![]() | Alimentatie | Asistenta sociala | Frumusete | Medicina | Medicina veterinara | Retete |
UNIVERSITATEA DE MEDICINA SI FARMACIE "VICTOR BABES"
TIMISOARA
FACULTATEA DE MEDICINA DENTARA
CHISTURI MAXILARE
CONSIDERATII CLINICE SI RADIOGRAFICE
Motto: " Nu averea, nici numele ilustru al stramosilor ne face mari, ci caracterul si mintea. "
Non census
nec clarum nomen avorum,
Sed probitas magnos ingeniumque facit.
(Publius Ovidius Nasos, poet roman.)
PARTEA GENERALA
INTRODUCERE
Chisturile maxilare, reprezinta un grup eterogen de formatiuni cavitare endoosoase, majoritatea fiind captusite cu o membrana si cu un continut lichid, semisolid sau gazos.

Fig.1 Desen schematic al unui chist.
Chisturile oaselor maxilare reprezinta cauza ce mai frecventa a deformarilor osoase cronice de la nivelul viscerocraniului. Aceste entitati clinice si histopatologice se dezvolta in special la nivelul oaselor maxilare, localizarile la nivelul altor oase ale corpului fiind relativ rare. In plus, o serie de leziuni chsitice non-odontogene, care afecteaza scheletul in general se pot regasi uneori si la nivelul oaselor maxilare. Localizarea cu predilectie la nivelul maxilarelor se explica prin prezenta a numeroase resturi epiteliale odontogene, provenite din procesul de dezvoltare a dintelui (odontogeneza) si restante in oasele maxilare.
Epiteliul de origine odontogena, provine din organul adamantin al lamei dentare si este reprezentat fie de organul smaltului nedezvoltat sau anormal dezvoltat, fie de resturi epiteliale incluse in maxilare, ramase din teaca radiculara fragmentata in cursul embriogenezei (resturile epiteliale Malasezz), la care se adauga o componenta inflamatorie.
Epitelilul de origine neodontogena se gaseste in special la maxilar si reprezinta fie resturi de epiteliu care acopera procesele embrionare, care vor forma maxilarul (situate pe linia mediana a palatului sau in zona dintre incisivul lateral si canin si la baza narinei), fie de resturi ale canalului nazo-palatin sau incluzii de epiteliu glandular salivar care, de regula, nu duce la formarea de chisturi ale maxilarelor.
In functie de originea epiteliului, la nivelul oaselor maxilare, se intalnesc doua categorii de chisturi epiteliale sau chisturi adevarate propriu-zise si anume:
Chisturi maxilare odontogene;
Chisturi epiteliale neodontogene;
In afara acestor categorii, mai exista in interiorul oaselor maxilare o serie de cavitati care nu sunt chisturi propriu-zise, purtand numele de pseudochisturi.
1. DEZVOLTAREA DINTELUI (ODONTOGENEZA)
Pentru o mai usoara intelegere a patogeniei acestei entitati, este necesara o scurta prezentare a odontogenezei.
Chisturile oaselor maxilare au de cele mai multe ori ca punct de plecare structuri ectomezenchimale implicate in ododntogeneza. Acesta este un proces complex, despre care sunt prezentate numeroase date embriologice.
La om exista doua serii de dinti, si anume: dintii temporari (deciduali, in numar de 20) si dintii permanenti (in numar de 32), ultimii inlocuindu-i pe primii. Dintele uman (temporar si permanent) are origine dubla, ectodermica si mezenchimala. Formarea, dezvoltarea si eruptia dentara se desfasoara in perioade de timp diferite pentru fiecare dinte dintre cele doua categorii de dinti, temporari si permanenti.
Dintii isi incep dezvoltarea in a 6-a saptamana a vietii intrauterine, prin invaginarea ectodermului de la nivelul stomodeumului in mezenchimul subiacent al primului arc branhial, care reprezinta procesele alveolare primare. Prin aceasta invaginare se formeaza lamina dentara, in forma de potcoava, cate una pentru fiecare maxilar. Din lamina dentara se vor forma 20 de digitatii (cate 10 pentru fiecare maxilar), ce constituie mugurii dintilor temporari, cu existenta unor ingrosari in pozitiile viitorilor dinti.

Fig.2 Mugurele epitelial (organul adamantin - OA) s-a format la capatul laminei dentare (LD). Se observa cavitatea laminei vestibulare (LV), care este primul pas catre formarea vestibulului. Spre marginea inferioara a laminei vestibulare o proliferare epiteliala initiala conduce la formarea glandelor salivare accesorii (GSA)
La baza acestor digitatii apare cate o invaginatie, care semnifica initierea dezvoltarii organului adamantin (producator de smalt dentar), si care induce o condensare locala a mezenchimului pentru a forma papila dentara.

Fig.3 Formarea mugurelui dintelui temporar are loc pe partea vestibulara a laminei dentare (LD). Un pod epitelial (lamina laterala LL) se observa legand lamina dentara (LD) de germenele dentar in forma de clopot oval. Bucla adamantina (BA).Varful liber a laminei dentare (LD) prolifereaza in ectomezenchimul laminei succesionale (LS). Papila dentara (PD). Foliculul dentar(FD).
Fig.4 Fragmenatarea initiala a laminei dentare (LD) incepe de la jonctiunea epiteliala oro-dentara (JEOD). Cateva perforatii apar in lamina dentara (perforatiile laminei dentare - PLD). LL- lamina laterala. LS - lamina succesionala. EO-epiteliul oral.
Organul adamantin trece prin fazele de capsula si apoi de clopot, formand astfel epiteliul adamantin extern, reticulul stelat, stratul intermediar si epiteliul adamantin intern. La periferia organului adamantin si a papilei dentare apare o condensare suplimentara a mezenchimului care formeaza sacul folicular. In acest mod se dezvolta cele trei componente ale germenului dentar:
Organul adamantin (de origine epiteliala);
Papila dentara (de origine mezenchimala);
Sacul folicular (de origine mezenchimala).
Din lamina dentara a dintelui temporar se separa o alta prelungire care constituie primordiumul dintelui permanent si care va initia un proces identic de dezvoltare a acestuia (lamina dentara secundara). Practic in cea de-a 16-a saptamana a vietii intrauterine se formeaza mugurele primului molar permanent.
Pe masura ce epiteliul odontogen se diferentiaza in pre-ameloblasti la nivelul epiteliului adamantin intern, acestia induc diferentierea mezenchimului papilei dentare in odontoblasti. Odontoblastii secreta matricea dentinara.Acest fenomen stimuleaza preameloblastii stratului adamantin intern sa se diferentieze in ameloblasti functionali, care depoziteaza smalt peste matricea dentinara. Structurile de legatura dintre ameloblasti si matricea dentinara reprezinta jonctiunea amelodentinara, care se formeaza de fapt inainte de depozitarea smaltului.

Fig.5 Resturile epiteliale din lamina dentara ( RE, reprezentate ca mici cerculete) localizate in canalul gubernacular care leaga sacul dentar (SD), situat imprejurul succesorului permanent in dezvoltare (DP), cu gingia linguala.
ID- incisivul decidual (temporar).
De la nivelul organului adamantin, se dezvolta spre profunzime un epiteliu dublu stratificat, formand teaca radiculara Hertwig, care va inconjura si va include celulele mezenchiamle ale papilei dentare. Mezenchimul odontogen al papilei dentare se transforma in odontoblasti care vor produce dentina radiculara. Mezenchimul adiacent radacinilor dentare va fi stimulat de teaca Hertwig sa produca membrana parodontala. In acest mod se dezvolta radacina dintelui temporar. Lamina dentara se dezintegreaza, rezultand o serie de resturi epiteliale numite resturile Serres, care vor ramane cantonate in mucoasa alveolara.
In acelasi timp, teaca radiculara Hertwig se dezintegreaza prin invazia mezenchimului adiacent, rezultand resturile epiteliale Malassez. Resturile epiteliale Serres si Malassez au un potential de activare crescut, cunoscut fiind faptul ca din aceasta deriva multe tipuri de chisturi sau tumori odontogene. Dupa liza tecii Hertwig, mezenchimul adiacent vine in contact si se diferentiaza in cementoblasti care vor produce cementul radicular.
Pe masura formarii smaltului dentar, organul adamantin este comprimat si redus la un epiteliu triplu stratificat - asa-numitul epiteliu adamantin redus. Acesta este format din: epiteliu adamantin extern, stratul intermediar si epiteliul adamantin intern. Odata cu eruptia dintelui, epiteliul adamantin redus fuzioneaza cu epiteliul mucoasei orale adiacente si formeaza santul parodontal, precum si jonctiunea dintre epiteliul gingival si smaltul dintelui.
Fig.6 Resturile epiteliale Serres ale Fig.7 Dintele complet format si
laminei dentare si formarea tecii Hertwig erupt pe arcada.
Dezvoltarea dintilor permanenti se produce printr-un mecanism similar. Tot acest proces de formare atat a dintilor temporari cat si permanenti, are loc intr-un timp
indelungat, din a 6-a saptamana a vietii intrauterine si pana aproape de varsta de 20 de ani, fapt care explica patologia legata de odontogeneza.
2. ETIOPATOGENIE SI HISTOPATOLOGIE
Chistul se defineste ca o cavitate patologica delimitata partial sau in totalitate de o membrana epiteliala si care are un continut fluid sau semifluid. Exista totusi unele formatiuni chistice care nu prezinta nici un fel de membrana epiteliala.
Aparitia lor se datoreaza, in primul rand, existentei tesutului epitelial in grosimea spongioasei oaselor maxilare, fapt ce constituie o deosebire intre acestea si formatiunile chistice ale altor oase care alcatuiesc scheletul uman. Originea acestor epitelii poate fi odontogena si neodontogena. Este important de mentionat ca aceste epitelii diferentiate nu se gasesc in mod normal in structura oaselor maxilare.
Epiteliul de origine odontogena provine din organul adamantin al lamei dentare si este reprezentat fie de organul smaltului nedezvoltat sau anormal dezvoltat, fie de resturi epiteliale incluse in maxilare ramase din teaca radiculara fragmentata in cursul embriogenezi (resturile epiteliale Malasezz), la care se adauga o componenta inflamatorie.
Epitelilul de origine neodontogena se gaseste in special la maxilar si reprezinta fie resturi de epiteliu care acopera procesele embrionare, care vor forma maxilarul (situate pe linia mediana a palatului, sau in zona dintre incisivul lateral si canin si la baza narinei), fie de resturi ale canalului nazo-palatin sau incluzii de epiteliu glandular salivar care, de regula, nu duce la formarea de chisturi maxilare.
Remanentele din timpul dezvoltarii dintelui se numesc perle Serres si resturi epiteliale Malassez.
Perlele Serres, se formeaza din lamina dentara si se prezinta ca insule de epiteliu scuamos sub gingie. Aceste insule prolifereaza uneori si degenereaza chistic formand chisturi gingivale, unele fiind depistate chiar la nou-nascuti.
Resturile epiteliale Malassez rezulta din teaca Hertwig si sunt prezente in ligamentul periodontal si rareori in osul alveolar. La dintele matur in resturile epiteliale Malassez se identifica celulele de tipul ameloblastelor in forma dormanta.
Fig.8 Chist maxilar - prezentare schematica.
A - perete de tesut conjunctiv. B - tipuri diferite de epiteliu de captusire.
Evolutia obisnuita a chisturilor este de stimulare a resturilor epiteliale de dezvoltare, urmata de proliferarea unei mase de celule epiteliale, fara invazia tesuturilor adiacente. Pe masura cresterii volumetrice a masei epiteliale, celulele situate central se repozitioneaza spre periferie, cat mai aproape de sursa de vascularizatie. Totusi, unele celule raman in hipoxie, se lizeaza si astfel se formeaza progresiv continutul chistic. Acesta, din cauza structurilor celulare lezate, este hiperton, fapt pentru care atrage transudat, care la randul sau creaza presiune hidrostatica, si deci, resorbtie osoasa prin presiune. Astfel, chistul creste in dimensiuni. Hipoxia celulelor epiteliale situate spre cavitatea chistica, hipertonia, transsudatul, presiunea hirostatica, liza osoasa, cresterea volumetrica a chistului si deci din nou hipoxia celulelor epiteliale situate spre cavitatea chistica - toate acestea formeaza un cerc vicios care, din punct de vedere macroscopic, se traduce prin cresterea progresiva a chistului.
Continutul chistic este adeseori bogat in granule de colesterol, rezultate prin liza membranei celulare si a celei nucleare. Odata cu cresterea chistului, acesta comprima tesutul conjunctiv adiacent, care formeaza stratul conjunctiv care inconjoara la exterior membrana epiteliala a chistului. Membrana epiteliala se matureaza in timp si dezvolta membrana bazala. Cresterea chistului continua pana cand cercul vicios este intrerupt prin:

