Home - Rasfoiesc.com
Educatie Sanatate Inginerie Business Familie Hobby Legal
Ca sa traiesti o viata sanatoasa.vindecarea bolilor animalelor, protectia si ingrijirea, cresterea animalelor, bolile animalelor




Alimentatie Asistenta sociala Frumusete Medicina Medicina veterinara Retete

Medicina


Index » sanatate » Medicina
» MODIFICARI RADIOIMAGISTICE IN BOLILE DENTARE


MODIFICARI RADIOIMAGISTICE IN BOLILE DENTARE


MODIFICARI RADIOIMAGISTICE IN BOLILE DENTARE

ANOMALIILE DENTARE

Beneficiaza in mare masura de diagnosticul radiologic care poate evidentia modificari ale numarului dintilor, orientarile radacinilor sau incluziuni dentare si anomalii ale maxilarelor.

    Fig. 358 Anomalie dentara
CARIA DENTARA

Radiologic, poate fi diagnosticata in zone unde stomatologul nu o poate observa; de exemplu caria secundara, cariile coletului. Apare ca o intrerupere a continuitatii smaltului sau ca o lacuna in dentina, cu contur difuz si neregulat; modificarea radiologica este mai discreta decat leziunea anatomica. Putem, de asemenea, sa precizam relatia cariei cu camera pulpara.



Fig. 359 Caria dentara

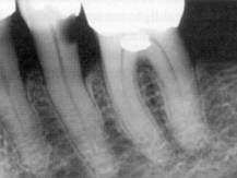
GRANULOMUL DENTAR

Este o parodontita apicala cronica care se traduce radiologic prin leziuni osoase distructive situate in tesutul osos alveolar din jurul varfului radacinii pe o arie ce nu depaseste 5mm sau pe partea laterala a radacinii, in caz de canale anormale sau de cai false.

Fig. 360 Granulomul dentar

Conturul focarului de osteoliza al granulomului este precis in perioada de liniste si sters in perioada de puseu osteolitic

CHISTUL DENTAR

Se traduce radiologic printr-o zona de osteoliza retunda, scobita in rebordul osos al maxilarului inferior, de dimensiuni mai mari, peste 5 mm, cu contur net si dens. Poate include radacini de la mai multi dinti sau daca se dezvolta intre radacini, le dezorienteaza, impinge dintii vecini de o parte si de alta a dintelui pe care este axat chistul.

    Fig. 361 Chistul dentar

In functie de localizare, distingem chiste radiculare, interdentare, foliculare (in capul molarului inclus)

PARADONTOPATIILE MARGINALE CRONICE

Crestele si septurile osoase care separa dintii intre ei de-a lungul rebordului se modifica, radiologic, in paradontopatiile marginale cronice. Se observa atrofia si disparitia crestei, septurilor, cu atat mai accentuata cu cat paradontopatia este mai veche si mai grava.

In cele din urma, septurile si peretii alveoloari se resorb pana spre varful radacinii, dintii capata o mobilitate mare si cad singuri .

FRACTURILE     MAXILARELOR

Ca si afectiunile inflamatorii (osteomielita, sifilisul, tuberculoza, actinomicoza), diagnosticul se pune pe baza semnelor clinice si radiologice descrise pentru oasele lungi.

TUMORILE MAXILARELOR

Pot fi impartite in:

tumori adevarate, provenite din    elementele structurale ale tesutului osos,

tumori provenite de la aparatul dentar.

Tumorile adevarate pot fi benigne ca osteomul, fibromul, hemangiomul; semimaligne ca tumora cu mieloplaxe si condromul; maligne ca osteosarcomul.

Ele au aceleasi caractere radiologice ca si cele care se dezvolta pe alte piese ale scheletului.

Tumorile cu punct de pleacare de la aparatul dentar sunt: chistele dentare, odontomul si ameloblastomul sau adamantinomul.

ODONTOMUL sau DENTOMUL este o tumora benigna constituita dintr-un conglomerat de dinti rudimentari; se dezvolta cu precadere la nivelul ultimului molar inferior care lipseste de pe arcada si se traduce printr-o cavitate de 1-2cm, net conturata care este plina cu formatiuni opace rotunde sau poligonale, denticuli, ce se suprapun si dau imagine in mozaic.

Fig. 362 Dentomul

AMELOBLASTOMUL sau ADAMANTINOMUL este o tumora caracterizata prin formatiuni chistice osteolitice, care, in cresterea lor, apasa si distrug trabeculele spongioasei, subtiaza si sufla corticala.

Formatiunile sunt separate intre ele prin septuri osoase subtiri, care dau imagine in fagure de miere. Uneori, poate aparea o cavitate chistica unica.

Fig. 363 Adamantinomul





Politica de confidentialitate





Copyright © 2026 - Toate drepturile rezervate

Medicina




MUSCHIUL PTERIGOIDIAN LATERAL
MODIFICARI RADIOIMAGISTICE IN BOLILE DENTARE
TUMORILE CAILOR BILIARE
REGULI SI PRINCIPII UTILIZATE PENTRU STABILIREA DIAGNOSTICULUI IN ONCOLOGIE INDICATII TERAPEUTICE IN ONCOLOGIE
Patologia mastitelor




termeni
contact

adauga