![]() | Alimentatie | Asistenta sociala | Frumusete | Medicina | Medicina veterinara | Retete |
DIAGNOSTICUL RADIOIMAGISTIC AL AFECTIUNILOR FARINGO-ESOFAGIENE
METODE DE EXAMINARE
RADIOGRAFIA TORACICA: - efectuata in diferite incidente precede celelalte examinari. Ea furnizeaza o serie de detalii care pot sugera o modificare a faringo-esofagului.
Examenul toracelui si coloanei vertebrale poate evidentia leziuni (malformatii, abcese osifluente, tumori) ce pot induce modificari ale esofagului. Examenul plamanului poate explica unele modificari de pozitie esofagiene, tractiuni sau impingeri ale esofagului prin procese de vecinatate. Astfel, acesta poate fi atras de partea segmentului atelectaziat sau a zonelor de fibroza pulmonara, dupa pneumectomie.
Cordul si vasele, datorita relatiilor de vecinatate, pot produce compresiuni sau impingeri ale esofagului. Astfel, atriul stang dilatat, anevrismele aortice, malformatii ale arterei pulmonare comprima si imping posterior esofagul.
Examenul toracic evidentiaza o largire a mediastinului in: diverticol Zenker, leiomiom esofagian, infiltratie tumorala periesofagiana, diverticoli, megaesofag, tumori mediastinale care invadeaza secundar esofagul. Imagine hidroaerica in mediastinul posterio - inferior sugereaza o hernie hiatala. Bula de gaz a stomacului, mica, se observa in cancerul de esocardiotuberozitate. De asemenea, pot fi vizualizati corpi straini radioopaci, emfizemul mediastinal in perforatiile esofagului.
EXAMENUL ESOFAGULUI CU BARIU
Examenul baritat se poate face in contrast simplu utilizand o densitate medie (50-60w/v) sau in contrast dublu - in acest caz bariul concentrat 200w/v se asociaza cu prafuri efervescente formate din bicarbonat de sodiu si acid tartric sau citric. Este indicata utilizarea bariului micronizat care nu sedimenteaza, precum si adaosul de substante adezive (guma arbica, caboximetilceluloza, ulei de parafina). Mai sunt utilizate si tabletele de bariu dupa formula Bertrand (sulfat de bariu, magnezie calcinata si guma arabica) sau pasta baritata.
In unele situatii, se utilizeaza un amestec de bariu cu alimente.
Substantele hidrosolubile sunt indicate atunci cind suspectam o perforatie. Ele irita mucoasa traheobronsica si nu sunt indicate in fistule sau aspiratii traheale.
In examinarea faringelui si esofagului se recomanda utilizarea de modificatori de comportament.
Antispasticele produc hipotonie, incetinesc peristaltica si tranzitul, combat spasmul favorizand studiul reliefului mucos, evidentierea diverticolilor care au un colet subtire, a herniei hiatale, a refluxului gastroesofagian. Cele mai utilizate sunt: papaverina (10mg), atropina (2mg), nitroglicerina, buscopanul (i.v. 20-25 mg), scobutilul. Mecholilul (parasimpaticomimetic 5-10 mg) produce hipersecretie salivara, contractii vii ale segmentelor suprasfincteriene, cresterea presiunii intraluminale. Testul este utilizat pentru diagnosticul achalaziei fiind negativ la normali.
EXAMENUL ESOFAGULUI
Examenul esofagului comporta anumite dificultati datorita tranzitului rapid si situatiei sale in mediastinul posterior.



Fig. 164 Examenul esofagian normal baritat
Relieful mucos se examineaza cu pasta baritata dupa ce bolul baritat a tranzitat esofagul in pozitie verticala, incidente A-P, profil - pentru regiunea cervicala, OAS, OAD, OPS, OPD, pentru esofagul toracic. Cardia trebuie examinata atit in incidenta de fata cit si in incidenta de profil mai ales OAS.
Manevrele Valsalva si Muller sunt utilizate intrucit ele incetinesc tranzitul, cresc tonusul si destind peretele.