Fig.9 Dezvoltarea unui chist (prezentare schematica).
Majoritatea chisturilor oaselor maxilare au caractere clinice similare, si anume cresterea lenta, asimptomatica, expansiva, ce va duce in cele din urma la deformarea corticalei osoase, aspectul radiolografic caracteristic, constituind in general un indicator pentru stabilirea diagnosticului. Diagnosticul pozitiv se bazeaza in final pe rezultatul examenului histopatologic.
3. TABLOU CLINICO - EVOLUTIV
Chisturile maxilare prezinta o simptomatologie de debut asemanatoare, comuna pentru toate formele histologice, dar care variaza in raport cu localizarea, marimea, directia in care evolueaza eventualele complicatii. Diferitele forme histologice de chisturi au multe caracteristici clinice proprii.
Toate chisturile de maxilar evolueza in doua perioade succesive:
a) cel mai frecvent, o perioada de dezvoltare latenta intraosoasa si mai rar extraosoasa;
b) o perioada de exteriorizare.
In ambele perioade evolutive pot sa apara complicatii.
a) Perioada de latenta.
Este o perioada indelungata, asimptomatica, cand chistul este intraosos sau chiar extraosos, dar de mici dimensiuni.
La examenul arcadelor dentare se poate constata prezenta unui dinte, cu necroza sau gangrena puplara, a unui rest radicular, absenta unui dinte permanent sau persistenta unui dinte temporar, deplasari dentare.
Examenul radiografic de rutina poate descoperi imaginea caracteristica chistului. Rareori, pacientul poate acuza o senzatie anormala de tensiune in regiunea respectiva. Uneori, pacientii pot acuza dureri nevralgiforme cu caracter de parodontita cronica. In aceasta perioada, chistul este descoperit cu ocazia investigatiei sau tratamentului unui dinte devital, prin examen radiografic, cu ocazia trepanarii unui dinte si scurgerea unui lichid sero-citrin, cu ocazia unei extractii dentare, cand se elimina un fragment de membrana sau chistul in totalitate.
b) Perioada de exteriorizare.
Pe langa semnele existente in perioada de latenta, apar semne obiective. Prin crestere, chistul deformeaza conturul osos. Tabla osoasa apare deformata in santul vestibular, in bolta palatina sau paralingual.
Uneori, deformatia este evidenta si exobucal in regiunile geniana, latero-nazala, mentoniera, unghiul mandibular, in raport cu localizarile chistului. Partile moi sunt nemodificate, ci doar impinse de chistul subiacent.
Mucoasa endobucala acoperitoare este intacta, mai destinsa si uneori usor congestiva.
La palpare, palnul osos este neted, dur, nedureros, cand peretele osos este gros. Pe masura exteriorizarii membranei chistice, compacta osoasa bombeaza din ce in ce mai mult, este subtiata, dand mai intai la palpare senzatia de "coaja de ou spart" (semnul DUPUYTREN), iar dupa resorbtia completa a planului osos se percepe senzatia de fluctuenta, delimitata de o margine osoasa dura sau pergamentoasa.
In cresterea sa extensiva chistul afecteaza radacinile dintilor vecini, pe care intr-o prima etapa, le inconjoara, pentru ca ulterior sa le includa in cavitatea sa.
Dintii de la nivelul formatiunii, de obicei devitali, pot suferi deviatii, deplasari sau chiar pot deveni mobili, datorita resorbtiei osoase accentuate.
4. CONSIDERATII RADIOGRAFICE ALE CHISTURILOR MAXILARE.
Din punct de vedere radiografic o descriere generala a chisturilor maxilare este o radiotransparenta rotunda sau ovala bine delimitata. Insa sunt foarte importante detaliile privind localizarea, forma, periferia, srtuctura interna, relatia cu dintii adiacenti si eventualele modificari produse asupra structurilor anatomice invecinate. Ele pot orienta spre stabilirea diagnosticului si pot sugera informatii asupra stadiului de inflamatie si caracterului de agresivitate al leziunii, ajutand in alegerea metodei terapeutice optime.
Forma. Rotunda sau ovala, alungita sau in "forma de inima", depinde de structura anatomica, pentru ca de obicei un chist creste in directia minimei rezistente.
Periferia. Chistul este frecvent delimitat de o zona ingrosata de os sanatos, ca urmare a cresterii lente, acesta formandu-se prin apozitie osoasa marginala. Deci, radiotransparenta prezinta un contur periferic bine trasat, constituit dintr-o banda subtire opaca, de grosime constanta pe tot traiectul sau perilezional. Linia de condensare osoasa delimiteaza clar formatiunea chistica de osul indemn din jur.
Unele chisturi insa, prezinta doar intr-o zona o linie de condensare, iar la pacientii tineri, chisturile sunt rareori delimitate de condensare osoasa periferica.
Procesul inflamator este insa exceptie, pentru ca rezoarbe lizereul de osteocondensare periferica, sterge contururile si confera imaginii chistice delimitari mai putin netede. Limita spre osul sanatos poate deveni atat de stearsa incat poate fi usor confundat cu o tumora benigna sau osteomielita.
Uneori imaginea chistica poate prezenta un contur dublu sau fond neomogen concentric, datorita uzurii inegale a corticalelor cu perforarea uneia dintre ele sau a ambelor. O linie arata marimea distructiei vestibulare iar cealalta delimiteaza rezorbtia orala a osului.
Structura interna este radiotransparenta. Intensitatea acestei radiotransparente poate fi adesea diferita si scade de la centru la periferie. O radiotransparenta omogena poate sa apara atunci cand chistul este localizat in mijlocul osului maxilar sau mandibular. Radiotransparenta difuza si neomogena, este data de chisturile care au produs o resorbtie osoasa mai putin accentuata, fiind localizate spre vestibular, determinand modificari la nivelul partilor moi. In unele cazuri, chisturile cu evolutie vestibulara pot sa nici nu determine modificari radiografice semnificative.
Diametrul radiografic nu corespunde intotdeauna cu dimensiunea reala a chisturilor, depinzand de directia de crestere, de directia de centrare a fascicolului de radiatii, de diverse suprapuneri osoase. De cele mai multe ori chistul este de dimensiuni mai mari in realitate.
5. DIAGNOSTICUL POZITIV SI DIFERENTIAL AL CHISTURILOR MAXILARE
DIAGNOTICUL POZITIV
Chiar daca au originea diferita, multitudinea de chisturi maxilare prezinta un tablou clinic asemanator, diferentierile fiind induse de localizare, extensie, directia de crestere, de aparitia sau nu a complicatiilor.
Cercetarile cu privire la geneza chistului maxilar incep cu anamneza pacientului care ne ofera date despre existenta sau nu a simptomelor de debut (fenomene inflamatorii acute, fistule mucoase sau cutanate, dureri, parestezii, deformari osoase etc.) si caracteristicile lor. Apoi, examenul clinic general si de specialitate este completat cu mijloace complementare de diagnostic si anume:
a. testarea vitalitatii dentare;
b. punctia exploratorie;
c. radiografii exo- si endoorale;
d. tomografia computerizata;
e. rezonanta magnetica nucleara - in cazuri neclare.
f.
1. Testarea vitalitatii dentare, se efectueaza pentru toti dintii care ar putea avea relatii cu chistul, fie ca sunt indemni sau prezinta leziuni carioase. Se realizeaza cu ajutorul testelor termice (la "cald", la "rece"), electrice, si frezaj explorator cand primele nu sunt concludente. Testul electric trebuie utilizat cu rezerve, pentru ca poate da raspuns fals pozitiv, in cazul existentei unei secretii in canalul radicular (provenita din continutul chistului sau in urma necrozei de lichefactie).
2. Punctia exploratorie, orienteaza in mare masura diagnosticul, oferind date despre natura unei leziuni osoase incerte. Un prim element observat este natura solida sau fluida a continutului lezional in cazul unui continut lichid, aspectul sau orienteaza catre o anumita categorie lezionala.
Dupa evacuarea continutului, se poate introduce o substanta radioopaca si se executa radiografii de contrast care precizeaza mai bine limitele si raporturile chistului si evidentiaza grosimea peretelui chistic. Detalii suplimentare se pot obtine prin radiografii in incidente diferite dupa punctia sinusului maxilar si introducerea unei substante de contrast in cavitatea sinusala. Se obtin astfel elemente importante pentru diagnosticul unei leziuni care interfera cu regiunea sinusului maxilar.
3. Biopsia preoperatorie se recomanda in formatiunile chistice cu aspecte clinice sau radiolografice atipice.
4. Examenul radiografic. Intrucat manifestarile clinice ale chisturilor maxilare sunt comune si pentru multe tumori ale oaselor maxilare, examenul radiografic are o importanta majora pentru conturarea diagnosticului. Permite totodata depistarea chisturilor in stadiu endoosos, profund, inainte de a deveni perceptibile clinic. Examenul radiografic pune in evidenta extensia formatiunilor chistice, raporturile lor cu dintii si cu celelalte structuri anatomice (fose nazale, sinus maxilar, canal mandibular), furnizand astfel elemente pretioase privind indicatiile de tratament si tehnica operatorie adecvata. Radiografia da indicatii in ceea ce priveste pastrarea dintilor prin rezectie apicala sau extractia lor, precizand extinderea rezorbtiei osoase a procesului alveolar si lungimea radacinii ramase in os sanatos.
Se indica: - radiografie in incidenta retroalveolara sau ocluzala pentru chisturile mici sau pentru clarificarea relatiei leziune-dinti in cazul chisturilor mai voluminoase;
- ortopantomografie;
- radiografii ale sinusurilor anterioare ale fetei (SAF)
Imaginea clasica a chisturilor maxilare este de radiotransparenta rotunda sau ovalara bine delimitata de o banda de osteocondensare marginala.
5. Tomografia computerizata este o metoda imagistica eficienta pentru evaluarea leziunilor osoase maxilo-faciale, adesea fiind dificila stabilirea exacta a extinderii distructiei osoase si gradul de afectare a structurilor adiacente printr-un examen radiolografic clasic. De asemenea, diferentiaza un proces chistic de unul solid, surprinzand chiar transformarile tumorale care pot sa apara intr-o leziune chistica. Pentru evidentierea localizarii si a raporturilor leziunilor osoase cu tesuturile adiacente este necesar sa fie practicat atat in sectiuni axiale cat si biaxiale.
6. Rezonanta magnetica nucleara, este utila in diferentierea chisturilor de formatiunile tumorale maxilare, intrucat da informatii despre caracterul solid sau lichidian, grosimea si caracterul regulat sau neregulat al peretilor leziunii osoase.
DIAGNOSTICUL DIFERENTIAL
Intrucat semnele clinice (bombarea si suflarea osului, tumefactia secundara suprainfectiei, deplasarea dintilor etc.) sunt caracteristice si pentru tumorile maxilare, un rol foarte important in diagnosticul diferential clinic al chisturilor maxilare il are examenul radiografic. In diagnosticul diferential trebuie luate in considerare toate leziunile care determina osteoliza si care dau aspect de radiotransparenta.
Chisturile maxilare si tumorile benigne determina o distructie osoasa (osteoliza), cu aspect radiografic de radiotransparenta uniloculara, clara, omogena, uniforma, relativ bine delimitata, pe cand in tumorile maligne (carcinoame, sarcoame), metastaze ale tumorilor maligne din alte regiuni ale corpului, determina osteomielita cu aspect de radiotransparenta neomogena, fara contur net.
Dintre leziunile maligne, carcinomul cu celule scuamoase si carcinomul mucoepidermoid sunt localizate de regula in regiunea posterioara a maxilarului si mandibulei. Asimptomatice in stadiul initial, determina dureri surde si deformari osoase ulterior. Radiografic sunt leziuni radiotransparente cu margini care pot fi bine reprezentate, sclerotice sau difuze, neregulate, cu aspect "ros de molii".
Metastazele afecteaza de obicei zona laterala mandibulara in decadele 5, 6, 7 de viata. Radiografic au aspect de radiotransparenta difuza.
Particularitatile chisturilor maxilare impun, in primul rand, diferentierea intre subtipurile lezionale de chisturi maxilare.
6. TRATAMENTUL CHISTURILOR MAXILARE
Dupa Laskin, tratamentul chisturilor maxilare urmareste patru principii:
indepartarea sau crearea conditiilor pentru indepartarea completa a membranei chistice;
conservarea dintilor erupti sanatosi, a celor partial erupti si a celor neerupti, care pot avea un rol functional la nivelul arcadei dentare;
conservarea structurilor invecinate ca: pachetul vasculo-nervos, sinusul maxilar, fosele nazale;
restaurarea zonei afectate cat mai aproape de contururile normale.
Tehnicile chirurgicale pentru tratamentul chisturilor maxilare au fost imaginate si prelucrate la Breslau de catre Partsh. Metodele sale sunt viabile si astazi. In 1892 a propus marsupializarea sau operatia Partsh I, iar in 1910 enucleerea completa a chistului sau operatia Partsh II. Axhausen a propus mai tarziu sa se vorbeasca de chistotomie si respectiv chistectomie.
Pregatirea preoperatorie.
Se va realiza o anamneza amanuntita a pacientului, un examen riguros al cavitatii orale. Statusul dintilor adiacenti va fi inregistrat in ceea ce priveste prezenta pungilor parodontale, a mobilitatii si vitalitatii. Zona periapicala se evidentiaza cu radiografii retroalveolare. O imagine de ansamblu este data de ortopantomografie. In anumite cazuri sunt necesare radiografii in alte incidente. Tomografia computerizata (TC) sau rezonanta magnetica nucleara (RMN) care sa ajute in alegerea unei tehnici operatorii potrivite.
Chistotomia.
Denumita si operatia Partsh I, chistotomia consta in suprimarea unui perete al cavitatii chistice si transformarea acesteia intr-o cavitate anexa a cavitatii orale dupa eliminarea continutului chistic, membrana chistica restanta fiind lasata pe loc. Aceasta tehnica standard de decompresie a fost modificata astfel incat sa poata fi utilizata si in cazul chisturilor extinse la nivelul foselor nazale sau a sinusului maxilar. Exista doua variante ale acestei tehnici: fenestrarea si marsupializarea.
Fenestrarea sau chistotomia modificata este considerata o metoda de decompresie care presupune deschiderea si mentinerea deschisa a cavitatii chistice cu scopul de a reduce dimensiunile chistului prin scaderea presiunii intrachistice si initierea apozitiei osoase marginale. Este o varianta temporara de tratament care permite conservarea structurilor anatomice adiacente si previne fractura mandibulei in momentul chistectomiei.
Marsupializarea sau chistotomia propriu-zisa este considerata metoda definitiva de tratament, care presupune deschiderea cavitatii chistice pe o intindere egala sau mai mare decat diametrul chistului si transformarea acestuia intr-o cavitate anexa unei cavitati anatomice (cavitatea orala, sinus maxilar, fosa nazala).
Chistotomia modificata sau fenestrarea este indicata in:
chisturile supurate pana la remiterea fenomenelor acute;
situatia unui diagnostic neclar pentru prelevarea unui fragment de membrana chistica in vederea examenului histopatologic;
chisturile voluminoase pentru reducerea dimensiunii chistului (in timpul doi se va realiza chistectomia).
Chistotomia este indicata in:
chisturi voluminoase, cand exista riscul de fractura in os patologic;
chisturi voluminoase mandibulare care invadeaza canalul dentar, membrana chistica aderand de pachetul vasculo-nervos;
in scopul conservarii dintilor adiacenti vitali a caror pachet vasculo-nervos ar putea fi distrus prin chistectomie;
in chisturile dentigere care au raporturi cu numerosi muguri dentari sau dinti in eruptie la copii;
cand peretele chistului este singura bariera intre cavitatea chistica si mucoasa fosei nazale sau sinusale;
cand starea generala a pacientului nu permite enucleerea chistului;
cand accesul dificil ar impiedica indepartarea completa a membranei chistice.
Avantajele metodei sunt reprezentate de simplitatea tehnicii operatorii, discomfortul postoperator minim al pacientului si posibilitatea conservarii structurilor anatomice invecinate. De asemenea, s-a constat reducerea caracterului agresiv al keratochisturilor odontogene in cursul marsupializarii.
Insa metoda prezinta si numeroase incoveniente:
este necesar un timp indelungat pentru vindecare si supraveghere;
la pacientii varstnici regenerarea osoasa este mult incetinita, iar inchiderea prematura a cavitatii chistice poate duce la recidive;
ramanerea unui fragment din membrana chistica prezinta riscul ipotetic de transformare ameloblastica sau maligna.
Chistectomia
Chistectomia, operatia Partsh II sau enucleerea este metoda de electie de tratament a chisturilor maxilare si consta in extirparea completa a membranei chistice. Cavitatea osoasa, umpluta cu cheag sanguin, este inchisa per primam prin sutura plagii. Atitudinea trebuie sa fie radicala fata de membrana chistica cu indepartarea in totalitate a acesteia, dar conservatoare fata de dinti si creasta alveolara. Chistectomia se aplica atat in chisturile de dezvoltare odontogene sau neodontogene, cat si in chisturile inflamatorii, atitudinea fata de dinti fiind adoptata in functie de gradul de distructie, deplasare si mobilitate.
Este indicata in:
chisturi mici, cu dimensiuni de 2-3 cm;
chisturi mai mari, daca examenul radiografic arata persistenta unui perete osos suficient de gros pentru a se putea evita fractura si lezarea structurilor anatomice invecinate.
Unul din dezavantajele majore ale chistectomiei era reprezentat de retractia cheagului sanguin in cavitatile osoase mai mari de 2 cm si intreruperea neoosteogenezei. Insa posibilitatea stabilizarii cheagului sanguin cu ajutorul buretilor hemostatici resorbabili de fibrina sau gealtina, imbibati in trombina sau umplerea cavitatii osoase cu materiale de substitutie autogene, alogene, xenogene sau aloplastice au extins indicatiile chistectomiei si in cazul chsiturilor voluminoase.
Avantaje:
vindecare per primam, a plagii osoase;
ingrijirea postoperatorie se incheie odata cu suprimarea firelor de sutura la 7-10 zile;
regenerarea osoasa nu este perceputa de catre pacient;
riscul de recidiva este redus;
examinarea intregii membrane chistice poate surprinde eventualele transformari ameloblastice sau neoplazice.
Dezavantaje:
infectia cheagului sanguin;
riscul de lezare a formatiunilor anatomice adiacente (dinti vecini vitali, germeni dentari, pachet vasculo-nervos dentar inferior, sinus maxilar, fose nazale).
Cura radicala In anumite situatii, la chisturile mari in care este previzibila dehiscenta plagii si implicit suprainfectia cheagului, unii autori combina cele doua tehnici si anume: realizeaza enucleerea chsitului, marsupializand ulterior cavitatea osoasa. Tehnica este cunoscuta ca enucleere sau cura radicala cu mesarea cavitatii osoase.
7. CLASIFICAREA CHISTURILOR MAXILARE
Avand in vedere diversitatea etiologiei si formelor anatomo-patologice ale chisturilor oaselor maxilare, au existat de-a lungul timpului numeroase clasificari ale acestora. Cea mai recenta clasificare a Organizatiei Mondiale de Sanatate (O.M.S.) din anul 1992, reactualizata si publicata in 2001, ofera o buna sistematizare a acestor entitati si este urmatoarea:
I. CHISTURI DE DEZVLOTARE
Chisturi odontogene
Keratochistul (chistul primordial);
Chistul folicular (dentiger);
Chistul de eruptie (hematomul de eruptie);
Chistul parodontal lateral (chistul odontogen botrioid);
Chistul gingival al adultului;
Chistul gingival(alveolar) al nou-nascutului;
Chistul odontogen calcificat (chistul Gorlin, chistul cu "celule fantoma");
Chistul odontogen glandular (chistul sialo-odontogen).
Chisturi neodontogene
Chistul nazo-palatin (chistul canalului incisiv);
Chistul median palatinal;
Chistul nazo-labial (nazo-alveolar);
"Chistul globulomaxilar";
"Chistul median mandibular".
II. CHISTURI INFLAMATORII
Chistul periapical: chistul radicular, chistul radicular lateral;
Chistul rezidual.
III. PSEUDOCHISTURI
Cavitatea osoasa idiopatica (chistul osos traumatic, simplu, hemoragic);
Chistul osos anevrismal;
Defectul osos Stafne.
Chisturile de dezvoltare provin din structuri epiteliale intraosoase remanente in urma dezvoltarii embriologice. Unele provin din celule epiteliale remanente din dezvoltarea dintilor (chisturile odontogene, cum ar fi keratochistul odontogen), din resturile epiteliale ale unor canale embrionare (chisturile neodontogene, cum ar fi keratochistul odontogen), din resturile epiteliale ale unor canale embrionare (chisturile neodontogene, cum ar fi chistul canalului nazo-palatin), sau din resturile epiteliale de la nivelul unor zone de fuziune in cadrul dezvoltarii viscerocraniului (chistul canalului tireoglos, chistul nazo-labial, chsitul branhial).
Chisturile inflamatorii, cum ar fi chistul radicular, par a avea la prima vedere un caracter inflamator, dar aceasta incadrare este in fapt artificiala. In aceste cazuri, reactia inflamatorie produce citokine si factori de crestere , care stimuleaza de fapt resturile epiteliale remanente din dezvoltarea dintelui (resturile epiteliale Malassez), acestea proliferand chistic.
Membrana epiteliala a chisturilor odontogene deriva in principal din trei tipuri de structuri reziduale ale formarii dintelui:
resturile Serres, care persista dupa dezintegrarea laminei dentare si care dau nastere keratochistului odontogen, precum si altor leziuni, cum ar fi chistul parodontal lateral sau chistul gingival;
epiteliul adamantin redus, derivat din organul smaltului si care acopera coroana unui dinte complet format, dar neerupt; din acesta deriva chistul folicular (dentiger), chistul de eruptie si o entitate mai rara numita chistul paradentar;
resturile Malassez, formate dupa dezintegrarea tecii epiteliale radiculare Hertwig; din aceasta deriva chisturile radiculare.
Asa - numitul chist osos traumatic, care este in fapt o cavitate osoasa, nu este un chist in adevaratul sens, deoarece nu prezinta o membrana epiteliala. Totusi denumirea a fost mentinuta, desi nu este un chist, si de altfel nici nu apare in legatura cu un traumatism. De aceea, termenul corect si actual este de cavitate osoasa idiopatica.
Chistul anevrismal este de asemenea un pseudochist, considerandu-se in prezent ca este o varianta de tumora osoasa cu celule gigante. Cavitatile acestei formatiuni sunt tapetate de pereti formati din fibroblasti si nu de epiteliu.
Dimpotriva, tumora odontogena adenomatoida prezinta un epiteliu acoperitor provenit din membrana radiculara Hertwig, fapt pentru care incadrarea corecta ar fi chist adenomatoid odontogen si nu de tumora sau hematom.
I. CHISTURI DE DEZVOLTARE
CHISTURI ODONTOGENE
KERATOCHISTUL ODONTOGEN (chistul primordial)
Conceptul de chist primordial a fost adeseori controversat sau a creat confuzii. In trecut se considera ca acest chist primordial rezulta prin degenerarea chistica a epiteliului organului adamantin, inaintea dezvoltarii structurilor dure dentare. Astfel, un chist primordial se dezvolta in locul unui dinte. In anul 1956 a fost introdus termenul de keratochist de catre Phipilsen, care s-a bazat pe aspectul histologic al membranei care prezinta cheratinizarea epiteliului. Keratochistul deriva din lamina dentara si are caractere clinice si histopatologice specifice.
Denumirea este astazi larg folosita, desi ulterior s-a constat ca si alte chisturi (periodontale, dentigere, reziduale etc) pot prezenta zone de keratinizare a membranei, fara ca, din punct de vedere clinic sa fie keratochisturi. Din cauza aceasta multi autori prefera termenul de chist primordial luand in considerare, mai ales, factorii patogenici. Dar, in cea mai recenta clasificare O.M.S., se prefera - keratochist odontogen.
Keratochistul (chistul primordial) este o varietate de chist care intereseaza femeile in proportie de 42% si barbatii in proportie de 58%, localizat mai frecvent la mandibula in regiunea molara, cu evolutie catre ramul ascendent, fara insa ca localizarile la nivelul corpului sau la nivelul arcului mentonier sa fie o exceptie. S-ar parea ca la maxilar localizarea in zona incisivo-canina este mai frecventa.

