, se deschide fiola, se aspira continutul in seringa cu ajutorul unui ac, se elimina bula de aer.
- in cazul flacoanelor cu dopuri de cauciuc, se dezinfecteaza dopul, se incarca seringa cu o cantitate de aer egala cu a lichidului pe care vrem sa-l scoatem, se introduce aerul sub presiune in flacon, se rastoarna flaconul, solutia se goleste in seringa.
- in cazul flacoanelor cu pulberi injectabile, se dizolva pulberea anterior.
- injectia se efectueaza cu alt ac decat cel cu care s-a aspirat.
- dupa efectuarea injectiei se indeparteaza seringile si acele care se vor arunca in cutii speciale iar tampoanele de vata la materiale biologice.
a) Administrarea subcutana
Definitie:
Consta in introducerea medicamentului in tesutul conjuctiv subcutan.
Scop:
- terapeutic:administrarea de solutii cristaline sau perfuzarea pentru hidratare.
Avantaje:
- poate asigura un efect prelungit.
Dezavantaje:
- trebuie administrate cantitati mici de substante (sub 2 ml), este relativ dureroasa, nu se pot injecta solutii iritante:hipotone, hipertone, prea acide, prea alcaline.
- absorbtia se face relativ lent.
Loc de electie:
- fata externa a bratului, fata superoexterna a bratului, fata superoexterna a coapsei, regiunea supra si subspinoasa a omoplatului, regiunea deltoidiana, regiunea subclaviculara, flancurile peretelui abdominal.
Materiale necesare:
- ace cu diametru 6/10, 7/10, 8/10, lungi de 52- 300 cu bizoul lung, seringi de 2 ml, tampoane de vata sau tifon, solutie dezinfectanta.
Pregatirea pacientuli:
- psihica:i se explica tehnica si se linisteste.
- fizica:se descopera locul ales.
Mod de administrare:
- spalare pe maini cu apa si sapun.
- se dezinfecteaza tegumentul cu un tampon imbibat cu alcool.
- se cuteaza cu policele si indexul mainii o portiune de tegument, fixand-o si ridicand-o de pe planurile profunde.
- se patrunde cu acul prin axul longitudinal al cutei 2-4 cm; se verifica acul daca a ajuns intr-un vas de sange.
- se injecteaza lent substanta.
- se retrage brusc acul si se tamponeaza locul.
Incidente, accidente:
- lezarea unei terminatii nervoase, durere, ruperea acului, hematom, abces.
Precautii:
- nu se administreaza solutii uleioase decat in cazuri speciale, compusii metalelor cu greutate moleculara mare, clorura de sodiu.
- nu se vor administra substante in regiuni cu afectare dermatologica.
b)Administrare intramusculara
Definitie:
Consta in introducerea medicamentului intr-un muschi.
Scop:
-terapeutic;administrarea de solutii izotonice, uleioase, substante coloidale.
Avantaje:
- absorbtia rapida a medicamentelor, administrare putin dureroasa.
- se pot administra solutii uleioase, apoase sau suspensii care se dizolva treptat; actiunea fiind de durata mai lunga decat in cazul administrarii I.V.
Dezavantaje:
- durere, posibilitatea aparitiei nodulilor.
Loc de electie:
- regiunea superoexterna fesiera, deasupra marelui trohanter; se poate repera punctul Smarnov (la un lat de deget deasupra marelui trohanter si inapoia lui ), punctul Barthelemy(la unirea treimii externe cu cele doua treimi interne ale liniei care uneste spina iliaca antero-superioara cu extremitatea superioara a santului interno-fesier).
- fata externa a coapsei, in treimea mijlocie.
- fata externa a bratului, in muschiul deltoid.
Materiale necesare:
- ace intramusculare lungi de 40, 50, 60, 70 mm cu diametru de 7/10, 8/10, 9/10, 10/10, cu bizoul lung.
Pregatirea pacientului:
- psihica:i se explica tehnica si se linisteste.
- fizica:se aseaza in functie de locul de electie ales.
Mod de administrare:
- spalare pe maini cu apa si sapun.
- se pregateste seringa cu solutia de administrat.
- se invita pacientul sa-si relaxeze musculatura.
- se intinde tegumentul intre police si indexul sau mediul mainii stangi si se inteapa perpendicular pielea introducand acul 4-7 cm.
- se aspira si se injecteaza lent substanta.