Explorarea trebuie completata cu examenul in decubit dorsal si Trendelenburg, pozitii ce faciliteaza o analiza mai atenta a modificarilor functionale si morfologice, facand posibila studiul peristalticei.
EXAMENUL REGIUNII ESOCARDIOTUBEROZITARE
Regiunea esocardiotuberozitara trebuie examinata cu deosebita atentie fiind sediul unei patologii deosebit de importante care ar putea fi omisa la examenul "in fuga" prin tranzit baritat.
EXAMENUL BARITAT IN DUBLU CONTRAST
Are o valoare deosebita prin posibilitatea evidentierii leziunilor de dimensiuni mici. Dupa efectuarea radiografiilor cu substanta baritata, bolnavului i se administreaza o potiune sau pudra efervescenta formata din acid tartric si bicarbonat de sodiu, pe care trebuie sa o suga.
RADIOCINEMATOGRAFIA ESOFAGULUI
ENDOSCOPIA ESOFAGIANA
BIOPSIA SI CITODIAGNOSTICUL
COMPUTER TOMOGRAFIA - este utila pentru aprecierea extensiei mediastinale a carcinoamelor esofagiene, a leiomiomului, a existentei adenopatiilor si a metastazelor la distanta.
IRM
IZOTOPII RADIOACTIVI
ECHOGRAFIA ENDOLUMINALA
ANATOMIA RADIOLOGICA NORMALA
Esofagul continua faringele. El se extinde de la nivelul stramtorii faringoesofagiene pana la nivelul stomacului. In drumul lui, transverseaza regiunea cervicala, mediastinala posterioara si abdominala. Are o lungime de 25cm, o forma tubulara fiind format din mai multe segmente: cervical, toracic, si abdominal. Calibrul lui nu este uniform; exista unele zone fiziologice de ingustare: strimtoarea superioara sau gura Killian, stramtoarea aortica, stramtoarea bifurcatiei traheei, stramtoarea diafragmatica. Limita inferioara a esofagului este reprezentata de cardie care este situata in stanga vertebrelor T10-T12.
Unghiul Hiss indica locul cardiei si este marcat spre lumen de valvula Gubaroff.
MODIFICARI RADIOIMAGISTICE IN BOLILE ESOFAGULUI
CARDIOSPASMUL
Este o stare de contractura a jonctiunii esogastrice care intrerupe complet tranzitul. El este produs de un reflex local sau la distanta.
Portiunea terminala a esofagului este ingustata axial cu contururi netede. Esofagul supraiacent este dilatat uneori foarte mult. Umplerea se face de jos in sus. Exista lichid de staza. Undele peristaltice sunt vii, frecvente dar ineficiente. Staza esofagiana dureaza 3-4 ore. Cardia se destinde la un moment dat producandu-se evacuarea intregului continut esofagian (legea totul sau nimic). Aceasta particularitate a evacuarii esofagului diferentiaza cardiospasmul de achalazie.
Fig.165 Cardiospasmul
ACHALAZIA
Achalazia este o stare de permanenta contractie a cardiei care produce dilatarea esofagului supraiacent.
Se considera ca spasmul cardiei este consecinta inhibitiei relaxarii musculaturii sfincteriene datorita absentei plexului mienteric Auerbach la acest nivel.
Fig. 166 Dilatare esofagiana marcata in achalazie
A mai fost incriminata in producerea achalaziei, o hipersensibilitate la gastrina endogena care produce cresterea tonusului sfincterului. Scaderea efectului gastrinei produce insuficienta sfincteriana.
Stagnarea alimentelor la nivelul esofagului determina un proces inflamator al mucoasei cu lichid de staza. Aceasta poate produce o aspirare traheala a continutului esofagian, ceea ce induce modificari inflamatorii cronice de tip alveolar sau interstitial.
Fig. 167 Achalazia
Imagistic, la examenul cu bariu, cardia apare mult ingustata cu contururi bine delimitate, netede, cu pliuri paralele, centreaza segmentul supraiacent. Esofagul toracic este dilatat in grade variabile uneori foarte mult si depasind contururile mediastinului.