Fig.10 Cea mai frecventa localizare a keratochisturilor.
Patogenie. Keratochistul odontogen reprezinta o serie de particularitati de ordin anatomo-clinic, histopatologic si de evolutie.
Aproximativ doua treimi dintre keratochisturile odontogene deriva din resturile Serres sau din celulele bazale ale epiteliului oral (asa numitul keratochist odontogen primordial, dezvoltat in locul unui dinte). Restul de o treime deriva din epiteliul adamatin redus (keratochist odontogen dentiger, dezvoltat in jurul unui dinte). Forma primordiala are un caracter recidivant mult mai marcat.
Fig.11 Keratochistul primordial Fig.12 Keratochistul dentiger.
Se pare ca mecanismul de dezvoltare al keratochistului nu este cel obisnuit, legat de cresterea presiunii osmotice intrachistice, ci se datoreaza unor factori de crestere incomplet elucidati de la nivelul peretelui chsitic. Chiar se considera ca keratochistul odontogen este o tumora benigna chsitica si nu un chist propriu-zis.
Keratochisturile reprezinta aproximativ 5-10% din totalul chisturilor odontogene. Apar mai ales la adolescenti si tineri, fiind ceva mai frecvente la sexul masculin.
Cel mai frecvent, se localizeaza la mandibula, in special in dreptul molarului trei; la maxilar, pot aparea in dreptul molarului trei sau uneori in dreptul caninului.
Pot fi prezente si la copii, de obicei in sindromul Gorlin, care este asociat cu nevomatoza bazocelulara, modificari vertebrale, nervoase, oculare si psihice, in acest caz keratochisturile pot fi multiple, prezente simultan sau aparand in diferite localizari, la intervale de cativa ani. Are un caracter ereditar cu transmitere dominant autosomala.