- dupa injectare se scoate acul brusc si se maseaza locul cu un tampon cu alcool.
Incidente, accidente:
- necroze locale, abcese, infectii cu anaerobi, injectarea I.V.- embolii, atingerea nervului sciatic- durere intensa, paralizie- prin lezarea nervului sciatic, hematom, supuratie aseptica- daca substantele nu sunt resorbite, ruperea acului.
c)Administrarea intravenoasa
Definitie:
Consta in itroducerea medicamentului direct in circulatia sangvina prin punctionarea unei vene.
Scop:
- terapeutic:administrarea unor medicamente sub forma de injectie sau perfuzii intravenoase.
Avantaje:
- asigura cea mai rapida patrundere a medicamentului in organism.
- asigura cea mai rapida instalare a efectului dorit.
- poate fi folosita in caz de urgente.
- doza administrata poate fi controlata exact.
- poate fi transformata in administrare continua prin perfuzie.
Dezavantaje:
- necesita stapanirea corecta a tehnicii si o anumita manualitate.
Loc de electie:
- venele plicii cotului.
- venele antebratului.
- venele de pe fata dorsala a mainii.
- venele subclaviculare.
- venele femurale.
- venele maleolare interne.
- venele jugulare.
- venele epicraniene (la nou-nascut si sugar)
Materiale necesare:
- perna elastica pentru sprijinirea bratului.
- musama sau aleza pentru protectia patului, tavita renala.
- materiale pentru dezinfectia tegumentului: tampoane, apa, sapun, alcool medicinal.
- ace sau branule, seringi.
- manusi chirurgicale, garou sau banda Esmarch.
- fiole cu solutii medicamentoase, solutii perfuzabile.
Mod de administrare:
- se aplica tehnica punctiei intravenoase.
- dupa patrunderea in vena se desface garoul incet si se injecteaza solutia lent.
- se verifica periodic prin aspirare pozitia acului in vena.
- se scoate acul cu seringa brusc, apasand tamponul cu alcool.
Incidente, accidente:
- soc anafilactic, embolii, flebite, dureri si inflamatii locale, decompensari cardiace, senzatie de uscaciune in faringe si valuri de caldura, hematom, necroza datorita injectarii paravenoase, ameteli, lipotimie, colaps.
Precautii:
- repunctionarea unei vene se face tot mai central.
- nu se efectueaza injecttia in pozitie sezanda.
d)Administrarea medicamentelor prin inhalattie
Definitie:
Consta in introducerea substantelor medicamentoase pe cale respiratorie prin inhalatii.
Scop:
- terapeutic:pe aceasta cale se administreaza medicamente sub forma de gaze, prafuri dizolvate, lichide fin pulverizate sau vapori, solutii prin instilatii traheale in scopul dezinfectarii si decongestionarii mucoasei respiratorii.
Avantaje:
- absorbtia este rapida, efectul este rapid.
Dezavantaje:
- conditii speciale de realizare.
Materiale necesare:
- inhalator, prosop, vaselina, apa clocotita, substanta medicamentoasa.
Pregatirea pacientului:
- psihic: explicarea tehnicii si necesitatii ei.
- fizic: pozitie sezanda.
Mod de administrare:
- spalare pe maini cu apa si sapun.
- asezarea unui prosop in jurul gatului.
- ungerea buzelor si tegumentelor peri-bucale cu vaselina.
- verificarea calitatii medicamentului(culoare, aspect, data expirarii).
- dozarea medicamentului (se introduce in vasul cu apa clocotita o lingurita de inhalant).
- pacientul trebuie sa inspire pe gura si sa expire pe nas aburi;prosopul acoperind capul pacientului si vasul.
- durata 5-20 min/sedinta.
- stergerea fetei pacientului cu un prosop moale.
e)Administrarea medicamentelor prin aplicarea locala pe
tegument
Definitie:
Consta in introducerea medicamentelor in organism prin aplicarea acestora la nivelul tegumentului.
Avantaje:
- cale simpla, indolora,bine suportata de pacient.
- poate fi folosita si pentru introducerea de medicamente cu efect general.
Dezavantaje:
- patrunderea substantelor este lenta.
- absorbtia este dependenta de calitatea tegumentului.
- exemplu:emplasturele medicamentos- format dintr-o substanta vascoasa, aderenta,neiritanta uneori lipita pe o bucata de panza.
Materiale necesare:
-apa, sapun, tampoane, tavita renala, pensula, manusi, substanta medicamentoasa.