Concomitent esofagul se alungeste si se cudeaza. Undele peristaltice initial sunt frecvente, profunde, dar ineficiente. Evacuarea este lenta in cantitate mica. Staza esofagului constituie un factor favorizant al esofagitei. Pliurile inflamate isi pierd dispozitia normala. Existenta lichidului de staza determina depunerea bariului sub forma de flocoane.
MODIFICARI DE TRAIECT SI CALIBRU ALE ESOFAGULUI PRIN CAUZE EXTRINSECI
Esofagul este inconjurat pe tot traiectul sau de organe cervicale, toracice si paradiafragmatice a caror suferinte se pot repercuta asupra aspectului morfologic si functional.
Deplasarile esofagului pot fi produse de: afectiunile tiroidei (hipertrofie), afectiuni pleuropulmonare (fibroze, atelectazie), tumori mediastinale (ganglioni, etc.) afectiuni ale cordului si vaselor mari (artera lusoria, dilaterea AD, AS; a tuturor cavitatilor cardiace), anevrisme aortice, ectazia aortica, malformatii (arc aortic pe dreapta, abcese reci, neorinom, meningocel) etc.
ANOMALII CONGENITALE
ATREZIA ESOFAGIANA
Atrezia esofagiana poate fi totala - eventualitate mai rara - sau partiala
STENOZA ESOFAGIANA
Reprezinta o ingustare in grade variabile a lumenului esofagian. De obicei, ea cuprinde un segment mai scurt al esofagului.
DUPLICATIA ESOFAGIANA
DIVERTICOLII ESOFAGIENI
Diverticolii esofagieni sunt leziuni frecvente ale esofagului. Ei pot fi congenitali fiind formati de toate straturile peretelui esofagian sau dobanditi - reprezentand hernii ale mucoasei prin zone slabe ale peretelui esofagian.
Din punct de vedere al mecanismului de producere, distingem diverticoli de pulsiune si de tractiune.



Fig. 168 Diverticolii esofagieni
Ei se localizeaza mai ales in treimea medie a esofagului toracic. Diverticolul Zenker reprezinta o forma particulara, fiind un diverticol de pulsiune localizat in apropierea jonctiunii faringoesofagiene la nivelul peretelui posterior. Triunghiul Leimer reprezinta un punct slab al acestei regiuni care favorizeaza protruzia mucoasei. El poate atinge dimensiuni mari de 8-10cm. Cand este plin, comprima si ingusteaza lumenul esofagian.
Diverticolii din 1/3 medie a esofagului toracic sunt in majoritatea de tractiune, sunt localizati in regiunea hilara si se formeaza prin tractiunea esofagului de catre aderentele fibroase ganglionare. In apropiere, se pot evidentia ganglioni hilari calcificati.
Diverticolii din 1/3 inferioare sunt in majoritate de pulsiune.
Diverticolul epifrenic se localizeaza la nivelul ampulei epifrenice. El poate avea dimensiuni mari si poate retentiona SDC (fig.169).
In rare cazuri, diverticolii se formeaza intramural in sinusurile Rokitenski-Aschoff si au dimensiuni mici.
Diverticolii functionali sunt determinati de contractiile tertiare care au un aspect disecant
Fig. 169 Diverticol epifrenic
Imagistic, diverticolul apare ca un plus de substanta ce iese din contur si este legat de esofag printr-un pedicol. El are o forma rotund-ovalara cand mecanismul de formare este prin pulsiune sau triunghiulara cand se formeaza prin tractiune. Este bine delimitat si are o structura omogena. In repletie, bariul poate ramane in punga diverticulara cateva ore si, impreuna cu aerul, realizeaza un nivel hidroaeric.
Cand apare procesul inflamator - diverticulita - conturul formatiunii devine neregulat iar continutul neomogen.
TUMORILE ESOFAGIENE
TUMORILE BENIGNE
Polipii esofagieni sunt rar semnalati in literatura.
Leiomioamele, leiomiosarcoamele au origine in stratul muscular si au o dezvoltare extraluminala predominanta putand ajunge la dimensiuni apreciabile. Mucoasa esofagiana este intacta. Lumenul esofagian este ingustat.