Fig.13 Ortopantomografia unui pacient cu sindrom Gorlin, ce prezinta multiple radiotransparente mandibulare, corespunzatoare keratochisturilor.
Anatomie patologica. Diagnosticul de certitudine al keratochistului odontogen se stabileste in urma examenului histopatologic.
Histologic, se observa o cavitate chistica delimitata de o membrana conjunctiva subtire, formata din epiteliu pavimentos stratificat, care prezinta la nivelul membranei bazale proliferari ce produc atat cresterea chistului, dar care se si insinueaza in structurile osoase aparent saanatoase.
Pe suprafata epiteliului exista un strat orto sau parakeratinizat, celulele bazale sunt hipercromatice, cilindrice sau cubice, cu nuclei in palisada, iar continutul chistic este format dintr-un lichid clar, care contine keratina in cantitati variabile.
Exista, de asemenea, un strat de celule mucoide cu nuclei picnotici sau vezicule. Tendinta de crestere si liza osoasa a keratochistului s-ar parea ca se datoreste numarului mare de corpusculi Palade in interiorul celulelor endoteliale ce ar secreta interleukine osteolitice.
Nu este prezenta o reactie inflamatorie perilezionala, decat in cazul suprainfectarii.
Cat priveste capacitatea recidivanta a acestor chisturi, s-ar datora proliferarii epiteliale extensive in stratul conjunctiv care duce la formarea unor microchisturi care evolueaza in tesutul osos inconjurator. Toate aceste elemente justifica faptul ca, intrucat keratochisturile au o membrana foarte subtire, greu decolabila in totalitate, au o mare tendinta de recidiva.
O varianta histopatologica este keratochistul odontogen ortokeratinizat, care are o evolutie mai putin agresiva si o rata scazuta de recidiva.
Consideratii clinice. Keratochistul odontogen se poate prezenta intr-o multitudine de variante si dimensiuni. Unele sunt forme mici si uniloculare, altele sunt de mari dimensiuni, uniloculare sau multiloculare.
S-ar parea ca afectarea mandibula-maxilar este de 6/1. Sunt in genereal asimptomatice, dar pe masura ce evolueaza, induc mobilitatea dintilor adiacenti, precum si resorbtia progresiva a radacinilor acestora, insa fara a le afecta vitalitatea. Desi imping pachetul vasculo-nervos alveolar inferior spre bazilara mandibulei, nu induc tulburari senzitive in teritoriu. Durerea apare tarziu si nu este specifica.
Au tendinta de a se extinde mai mult in plan mezio-distal (de-a lungul medularei osoase, mai putin dense) si mai putin vestibulo-lingual (liza osului cortical, dens, aparand tardiv). Corticala deformata poate fi evidenta la palpare, prin crestere, chistul erodeaza osul si evolueaza in partile moi. In aceste cazuri, la punctie se aspira un continut alb laptos, uneori chiar mai legat, in care citologic se identifica cheratina. Liza corticalelor osoase se produce in zonele cu corticala mai subtire si mai putin densa (la maxilar in special spre vestibular, la mandibula spre lingual in zona laterala, si spre vestibular in zona anterioara si premolara). Uneori peretele chistic se poate perfora, continutul bogat in keratina patrunzand in structurile invecinate si provocand o reactie inflamatorie marcata, manifestata clinic prin durere si edem.
Consideratii radiografice. Keratochisturile apar sub forma unor leziuni osoase radiotransparente, cu limte nete, uneori cu un fenomen de corticalizare perilezionala. Pot fi uniloculare sau multiloculare (in special cele localizate in dreptul molarului trei mandibular). In aproximativ o treime dintre cazuri se evidentiaza un dinte neerupt, care este situat partial interlezional, avand un aspect practic identic cu cel al unui chist dentiger - in fapt poate fi vorba despre expresia radiologica a unui keratochist odontogen dentiger. Resorbtia radacinilor dintilor adiacenti, erupti pe arcada dentara, este frecventa.
In cazul leziunilor multilamelare, aspectul este asemanator cu cel al unui ameloblastom, diferentierea putandu-se face doar histologic.
Diagnostic diferential. Pe baza aspectului radiolografic, diagnosticul diferential se face in functie de forma anatomo-clinica.
Keratochistul odontogen dentiger trebuie diferentiat de:
- chistul folicular;
- chistul/tumora odontogena adenomatoida - pentru localizarile anterioare;
- ameloblastomul si fibromul ameloblastic.
Keratochistul odontogen primordial unilocular trebuie diferentiat de:
- chistul parodontal lateral;
- chistul rezidual;
- cavitatea osoasa idiopatica;
- chsitul/tumora odontogena adenomatoida-pentru localizarile anterioare;
- ameloblastomul si fibromul ameloblastic.
Keratochistul odontogen primordial multilocular are un aspect radiolografic diferit de cel obisnuit al unui chist, fiind mai degraba asemanator unei tumori. De aceea, diagnosticul diferential se face cu:
- ameloblastomul;
- mixomul odontogen;
- tumora centrala cu celule gigante;
- malformatiile arterio-venoase osoase centrale.
Tratamentul este chirurgical si consta de cele mai multe ori in chistectomie. Pentru formele de mari dimensiuni, se indica marsupializarea sau rezectia osoasa marginala sau chiar segmentara.
Chistectomia este indicata pentru un keratochist de dimensiuni relativ mici. Se impune indepartarea in totalitate a membranei chistice, pentru a reduce pe cat posibil riscul de recidiva. Este necesar un abord care sa permita o vizibilitate intraoperatorie optima, fiind adeseori necesar un abord cervical al mandibulei pentru cazurile care intereseaza unghiul si ramul mandibular. Daca corticala madibulara este neafectata, keratochistul nu invadeaza partile moi, fapt pentru care nu este necesara extirparea unei zone de tesut de la nivelul partilor moi adiacente. In schimb, in cazul keratochisturilor primordiale, se recomanda extirparea unei portiuni de mucoasa alveolara hiperkeratinizata, pentru a indeparta astfel alte resturi epiteliale cu potential de transformare in keratochist.
Dintii adiacenti pot fi mentinuti daca osul restant permite, dar este necesar chiuretajul atent al acestora, pentru a nu fi mentinute focare lezionale. Pachetul vasculo-nervos alveolar inferior va fi conservat, nefiind niciodata infiltrat.
Marsupializarea se poate practica in cazul keratochisturilor odontogene dentigere, in urma acestei interventii creandu-se totodata si posibilitatea eruptiei dintelui inclus la nivelul procesului chistic.
Rezectia osoasa marginala sau segmentara este indicata atunci cand au existat recidive multiple dupa chistectomie sau daca leziunea este de mari dimensiuni si a erodat corticala osoasa, fapt pentru care chiuretajul ar intrerupe continuitatea osoasa.
Desi extirpate complet, keratochisturile recidiveaza intr-o proportie care variaza in functie de autori intre 40-50% din cazuri, care se produce intre 2-17 ani, in special dupa chistectomie sau marsupializare. Recidiva s-ar parea ca se datoreaza fie friabilitatii membranei, fie existentei unor microchisturi adiacente membranei situate in osul aparent sanatos din jur.
Pe langa riscul aparitiei recidivei, exista un risc crescut de transformare a altor resturi epiteliale cu aceeasi localizare in keratochisturi independente.
Cat priveste malignizarea keratochisturilor, ea este controversata.
CHISTUL FOLICULAR (DENTIGER)
Este un chist care apare frecvent la nivelul oaselor maxilare, reprezentand aproximativ 20% din totalul chisturilor de dezvoltare.
Se dezvolta in legatura cu dintii ramasi in incluzie in grosimea maxilarelor. Apare cel mai frecvent la nivelul unghiului mandibular, in legatura cu un molar trei inclus sau semiinclus, se poate localiza si la nivelul caninului superior inclus, dar si la nivelul oricarui dinte neerupt (premolar, molar superior etc.). Afecteaza cel mai adesea adolescentii si tinerii, mai frecvent de sex masxulin.
Patogenie. Chistul folicular (denumit si chist dentiger) apare prin transformarea chistica a foliculului dentar care inconjoara coroana unui dinte neerupt. Inconjurand-o este intotdeauna atasat la jonctiunea smalt-cement a acestui dinte.