Pregatirea pacientului:
- psihic:explicarea tehnicii si necesitatea ei.
fizic:pozitie in functie de locul aplicarii.
Mod de administrare:
- spalare pe maini cu apa si sapun, imbracarea manusilor chirurgicale.
- se spala tegumentul pacientului pe portiunea unde se aplica cu apa si se usuca cu o compresa sterila;la nevoie se degreseaza.
- emplasturele lichid se intinde direct pe tegument cu ajutorul unei pensule;dupa evaporarea solventului se prezinta sub forma unui strat subtire aderent.
- emplasturele vascos se va incalzi in prealabil in baie de aburi.
EVALUARE:
Pacienta in varsta de 57 de ani cu antecedente de bronsita asmatiforma si dependenta de alcool si fumatoare se interneaza in sectia de interne a Spitalului C.F.R. Brasov cu simptomele:dispnee, tuse cu expectoratie muco-purulenta, fatigabilitate, afebrila, transpiratii, ficat cu marginea inferioara la 4 cm sub rebordul costal.
Dupa examenul clinic si explorarile paraclinice (radiografie cardio-pulmonara) si de laborator i se stabileste diagnosticul de CPC decompensat, BPOC acutizat.Hepatita toxica nutritionala neinfectioasa.
Asistenta medicala a stabilit un plan de ingrijire cu obiectivele:
refacerea pe cat posibil a functiei respiratorii.
refacerea starii de confort a pacientei.
refacerea starii de nutritie.
mentinerea tegumentelor integre.
mentinerea starii actuale a pacientei prin evitarea aparitiei complicatiilor.
Ingrijirea acestei paciente a decurs cu ceva impedimente date de refuzul sau de
a renunta la viciile sale:alcool, tutun.Totusi cu sprijinul familiei s-a reusit administrarea tratamentului prescris si instituirea unui regim igieno-dietetic adecvat.
Pacienta se externeaza cu mentiunea sa continuie tratamentul si de asemenea regimul igieno-dietetic.Se recomanda pacientei sa urmeze sedinte de psihoterapie pentru a putea inlatura dependenta de alcool.
IV.CONCLUZII:
Cunoasterea IC are o deosebita importanta in practica medicala deoarece:
cardiopatiile sunt astazi foarte frecvente, iar un sfert din ele ajung la un moment dat in stadiul de IC.
evolutia sindromului este lunga trenanta de cele mai multe ori creand deci o indelungata perioada de invaliditate pentru individul bolnav.
recunoasterea sindromului mai ales la inceputul evolutiei sale intampina deseori dificultati si pune probleme de diagnostic diferential importante de rezolvat, deoarece aceasta implica adoptarea unei anumite atitudini terapeutice.
sindromul pune conditii specifice in privinta unei profilaxii si a unui tratament corect.
Cele patru cazuri descrise anterior se refera la pacienti diagnosticati cu insuficienta cardiaca, deosebindu-se prin etiologie, boli asociate si factori de risc, acest lucru determina instituirea unui tratament medicamentos si realizarea unui plan de ingrijiri individualizat.
Este foarte important ca asistenta medicala sa recunoasca semnele afectiunii si sa stapaneasca foarte bine tehnicile de ingrijire aplicate in cazul acestor pacienti contribuind astfel la o evolutie favorabila.
Dupa cum bine se stie in cazul bolilor cardiace factorii de risc si modul de viata al pacientilor au o mare influenta asupra evolutiei afectiunii.De aceea unul din rolurile cele mai importante ale asistentei medicale este acela de a educa pacientii, explicandu-le efectele nocive pe care le au unele vicii ca fumatul si consumul de alcool precum si o alimentatie necorespunzatoare.Un alt factor care duce la inrautatirea starii pacientilor este nerespectarea tratamentului si modului de administrare precum si neprezentarea la controalele periodice.
Un alt punct in educarea pacientilor este convingerea pacientilor sa se prezinte la medicul de familie la orice modificare in starea sa generala inainte de a se ajunge in stadii critice.