Imagistic, tumorile benigne produc lacune bine delimitate cu peretele suplu care formeaza un unghi ascutit cu peretele esofagian normal. Pliurile esofagiene sunt prezente, suple si ocolesc masa tumorala. Tumorile dezvoltate inafara peretelui produc lacune concave care ingusteaza excentric lumenul esofagian. Cele de dimensiuni mari formeaza o masa tumorala care depaseste mediastinul vizualizindu-se pe radiografiile toracice.
TUMORILE MALIGNE
CARCINOAMELE
Carcinoamele afecteaza, de obicei, un segment limitat al esofagului (12-15 cm). Pot fi localizate oriunde la nivelul esofagului. O atentie deosebita trebuie acordata jonctiunii esocardiotuberozitare. In aceste localizari, in stadii avansate, este greu de precizat punctul de plecare esofagian sau gastric
Aspectul imagistic este dependent de forma anatomo-patologica. Carcinoamele vegetante realizeaza o imagine lacunara cu contur neregulat avand pinteni si semitonuri. Ele sunt situate pe un contur al esofagului. Peretele este rigid, pliurile mucoase sunt intrerupte.

Fig. 170 Cancer vegetant esofagian
Cind tumora se extinde cuprinzand intreaga circumferinta, se produce stenoza care are urmatoarele caracteristici: este excentrica, are un contur neregulat, pliurile mucoasei sunt intrerupte, conturul superior si inferior protrud in lumenul normal.Tumora se poate ulcera si, in acest caz, apare nisa in lacuna. Esofagul supraiacent este moderat dilatat. In localizarile superioare, aspiratia traheala a continutului esofagian este posibila. Carcinomul esofagului cervical produce o crestere a opacitatii tesutului moale prevertebral si impingerea anteriora a traheei. Lumenul esofagian este situat in centrul masei de tesut moale. Aceasta constituie elementul de diferentiere cu invazia extrinseca a esofagului.
Uneori se produc fistule esotraheale sau bronsice.
Fig 171 Fistula eso-bronsica
Carcinoamele infiltrative ingroasa peretele esofagian producand o stenoza axiala, cu contururi netede, regulate rigide, fara unde peristaltice, pliuri infiltrate. Trecerea spre zona normala se face brusc, in treapta.



Fig. 172 Neoplasm esofagian infiltrativ
ESOFAGITELE
ESOFAGITELE CAUSTICE
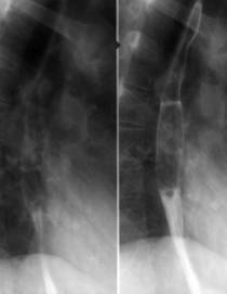
Ingestia accidentala sau voluntara de substante caustice - acizi sau baze - produce o inflamatie eroziva a peretelui esofagian. In faza acuta, nu se recomanda explorarea imagistica. Dupa aproximativ 6 luni, evolutia leziunii este completa, procesele de fibroza si scleroza determinand stenoza. Dupa acest interval de timp, prin examinarea cu bariu se pot face aprecieri asupra existentei, localizarii si gradului procesului de stenoza
Imagistic se observa o ingustare a lumenului esofagian.
Fig.173 Stenoza esofagiana postcaustica
Zona de stenoza cuprinde un segment lung, localizat de obicei sub stramtoarea aortica. De cele mai multe ori este asociata cu stenoza gastrica antrala. Alteori se pot forma stenoze multiple, etajate.
Esofagul supraiacent este dilatat, in pilnie.
ULCERUL ESOFAGIAN
Ulcerul esofagian se intalneste in asociere cu esofagita, hernia hiatala si sindromul Barrett.
Radiologic, se observa un plus de substanta de marime variabila, extins mai mult in suprafata decat in profunzime. Pliurile mucoase sunt ingrosate, convergente. Spasmul produce o ingustare inconstanta a lumenului esofagian. Cu timpul, se produce fibroza parietala aspectul imagistic fiind similar celui descris anterior.