Fig.14 Chist folicular (prezentare schematica).
Macroscopic: Membrana dintelui se insera la coletul dintelui inclus, inconjurand coroana acestuia, situata intrachistic, radacina ramanand extrachistic. Uneori in cavitatea chistica, se pot gasi mai multi dinti complet dezvoltati sau rudimentari.
Microscopic: Chistul este acoperit cu un epiteliu pavimentos stratificat. Capsula conjunctiva, alcatuita din fibre de colagen, prezinta un grad moderat de inflamatie.
In cele mai multe cazuri, la nivelul capsulei conjunctive apar insule de epiteliu odontogen adamantin.
Desi sunt chisturi de dezvoltare, pot sa apara uneori in urma unor fenomene inflamatorii locale: procese inflamatorii periapicale cronice ale dintelui decidual supraiacent sau fenomene repetate de pericoronarita a unui dinte semiinclus (in special molarul trei madibular).
Anatomie patologica. Membrana chistica are caracteristic faptul ca este relativ groasa, spre deosebire de keratochistul odontogen dentiger, la care este subtire.
Uneori este dificil de stabilit histopatologic diferenta intre un sac folicular marit si unul transformat chistic. Examenul histopatologic releva un perete chistic alcatuit dintr-o membrana epiteliala formata din 2-4 straturi de celule epiteliale nekeratinizate, inconjurata de un strat conjunctiv fibros cu continut crescut de glicozaminoglicani si cu insule de resturi epiteliale odontogene aparent incative.

Fig.15 Prezentare schematica a unui chist folicular.
Consideratii clinice. Chistul folicular de mici dimensiuni este practic asimptomatic (cu exceptia lipsei dintelui erupt pe aracada), fiind descoperit de multe ori intamplator in urma unui examen radiolografic. In evolutie, creste in dimensiuni, putand ajunge sa depaseasca cativa centimetri in diametru, si in situatii rare sa erodeze corticalele osoase. Trebuie retinut faptul ca in general o formatiune cu aspect de chist dentiger, dar care are dimensiuni mari si ajunge sa deformeze partile moi, este de fapt un keratochist odontogen dentiger sau un ameloblastom.
Manifestarea clinica cea mai zgomotoasa apare atunci cand chistul folicular se suprainfecteaza, fie prin comunicarea cu mediul oral in cazul unui dinte semiinclus, fie de la un proces infectios periapical al unui dinte decidual supraiacent.
Chistul dentiger al molarului 3 mandibular evolueaza in unghi si ramul ascendent. Poate fi voluminos, iar molarul inclus poate fi deplasat in diferite directii.
Chistul dentiger al caninului superior este de dimensiuni mai reduse, evolueaza in directii diferite, in raport cu sediul coroanei, dar poate eroda podeaua fosei nazale si chiar sinusul maxilar.
Consideratii radiografice. Aspectul tipic pentru o forma de mici dimensiuni este de radiotransparenta uniloculara, care inconjoara coroana unui dinte inclus sau semiinclus si care se ataseaza la coletul dintelui. In evolutie, atasarea la coletul dintelui este relativa pe imaginea radiografica.
Radiotransparenta este bine delimitata, cu contur net, adeseori discret radioopac; in cazul in care a fost suprainfectat, limitele chistului par mai putin nete. Trebuie avut in vedere faptul ca exista o serie de variatiuni ale acestui aspect radiografic.

Fig.16 Radiotransparenta Fig.17 Radiotransparenta corespunzatoare
corespunzatoare unui chist folicular unui chist folicular al molarului 1.8
(dentiger) al caninului superior.
Varianta cu extensie laterala este prezenta in cazul unui molar de minte inferior semiinclus, in care radiotransparenta intereseaza doar portiunea distala a dintelui, spre ramul mandibular.
Varianta cu extensie vestibulara apare in contextul unui molar de minte inferior semiinclus, incat imaginea radiografica este de radiotransparenta uniloculara suprapusa peste bifurcatia radacinilor acestui dinte. Aceasta varianta a fost denumita si chist paradentar sau chist vestibular de bifurcatie, considerat de unii autori ca entitate clinica separata, cu localizare la nivelul primului molar sau molarului trei inferior.
Varianta "circumferentiala" se prezinta ca o radiotransparenta care se extinde spre apical, nerespectand jonctiunea amelo-dentinara a coletului dentar, sau poate chiar circumscrie radiografic dintele. In cazul chisturilor foliculare de mari dimensiuni, aspectul poate fi aparent multilocular, dar acesta se datoreaza unor trabecule osoase restante, suprapuse peste radiotransparenta chistului.
Chistul folicular poate deplasa semnificativ dintele de la nivelul caruia deriva, in special pentru formele circumferentiale de mari dimensiuni. De asemenea, poate deplasa dintii adiacenti cu care vine in contact, sau poate induce resorbtia radiculara a acestora.
Diagnostic diferential. Se poate face cu:
keratochistul odontogen dentiger;
ameloblastomul;
fibromul ameloblastic;
chistul/tumora odontogena adenomatoida - pentru localizarile anterioare.
Tratament. Tratamentul chistului folicular consta in chistectomia si odontectomia dintelui semiinclus sau inclus.

Fig.18 Chist folicular si dintele cauzal (in vitro).
In unele situatii, daca se considera ca este necesara si totodata posibila eruptia dintelui respectiv pe arcada, se poate conserva dintele dupa chistectomie si chiuretajul complet al insertiei la nivelul coletului dintelui.
Pentru chisturile foliculare de mari dimensiuni, se poate practica intr-o prima etapa marsupializarea, care va determina reducerea progresiva a volumului chistului, dupa care intr-o etapa chirurgicala ulterioara, se va practica chistectomia.
Chisturile foliculare de mari dimensiuni, extinse spre bazilara mandibulei, necesita uneori o chistectomie cu abord cervical.
* Recidivele chistului folicular sunt rare dupa indepartarea completa. Prezinta un risc moderat de transformare in ameloblastom. Sunt intalnite rare cazuri de transformare a epiteliului chistic in carcinom spinocelular, sau al celulelor glandelor mucoase in carcinom mucoepidermoid.
CHISTUL DE ERUPTIE
Chistul de eruptie (numit si hematom de eruptie) este analogul la nivelul partilor moi al chistului folicular. Apare in cazul unui dinte in eruptie, aflat submucos, prin separarea foliculului dentar de suprafata coroanei dintelui.

Fig.19 Chist de eruptie (prezentare schematica).
Apare cel mai frecvent in contextul eruptiei dentitiei temporare (la copilul mic), sau a incisivilor superiori sau a molarilor permanenti (la copii de 6-8 ani).
Fig.20 Chist de eruptie. Fig.21 Chist de eruptie.
Poate sa apara si la adulti, in contextul unui dinte semiinclus.