Planul de ingrijiri aplicat pacientilor urmariti prin studiul de caz la patul pacientului a avut ca obiective:
monitorizarea si restabilirea pe cat posibil a functiei respiratorii si circulatorii.
refacerea starii de confort prin reducerea pana la disparitie a durerii.
mentinerea integritatii tegumentare prin asigurarea unei igiene corporale si de pat adecvate.
educarea pacientilor sa aiba o viata ordonata respectand indicatiile medicale.
refacerea starii de nutritie prin asigurarea unei alimentatii corespunzatoare patologiei si necesitatilor pacientilor.
asigurarea confortului psihic al pacientilor prin crearea unui microclimat adecvat,sustinerea morala a pacientilor, insuflandu-le incredere in echipa medicala.
Evaluarea ingrijirilor este ultima etapa a procesului de ingrijire si reprezinta o apreciere asupra progresului pacientului in raport cu interventiile asistentei medicale. In urma realizarii planului de ingrijire stabilit pentru fiecare pacient evolutia acestora a fos buna, pacientii fiind externati urmand a fi dispensabilizati.
BIBLIOGRAFIE:
1.Allen K.M.,Wharton J.,Polak I.M.,Ghaworth S.G. "A study of nerves containing peptides in the pulmonary vasculature of healthy infants and children and those withpulmonary hypertension ''Br. Heart J.,pag. 353-1989
2.Anthonisen N.R.,,Long-term oxygen therapy'', Aun.Intern.Med.,pag.99:519-1983
3.Aubier M.,Viires N.,Murciano D.,, Effects of digoxin on diefhragmatic strengh generation in patiens with chronic obtructive pulmonary disease during acute respiratory failure'',An.Rev.Respir.Dis.,pag.135:544-1987
4.Rogozea Liliana, Oglinda Tatiana,Cojan Cristina,Nemet Codruta, ,,Tehnica ingrijirii omului sanatos si bolnav '',Ed.Romprint-2002
5.www.harrisonsonline.com,Eugene Braunwald-Cor polmonale
6.Niculescu Cezar Th.,Carmaciu Radu,,Compediu de anatomie si fiziologie a omului",Ed.Corint, Bucuresti-2001
7.Matthay R.A.,,Cardiovascular function in cor pulmonale" ,Clin.Chest.Med.,pag.4:249-1983
8.Matthay R.A.,Schwarz M.I., ,,Pulmonary artery hypertension in chronic obstructive pulmonary disease:Chest radiographic assessment'' , Invest.Radiol., pag.16:95-1981
9.Marcus M., Skelton C.L., Grauer L.E., ,,Effects oftheophylline on myocardial mechanics'' ,Am.J.Physiol., pag.222:1361-1972
10.McGowan F.X., ,,The electrocardiogram in chronic lung disease'' , Ed.Rubin, Boston,pag.117-1984
11.Fishman A.P., ,,Dynamics of the pulmonary circulation,Hamilton'' ,pag.1667-1963
12.Fishman A.P., ,,Cronic cor pulmonale'', Rev.respir.Dis., nr.114-1976
13.Braunwalld Eugene, ,,Tratat de boli cardiovasculare'',vol.2,Ed.M.A.S.T.,pag.1606;1607;1610;1620-1997
14.Juian D., ,,Assessment of right ventricular function:Role of nuclear imaging techniques'' ,Cardiol.Clin.,10:23-1992
15.Meyrick B., Reid L.M., ,,Pulmonary hypertension:An.anatomic and physiologic correlations'' ,Clin.Chest.Med.,pag.199-1983
16.Mitchell R.S.,Dart G., ,,The right ventricle in chronic airway obstruction'',Am.Rev.Respir.Dis.,pag.11:147-1976
17.Mogos Gheorghe, ,,Insuficienta cardiaca'' , Ed.Sport- Turism, Bucuresti,pag.233;234,235,238 -1984
18.Scharf S.M., Cassidy S.S., ,,Heart-lung interactions in health and diseases'' ,New Zork,Marcel Dekker Inc.pag.980-1989
19.Sylveter J.T., Permutt S., ,,The role of vasculature In the regulation of cardiac output'',Clin.Chest.Med.,pag.4:222;236-1983
20.Wiederman H.P., Matthay R.A., ,,Acute right heart failure'' , Crit.Care Clin., pag.1:631-1985
21.Titirca Lucretia,Balta Georgeta, Zamfir Maria, ,,Tehnici de evaluare si ingrijiri acordate de asistentii medicali'' , Ed.Viata Medicala Romaneasca, vol.2,pag.222-2002
22.Holford F.D.,,The electrocardiogram in pulmonarydisease'' ,Ed. McGraw - Hil, 1991, pag.471.
Copyright © 2025 - Toate drepturile rezervate