Fig. 174 Ulcerul
esofagian
Exista si forme de ulcer esofagian cu cardia relaxata cind se observa aparitia refluxului gastroesofagian.
VARICELE ESOFAGIENE
Varicele esofagiene sunt dilatatii de tip varicos ale venelor esofagiene, reprezentand una din caile de derivatie colaterala in ciroza hepatica. Ele se mai pot observa la nivelul fornixului, v. splenice, v. retroperitoneale. Se pun in evidenta prin splenoportografie.


Fig. 175 Varicele esofagiene
Pentru a fi vizualizate, este necesara turgescenta lor. In acest scop, examenul cu bariu trebuie facut in pozitie Trendelenburg, cu manevra Valsalva. Imaginea este caracteristica : lacune multiple, bine delimitate, avand dimensiuni variabile, localizate in 1/3 inferioara a esofagului realizand un aspect de ciorchine sau de fagure de miere. Cand sunt localizate periferic, contururile esofagului sunt neregulate.
CORPII STRAINI ESOFAGIENI
Corpii straini esfagieni sunt pusi in evidenta prin esofagoscopie, care constituie in acelati timp si metoda terapeutica.
Corpii straini pot fi radioopaci si radiotransparenti.
Cei radioopaci - metale sau oase se vizualizeaza prin radiografie simpla - care precizeaza existenta, localizarea si progresiunea corpului prin esofag.
Corpii straini radiotransparenti se vizualizeaza prin tranzit baritat. Daca sunt mari, produc o oblitarare a lumenului esofagian care, uneori, poate fi confundata cu cu un carcinom. Daca dimensiunile corpului sunt mici exista cateva semne de suspiciune - o intarziere a tranzitului unei mase solide baritate sau a unei bucati de vata imbibata cu bariu in zona corpului strain.
Corpii straini pot perfora esofagul si produce abcese periesofagiene care se vizualizeaza bine la examenul CT. Ele apar ca masa cu densitate de tesut moale, cu contururi difuze, neomogene, cu bule de gaz localizate cervical.
In perforatiile esofagului toracic, mediastinul apare largit cu linii aerice marginale.
SCLERODERMIA
In sclerodermie esofagul este, la inceput, dilatat moderat, lipsit de unde peristaltice, cardia, atona, permite producerea refluxului gastro -esofagian. Tranzitul esofagian este lent. Desi bariul tapeteaza o perioada lunga de timp peretii esofagieni, el trece fara dificultate prin cardie in stomac. Impreuna cu aerul inghitit, realizeaza imaginea de esofag de sticla.

Fig. 176 Sclerodermia esofagiana
In stadii tardive, se pot produce ingustari ale calibrului. Acestea sunt situate deasupra diafragmului si sunt scurte.
ESOFAGUL OPERAT
Datorita progreselor realizate in terapia intensiva, chirurgia esofagului s-a dezvoltat vertiginos, astazi fiind posibile interventii chirurgicale de mare amploare cu o rata mica a mortalitatii.
Evolutia postoperatorie imediata si tardiva este apreciata prin examen radiologic.
La nivelul esofagului se pot efectua cele mai variate tipuri de interventii chirurgicale: incepand de la cele mai simple: esofagocardiomiotomia, cardioplastia, rezectii de cardie, diverticulectomie, rezectie esogastrica cu anastomoza esoantrala (in ulcerul esofagian) si terminand cu operatiile complexe de esofagoplastie. Acestea din urma, pot fi presternale sau retrosternale. Ele se pot efectua cu tub cutanat, intestin subtire, colon, marea curbura a stomacului.
Controlul radiologic implica 2 perioade:
n perioada imediat postoperatorie
n perioada tardiva
Esofagul plastic normal trebuie considerat acela care la examenul radiologic prezinta o buna functionalitate, tranzit liber, fara cuduri, bride si are un calibru normal. Relief mucos este caracteristic organului cu care s-a efectuat plastia.

Fig. 177 Esofagoplastii cu intestin subtire respectiv colon
Copyright © 2025 - Toate drepturile rezervate