Fig.22 Prezentare schematica a formarii unui chist de eruptie in cazul molarului trei mandibular semiinclus. a)Infectia b) Inghesuirea si afectarea dintelui vecin c)Chist de eruptie.
Anatomie patologica. Examenul histopatologic este rareori efectuat pentru chisturile de eruptie. Pe fata mucozala a chistului, mucoasa orala poate prezenta un infiltrat inflamator. Epiteliul care tapeteaza chistul de eruptie este de tip pavimentos nekeratinizat, subtire. Continutul chistic este adesea hematic.
Consideratii clinice. Se prezinta sub forma unei leziuni cu aspect chistic, localizata in dreptul dintelui in eruptie. Mucoasa crestei alveolare, care il acopera, este intacta, dar intinsa si subtiata, lasand sa transpara hematomul acumulat sub sacul folicular, ceea ce ii confera prin transparenta o culoare albastruie. La palpare, are o consistenta fluctuenta si este discret dureros.
Ceea ce alarmeaza este deformarea mucoasei gingivale, care acopera coroana dintelui pe cale de eruptie si coloratia albastruie care poate sugera existenta unei tumori maligne.
Consideratii radiografice. Se evidentiaza dintele in eruptie, care a perforat corticala crestei alveolare, fara a fi vizibile modificari de ordin patologic.
Diagnostic diferential. Avand in vedere caracteristicile chistului de eruptie, diagnosticul diferential nu ridica in general probleme, putand fi rareori confundat cu un hematom post-traumatic al crestei alveolare sau cu o malformatie vasculara de mici dimensiuni. Coroborarea varstei pacientului cu data normala a eruptiei eventualului dinte si examenul radiografic precizeaza diagnosticul.
Tratament. Avand in vedere evolutia spre marsupializare spontana in cavitatea orala, urmata de eruptia normala a dintelui, in general nu necesita nici un tratament. Se va recomanda mentinerea unei bune igiene orale pentru a evita suprainfectarea.
In cazuri rare, este necesara marsupializarea chirurgicala a acestor chisturi, prin incizie cu evacuarea continutului chistic si excizia unei mici portiuni de mucoasa "in felie de portocala". Aceasta va permite eruptia dintelui fara alte complicatii.
CHISTUL PARODONTAL LATERAL
Chistul parodontal lateral este un chist primordial derivat din resturile epiteliale Malassez, situate la nivelul limbusului osos interdentar sau interradicular. Alte studii arata faptul ca deriva din resturile lamei dentare - Serres.
Apare cel mai frecvent la adultii tineri, cu predilectie la sexul masculin. Este localizat in special la mandibula, dar poate sa apara si la maxilar. Se gaseste cel mai adesea in spatiul interdentar de la nivel premolar sau canin, insa localizarile la alti dinti nefiind exceptionale.
Anatomie patologica. Chistul parodontal lateral prezinta un perete subtire, fara caracter inflamator, format dintr-un strat fibros si un epiteliu cu 1-3 straturi de celule pavimentoase sau cubice. La nivelul stratului epitelial se pot identifica focare de celule clare bogate in glicogen, acestea putand fi prezente si in stratul fibros.
Chistul botrioid se prezinta sub forma unei grupari de chisturi de mici dimensiuni, cu caracteristici similare celor descrise mai sus si separate prin septuri fibroase subtiri.
Consideratii clinice. Chistul parodontal lateral este un chist mic cu perete subtire si este in general asimptomatic, fiind identificat intamplator la un examen radiografic. Dintii adiacenti sunt vitali si nu sunt mobili.
O varianta anatomo-clinica polichistica este chistul botrioid. Este expresia unor multiple focare chistice parodontale laterale de mici dimensiuni.
Fig.23 Chist parodontal lateral. Fig.24 Chist "botrioid".
Consideratii radiografice. Imaginea radiografica este de radiotransparenta interdentara in forma de "pictura", cu dimensiuni mai mici de 1 cm, dar radiografic se poate evidentia divergenta radacinilor, dintilor adiacenti, fara resorbtie radiculara.
Fig.25 Radiotransparenta corespunzatoare Fig 26 Radiotransparenta corespunzatoare
unui chist parodontal lateral. unui chist "botrioid".
In cazul chistului botrioid, imaginea radiografica este de radiotransparenta multiloculara cu aspect de "ciorchine de struguri" (aspect botrioid).
Diagnostic diferential. Se face cu:
- chistul radicular lateral;
- keratochistul odontogen primordial;
- parodontita marginala cronica profunda;
- chistul folicular;
- tumori benigne osoase cu radiotransparenta osoasa;
- tumori maligne endoosoase.
Tratament. Tratamentul de electie este chistectomia cu conservarea dintilor adiacenti, dupa chiuretarea completa a leziunii de la nivelul radacinilor acestora.
Recidivele sunt rare si apar de obicei in cazul formelor botrioide.
Transformarea maligna este exceptionala.
CHISTUL GINGIVAL AL ADULTULUI
Chistul gingval al adultului reprezinta expresia clinica la nivelul partilor moi a chistului parodontal lateral. Apare prin transformarea chsitica a resturilor lamei dentare (resturile Serres) de la nivelul parodontiului marginal.
Localizarea cea mai frecventa este in gingia vestibulara din dreptul dintilor premolari.

Fig.27 Chistul gingival al adultului (prezentare schematica).
Anatomie patologica. Aspectul histopatologic este asemanator cu cel al chistului parodontal lateral. Deci, prezinta un perete subtire, fara caracter inflamator, format dintr-un strat fibros si un epiteliu cu 1-3 straturi de celule pavimentoase sau cubice. La nivelul stratului epitelial se pot identifica focare de celule clare bogate in glicogen, acestea putand fi prezente si in stratul fibros
Consideratii clinice. Se prezinta ca o formatiune chistica de mici dimensiuni (sub 1 cm), situata in dreptul papilei interdentare, sau chiar si pe creasta edentata. Mucoasa acoperitoare este intacta, dar prin transparenta lasa sa se vada o coloratie albastruie.

Fig.28 Chist gingival al adultului.
Fig.29 Chist gingival al adultului. Fig.30 Chist gingival al adultului.
Consideratii radiografice. Radiografic nu se evidentiaza resorbtie osoasa.
Diagnostic diferential. Diagnosticul diferential al chistului gingival al adultului se face cu:
- hiperplazii gingivale "epulis-like";
- abcesul parodontal.
Tratament. Se practica chistectomia simpla, cu vindecare per secundam a defectului de parti moi.
Daca este extirpat in totalitate, nu apar recidive.
CHISTUL GINGIVAL (ALVEOLAR) AL NOU-NASCUTULUI
Chisturile gingivale (alveolare) ale nou-nascutului deriva din resturile Serres ale laminei dentare. Sunt formatiuni chistice cu incidenta crescuta, care sunt prezente la jumatate din nou-nascuti. Sunt chisturi mici, superficiale, pline cu keratina, situate pe mucoasa alveolara la nou-nascut.
Anatomie patologica. Chistul prezinta un epiteliu subtire, cu o suprafata parakeratozica. Cavitatea chistica contine detritusuri keratinice.
Consideratii clinice. Chistul gingival (alveolar) al nou-nascutului mai este descris si ca nodulul Bohn.
Se prezinta sub forma unor papule unice sau multiple, albicioase, situate pe arcada alveolara a sugarului observate, de regula, inainte de aparitia primilor dinti. Dimensiunile acestora sunt de 2-3 mm. Sunt complet nedurerosi, neafectand suptul.

Fig.31 Noduli Bohn.
Aceste formatiuni sunt considerate chisturi numai datorita aspectului histologic extrem de asemanator cu al chistului dentiger (folicular), intrucat, clinic, aspectul este nodular-exofitic.
Provin din resturile lamei dentare sau din folicul dentar temporar fara insa a avea legatura cu dintii.
Localizarea este mai frecventa pe creasta alveolara maxilara si mai rar pe cea mandibulara. In evolutie, membrana chistului se perforeaza, comunica cu cavitatea orala, si astfel printr-un fenomen de marsupializare spontana involueaza total pana la varsta de 3 luni. Din aceste motive, sunt destul de rar identificate si nu necesita un tratament specific.
O varianta clinica specifica o constituie chisturile palatinale ale nou-nascutului (perlele Epstein-Epstein`s Pearls), care sunt localizate la nivelul mucoasei palatinale, pe linia mediana, sau lateral, la nivelul fibromucoasei palatului dur sau a valului moale. In aceste cazuri, deriva din fuziunea proceselor palatinale sau ale mugurilor nazali sau maxilari.

Fig.32 Chist gingival al nou-nascutului.
Consideratii radiografice. Indiferent de localizare, chisturile gingivale sau palatinale ale nou-nascutului nu prezinta modificari osoase subiacente evidentiabile radiografic.
Diagnostic diferential. Avand in vedere prezenta la nastere a acestor chisturi si caracterele clinice si evolutive specifice (chisturi multiple, involutie spontana in primele luni de viata), diagnosticul diferential se poate face cu :
- granulomul (epulisul) congenital, care au aspect reliefat, dimensiuni mai mari, consistenta ferma;
formatiuni tumorale sau inflamatorii care, de regula, afecteaza alimentatia sugarului si, implicit, starea generala.
Tratament.
Deoarece involueaza spontan in primele trei luni de viata, sau este penetrat de dintii temporari subiacenti, nu necesita tratament specific.
CHISTUL ODONTOGEN CALCIFICAT
Descris in 1962 de Gorlin care l-a asemanat cu epiteliomul calcificat Malherbe, de aceea mai este numit si chistul Gorlin. Este o forma de chist odontogen foarte rara. Apare mai frecvent pe partea anterioara a mandibulei, dar poate fi gasit si in alte zone ale maxilarelor, la orice varsta, fiind insa situat juxtaosos.
Este considerat de natura chistica, desi unii autori recomanda incadrarea sa ca formatiune tumorala benigna. Intr-adevar, unele forme sunt pur chistice, in timp ce altele, cum ar fi tumorile dentinogene cu "celule fantoma" nu au caracater chistic, ci tumoral, in evolutie infiltrand tesuturile inconjuratoare. Se asociaza uneori cu alte tumori odontogene, cum ar fi odontoame, tumora odontogena adenomatoida sau ameloblastomul
In majoritatea cazurilor se localizeaza intraosos, alteori putand evolua sub forma periferica, extraosoasa.

Fig 33 Chist odontogenic calcificat (prezentare schematica).
Anatomie patologica. In cele mai multe cazuri, forma chistica a acestei leziuni este relevata de examenul histopatologic. Prezinta o capsula fibroasa si un epiteliu odontogen de acoperire, format din 4-10 straturi de celule. Celulele bazale, ale stratului epitelial sunt cubice sau cilindrice, cu aspect asemanator ameloblastelor. Caracteristica este prezenta unui numar variabil de "celule" fantoma" in stratul epitelial - acestea sunt celule epiteliale modificate, care isi mentin forma, dar isi pierd nucleii.
Consideratii clinice. Forma extraosoasa se prezinta sub forma unei mase gingivale, sesile sau pediculate, fara caractere clinice specifice.
Se manifesta ca o tumefactie nedureroasa situata pe os intr-o depresiune cu peretii bine conturati. Durerea poate sa apara cand se suprainfecteaza.
Forma endoosoasa are dimensiuni moderate, de 2-4 cm, fiind insa citate si forme de mari dimensiuni. Este identificata intamplator in urma unui examen radiografic.
Asimptomatice, fiind situate intre radacinile dentare. Cand cresc in dimensiuni pot produce deplasari si resorbtii radiculare. La copii, poate afecta eruptia dintelui vecin.
Consideratii radiografice. Forma endoosoasa in stadiile initiale este complet radiotransparenta, dar in evolutie dezvolta calcificari centrale, bine circumscrise, cu alternanta radiotransparentei cu radioopacitate. Astfel, se poate prezenta radiografic ca o radiotransparenta de obicei uniloculara, bine delimitata, alteori poate avea aspect multilocular. Pe fondul acestei radiotransparente, in unele cazuri se pot identifica central radioopacitati cu aspectul unor calcificari neregulate (aspect de "sare si piper", sau de "valatuci" sau de "soare rasare"), sau chiar al unor structuri dentare rudimentare.
Diagnostic diferential. In functie de localizare si aspect radiografic, diagnosticul diferential este diferit:
Forma endoosoasa uniloculara fara calcificari trebuie diferentiata de:
- keratochistul odontogen primordial;
- chistul parodontal lateral;
- chisturi neodontogene;
- chistul radicular lateral;
- chistul/tumora odontogena adenomatoida
Forma endoosoasa cu prezenta calcificarilor trebuie diferentiata de:
- unele forme de chisturi/tumori odontogene adenomatoide, cu aspect similar;
- odontom;
- fibromul osifiant;
- tumora odontogena epiteliala calcificata;
Forma extraosoasa trebuie diferentiata de:
- hiperplaziile "epulis-like";
- fibroame gingivale;
- tumora odontogena epiteliala calcificata extraosoasa.
Tratament. Leziunea nu prezinta in general o evolutie agresiva. Tratamentul consta in simpla chistectomie a formelor extraosoase.
Riscul de recidiva este redus. Dar atunci cand exista se poate recurge la rezectie de maxilar.
CHISTUL ODONTOGEN GLANDULAR
(CHISTUL SIALO-ODONTOGEN)
Chistul odontogen glandular este o entitate anatomo-patologica rara si recent inclusa in cadrul entitatilor chistice ale oaselor maxilare. Deriva din resturile epiteliale odontogene, dar prezinta si elemente histopatologice cu aspect glandular, fapt care este explicabil cel mai probabil prin caracterul pluripotential de transformare a epiteliului odontogen.
Anatomie patologica. Peretele chistic este format dintr-un epiteliu pavimentos stratificat, de grosime variabila si un strat conjunctiv fibros, jonctiunea epitelio-conjunctiva neavand aspect papilar. Stratul fibros nu prezinta in general componenta inflamatorie. La nivelul stratului epitelial se pot identifica depozite mucinice si celule glandulare mucoase.
Aspectul histopatologic este pe alocuri asemanator unui carcinom mucoepidermoid slab diferentiat, cu caracter chistic.
Consideratii clinice. Apare la adulti, si extrem de rar la adolescenti. In majoritatea cazurilor afecteaza mandibula, in zona anterioara. Dimensiunea chistului variaza de la milimetri pana la leziuni de mari dimensiuni, care induc o liza osoasa extinsa. Initial sunt asimptomatice, dar in evolutie induc jena dureroasa, parestezii si pot eroda corticalele osoase. Evolutia este relativ rapida, leziunea chistica avad un caracter agresiv local.
Consideratii radiografice. Prezinta radiotransparenta uniloculara, dar in majoritatea cazurilor multiloculara, avand marginile bine delimitate si un contur radioopac, care denota scleroza periferica.
Diagnostic diferential. Chistul odontogen glandular se diferentiaza de:
- ameloblastom;
- keratochistul odontogen multilocular;
tumori sau malformatii vasculare osoase;
- tumori maligne endoosoase.
Tratament. Ca si tratament este indicata chistectomia si chiuretajul atent al osului restant.
Riscul de recidiva este de peste 30% dintre cazuri. Datorita caracterului agresiv si recidivant, uneori este necesara rezectia osoasa marginala sau chiar segmentara.
CHISTURI NEODONTOGENE
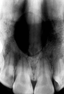
CHISTUL NAZO-PALATIN (chistul canalului incisiv)
Chistul nazo-palatin este cel mai frecvent chist neodontogen al cavitatii orale. Este cunoscut si sub denumirea de chist median anterior al maxilarului sau chistul canalului incisiv. Se dezvolta in portiunea mediana intre radacinile incisivilor centrali. Se formeaza din celule epiteliale care se gasesc pe peretii canalelor incisive, din cauza aceasta, cavitatea chistica evolueaza de obicei in ambele canale.
Aceste chisturi pot evolua la orice nivel al canalului nazo-palatin, adica de la orificiul nazal pana la emergenta de la nivelul papilei incisive.
Poate sa apara la orice varsta, dar mai ales la persoanele de 40-60 de ani, cu predilectie la sexul masculin. Desi este un chist de dezvoltare, apare rareori la copii, in primii ani de viata.
Anatomie patologica. Epiteliul peretelui chistic poate fi de tip pavimentos stratificat, cilindric pseudostratificat sau cilindric ciliat, uneori fiind prezente mai multe tipuri de dispozitie a celulelor epiteliale in diferite zone ale membranei. Pot fi de asemenea si celule glandulare mucoase. In membrana chistului pot fi inglobate filetele terminale ale nervului nazo-palatin.
Consideratii clinice. O lunga perioada de timp poate fi asimptomatic. Poate fi descoperit intamplator in urma unui examen radiografic.
Apare o tumefactie palatinala la nivelul papilei incisive sau vestibular median, imediat sub insertia frenului buzei superioare. In evolutie ajunge sa deformeze palatul anterior, avand aspect similar unui abces palatinal situat pe linia mediana. Mucoasa acoperitoare poate fi integra sau poate prezenta o fistula prin care se elimina continutul chistic, bolnavii acuzand senzatia de gust sarat si hipoestezie a fibromucoasei palatine in 1/3 anterioara. Palparea este dureroasa si se constata fluctuenta. Alteori, exteriorizarea la nivelul partilor moi poate fi spre vestibular, in fundul de sant din regiunea frontala, deformand buza.
Prin suprainfectare secundara, tumefactia atat palatinala cat si vestibulara creste, fiind insotita de dureri violente. Initial incisivii centrali sunt vitali, insensibili la percutie, dar prezinta o inclinare convergenta a axei de implantare. Pe masura ce chistul se dezvolta, incisivii centrali isi pierd vitalitatea, consatanduse si inclinarea lor, fiind posibila si aparitia mobilitatii dentare.
Uneori evolutia este atat de lenta incat poate fi intalnit la varste foarte inaintate cand bolnavii sunt deja purtatori de proteze mobile.
Se descrie si o forma clinica mai rara, ce intereseaza strict partile moi, asa-numitul chist al papilei incisive.
Consideratii radiografice. Se evidentiaza o radiotransparenta de 1-2cm si mai rar de pana la 6 cm. Este bine delimitata, situata intre radacinile incisivilor centrali superiori, pe linia mediana sau imediat paramedian, fara a avea punctul de plecare de la nivel periapical. Radacinile acestor dinti sunt divergente si rareori cu fenomene de resorbtie radiculara. Imaginea radiografica este de "inima de carte de joc".

Fig.34 Radiotransparenta in forma de "inima de carte de joc"
ce corespunde unui chist nazo-palatin.
Diagnostic diferential. Uneori, in mijlocul acestei zone de radiotransparenta se poate proiecta spina nazala anterio-inferioara putand da nastere la confuzii in sensul presupunerii a doua chisturi radiculare pe ambii incisivi.
O eventualitate nu foarte rara o constituie prezenta unui chist dentiger a unui meziodens care poate prezenta simptomatologia clinica a unui chist nazo-palatin.
Ca punct de plecare de la unul sau ambii incisivi centrali superiori poate fi un chist radicular.
Pentru formele de chist nazo-palatin de mici dimensiuni, trebuie diferentiat de canalul incisiv normal.
Tratament. Tratamentul chsitului canalului nazo-palatin consta in chistectomie simpla, de obicei prin abord palatinal.
Dupa extirparea completa, nu apar recidive. Riscul de transformare maligna este extrem de mic.
CHISTUL MEDIAN PALATINAL
Este un chist "fisural" rar intalnit care isi are originea in resturile epiteliale restante la nivelul zonei de fuziune embriologica a lamelor orizontale ale oaselor palatine. Este similar unui chist nazo-palatin localizat spre posterior in palat si adeseori se confunda cu acesta.
Anatomie patologica. Peretele chistic este reprezentat de epitelu pavimentos stratificat. Sunt uneori prezente zone de epiteliu cilindric pseudostratificat ciliat. De asemenea poate fi prezent un infiltrat inflamator perilezional.
Consideratii clinice. Se prezinta sub forma unei deformatii la nivelul palatului dur, posterior de papila incisiva, pe linia mediana, cu dimensiuni de aproximativ 2 cm.

Fig.35 Chist median palatinal
Consideratii radiografice. Radiografic se evidentiaza o radiotransparenta bine circumscrisa in palat pe linia mediana. Poate induce divergenta incisivilor centrali superiori.
a
b
c
Fig.36(a,b,c) Radiotransparente corespunzatoare unor chisturi mediane palatinale.
Diagnostic diferential. O radiotransparenta interincisiva fara manifestare clinica reprezinta de obicei un chist nazo-palatin.
Tratament. Tratamentul consta in chistectomie.
Riscul recidivelor este mic.
CHISTUL NAZO-LABIAL
Este un chist care apare extrem de rar, la nivelul buzei superioare, paramedian. Patogenia sa este inca incerta, se considera ca este vorba de transformarea chistica a unor resturi de epiteliu distopic al canalului nazo-lacrimal. Alti autori considera ca este vorba despre un chist "fisural", derivat din resturile epiteliale embrionare restante la nivelul liniei de fuziune intre mugurele maxilar si cel nazal lateral. Nu are componenta osoasa.
Anatomie patologica. Epiteliul membranei chistice este cilindric pseudostratificat neciliat si poate contine celule glandulare mucoase. Alteori se evidentiaza si epiteliul pavimentos stratificat. La exterior, peretele chistic prezinta un strat fibros.
Consideratii clinice. Apare mai frecvent la sexul feminin, la persoanele adulte, prezentand dimensiuni relativ mici, nedureros, situat in grosimea buzei superioare, paramedian, spre aripa nasului. Sunt si cazuri in care se prezinta bilateral.
Poate deforma regiunea, insa nemodificand tegumentul acoperitor. Se localizeaza de obicei superficial de planul muscular, dar poate deforma semnificativ santul vestibular superior. Uneori poate cauza discrete tulburari de respiratie pe narina de partea afectata sau poate afecta stabilitatea unei proteze mobilizabile la edentati.
Consideratii radiografice. Nu sunt evidente modificari osoase, uneori putand fi prezenta o liza osoasa prin presiunea exercitata de un chist nazo-labial cu evolutie indelungata.
Diagnostic diferential. Se face cu:
- abcesul vestibular cu punct de plecare incisiv superior sau abcesul spatiului canin;
- chistul sebaceu, chistul epidermoid sau chistul cu incluzii epidermale;
- tumori benigne sau maligne ale glandelor salivare mici labiale superioare.
Tratament. Tratamentul consta in chistectomie pe cale orala. Uneori, este necesara si excizia unei portiuni de fibromucoasa a planseului nazal, daca chistul adera de acesta.
Daca este extirpat complet nu apar recidive.
"CHISTUL GOBULOMAXILAR"
Chistul globulomaxilar este expresia clinica si radiografica a unui chist radicular (periapical sau lateral), a unui chist parodontal lateral, a unui keratochist odontogen etc. Practic, nu exista ca entitate clinica si anatomo-patologica de sine statatoare, de aceea se pledeaza pentru renuntarea la acest termen. In realitate este inca mentinuta.
Este un chist endoosos situat intre incisivul lateral si caninul superior si mai rar intre incisivul central si lateral superior. Initial este asimptomatic, dar in evolutie se poate exterioriza la nivelul partilor moi din fundul de sant vestibular sau in palat, sub forma unei deformari dureroase si fluctuente.
Imaginea radiografica ne releva o radiotransparenta la nivelul maxilarului, intre dintii numiti, radacinile acestora fiind divergente, iar uneori pot prezenta fenomene de rezorbtie radiculara.
Anatomia patologica, tratamentul si evolutia sunt in concordanta cu forma anatomo-patologica a carei expresie clinica o prezinta.

Fig.37 Radiotransparenta la nivelul maxilarului, corespunzatoare unui
"chist globulomaxilar"
"CHISTUL MEDIAN MANDIBULAR"
Chistul median mandibular reprezinta expresia clinica a unui chist radicular cu punct de plecare de la nivelul incisivilor inferiori, cu toate caracterele clinice, radiografice, histopatologice, de evolutie si tratament ale acestuia.

Fig.38 Ortopantomografia unui pacient ce prezinta o radiotransparenta in zona mediana mandibulara, corespunzatoare unui "chist median mandibular".
II. CHISTURI INFLAMATORII
CHISTUL RADICULAR
Chistul radicular este un chist inflamator endoosos care inconjoara apexul unui dinte devital, ca o complicatie a patologiei dentare (carie dentara, pulpita, gangrena pulpara, granulom periapical si ulterior chist radicular).
In evolutie, caria dentara ajunge sa deschida camera pulpara, iar germenii patrund si produc inflamatia continutului acesteia (pulpita), ajungand in final sa produca necroza septica a pulpei dentare sau gangrena aseptica. Procesul infectios se extinde de la nivelul pulpei dentare, prin foramenul apical, in spatiul parodontiului apical, format intre suprafata apexului dentar si corticala interna a osului alveolar care urmareste conturul dintelui (lamina dura) - astfel se produce parodontita apicala. Aceasta poate evolua acut, spre abces, sau poate avea caracter cronic, formandu-se un tesut de granulatie cu caracter inflamator, numit granulom periapical. Granulomul periapical poate dezvolta o pseudomembrana conjunctiva. In evolutie, inflamatia cronica periapicala stimuleaza transformarea chistica a resturilor epiteliale Malassez, sau chiar si a altor structuri epiteliale invecinate (cum ar fi membrana sinusului maxilar), fapt care duce la transformarea granulomului periapical in chist radicular, prin mecanismul "cercului vicios" care sta la baza formarii oricarui chist.
Chistul radicular este cel mai frecvent chist din patologia oaselor maxilare si prezinta trei forme anatomo-clinice, in functie de localizare si evolutie: chistul periapical, chistul lateral periodontal si chistul rezidual.
CHISTUL PERIAPICAL (RADICULAR)
Chisturile radiculare (periapicale) sunt cavitati patologice marginite sau captusite cu epiteliu, care contin material fluid sau semifluid.
Chisturile radiculare sunt cele mai frecvente leziuni chistale maxilare si provin din resturile epiteliale Malassez, care sunt stimulate de inflamatia periapicala a dintilor devitali.
Diagnosticul chisturilor radiculare se bazeaza pe examinarea clinica si radiografica, precum si pe punctia aspirativa a continutului formatiunii chistice.
Mai predispus fiind sexul masculin, iar varsta cea mai afectata fiind barbatii intre 30-40 de ani si femeile intre 20-30 de ani. Este foarte rar intalnita pana la varsta de 10 ani, deoarece se dezvolta rar in raport cu dintii deciduali. Localizarea este mai frecventa la maxilar decat la mandibula.
Anatomie patologica. Marimea unui chist odontogen este foarte variabila, de la 1cm, la 7-8cm, in raport cu stadiul evolutiv, putand interesa unul sau mai multi dinti.
Initial, chistul are forma sferica, ulterior, evoluand in directia minimei rezistente, forma sa se poate schimba.
Peretele chistului periapical, in general usor decolabil pe planul osos, cand nu a prezentat fenomene supurative in antecedente, este alcatuit din trei straturi:
- exterior, este un strat conjunctiv dens si fibros, subtire, dar destul de rezistent;
- intermediar, o structura conjunctiva laxa, bogat vazcularizata. In acest strat sunt prezente focare inflamatorii de tip limfo-plasmocitar;
- stratul intern este format din epiteliu de tip pavimentos, care uneori poate prezenta unele insule keratinizate.
Infectia supraadaugata determina ingrosarea peretelui chistic, aderenta sa la peretele osos si hiperplazia sau distructia epiteliului.
Continutul chistului periapical este un lichid, cu aspect caracteristic sero-citrin, filant, continand cristale de colesterina si avand o presiune intrachistica mai mare decat presiunea capilara. Aspectul lichidului chistic se poate modifica, devenind socolatiu in cazul producerii unei hemoragii intrachistice sau purulent daca apare o infectie supraadaugata.
Consideratii clinice. Majoritatea chisturilor radiculare sunt initial asimptomatice in special cele de marime mica. Uneori prezinta semne indirecte, durere moderata la palpare in vestibulul bucal din dreptul apexului, sensibilitate la percutia in ax. Acestea sunt descoperite la examenul radiografic exceptand cazurile cand supureaza, apar dureri si alte simptome. Testele de vitalitate sunt intotdeauna negative.
Chisturile periapicale mari prezinta tumefiere vestibulara si mai rar linguala sau palatinala. Tumefactia se datoreaza expansiunii corticalei osoase, care se subtiaza si poate prezenta crepitatii. Daca osul este distrus complet, chistul este aderent de periost si mucoasa in aceasta arie apare rosiatica.
Evoluand si crescand in dimensiuni, formatiunea chsitica erodeaza corticala osoasa. La palpare in vestibul se percepe senzatia de "coaja de ou spart" (semnul lui Dupuytren). In final, chistul perforeaza corticala osoasa si se exteriorizeaza in partile moi, submucos. Palparea fiind dureroasa si se percepe o zona de fluctuenta.

Fig.39 Chist periapical (prezentare schematica).
Consideratii radiografice. Radiografic, chisturile radiculare se prezinta ca leziuni osteolitice sau radiotransparente, de forma rotunda sau ovala, cu margini radioopace bine delimitate. Cand se infecteaza, delimitarea radioopaca dispare.
Aspirarea continutului chistic. Pe langa examinarea clinica si radiografica, aspirarea continutului chistic poate fi o metoda valoroasa care ajuta la stabilirea diagnosticului. In chisturile mai mari de 1,5-2cm se poate practica punctia aspirativa. Prezenta continutului fluid exclude existenta unei formatiuni tumorale solide.
Diagnostic diferential. Se face cu majoritatea chisturilor osoase.
Tratament. Metoda de tratament poate fi influentata de mai multi factori, cum ar fi dimensiunea chistului si posibilitatea tratamentului conservator endodontic respectiv necesitatea extractiei acestuia.
Pentru chisturile de dimensiuni mici si medii, exista doua posibilitati terapeutice, in functie de starea dintelui/dintilor cauzali. Daca dintele cauzal este recuperabil, cu implantare buna, si daca mai putin de o treime din radacina este inclusa in formatiunea chistica, se va practica chistectomia. Daca este irecuperabil se practica extractia dentara si chsitectomia prin alveola postextractionala. Daca accesul este insuficient pentru indepartarea chistului, se va practica chistectomia prin abord vestibular.
Tehnica chirurgicala de chistectomie (enucleere) prin abord vestibular
Aceasta tehnica implica indepartarea completa a sacului chistic si vindecarea plagii per primam. Aceasta este cea mai satisfacatoare metoda de tratament a unui chist si este indicata in toate cazurile unde mebmrana chistica poate fi indepartata fara a leza dintii adiacenti si alte structuri anatomice.
Procedura chirurgicala pentru tratamentul unui chist prin enucleere include urmatoarele etape:
decolarea lamboului muco-periostal;
indepartarea osului si expunerea chistului;
enucleerea membranei chistice;
toaleta plagii si sututra.
Dupa determinarea radiografica a localizarii si a marimii chistului, se creeaza un lambou trapezoidal care trebuie sa se extinda atat cat sa ofere acces si vizibilitate adecvata a campului chirurgical.
Dupa decolarea muco-periostala, osul care acopera formatiunea chistica este evaluat si poate fi normal, subtiat sau complet distrus.
In cazul osului normal, se foloseste o freza globulara pentru a indeparta portiunea din tabla osoasa corticala vestibulara care acopera chistul si in functie de extinderea sa se foloseste si o freza cilindrica pentru a largi fereastra osoasa creata.
Fereastra osoasa trebuie sa fie suficient de larga astfel incat toate partile cavitatii chistice sa fie accesate si chiuretate fara dificultate.
Daca peretele osos este subtiat sau perforat, se indeparteaza periferic cu o freza cilindrica pana in os compact. Pentru indepartarea chisturilor mici se foloseste chiureta, in timp ce pentru indepartarea chisturilor mari este preferat decolatorul periostal.
Dupa indepartarea chistului se foloseste o chiureta pentru a inspecta cavitatea de prezenta unor resturi chistice, se iriga abundent cu ser fiziologic si se sutureaza lamboul.
Indepartarea chirurgicala a unui chist maxilar pe cale vestibulara.

Fig.40 Incizia pentru realizarea unui Fig.41 Decolarea lamboului si
lambou trapezoidal. expunerea campului chirurgical.

Fig.42 Indepartarea stratului osos de pe Fig.43 Fereastra osoasa
fata vestibulara corespunzatoare chistului. creata pentru expunerea chistului.

Fig.44 Indepartarea membranei chistice Fig.45 Campul operator dupa
din cavitatea osoasa cu ajutorul indepartarea formatiunii chistice.
pensei hemostatice si a chiuretei

Fig.46 Plasarea firelor de sutura.
In cazul chisturilor de dimensiuni mari care se extind catre sinusurile maxilare, dar la care se mentine o separatie osoasa minima intre peretele chistic si mucoasa sinusala, nu este necesara cura radicala a sinusului maxilar. Dar, in cazul cand chistul afecteaza mucoasa sinusala, se indica si cura radicala a sinusului maxilar.
Pentru chisturile mari de la mandibula, care prezinta risc crescut de fractura in os patologic, sau pentru cele maxilare cu extensie importanta in sinusul maxilar sau in fosele nazale, se poate opta pentru marsupializarea chistului, in asociere cu tratamentul conservator sau radical al dintelui.
Tehnica chirurgicala de marsupializare.
Aceasta metoda este folosita pentru indepartarea chirurgicala a chisturilor mari si necesita crearea unei ferestre chirurgicale intrun anumit loc deasupra formatiunii chistice.
Pentru a creea fereastra chirurgicala se face o incizie circulara, care include muco-periostul, stratul osos subiacent perforat si peretele chistic corespunzator.
Dupa aceasta procedura, continutul chistic este evacuat si se sutureaza periferic muco-periostul la peretele chistic prin fire separate.
Apoi cavitatea chistica este irigata cu ser fiziologic si umpluta cu o mesa iodoformata, care se indeparteaza la o saptamana impreuna cu firele de sutura. In timpul acestei perioade marginile plagii se vindeca, realizand o comunicare permanenta a cavitatii chistice cu cavitatea orala. Irigarea cavitatii chistice se practica de cateva ori pe zi, fiind mentinuta curata de resturi alimentare si previne o potentiala infectie.
Vindecarea plagii se face per secundam si epiteliul chistului se transforma in mucoasa orala.
Tratamentul unui chist mandibular prin metoda marsupializarii.

Fig.47 Incizie circulara ce include Fig.48 Expunerea tablei ososase
mucoasa si periostul. vestbibulara si indepartarea
stratului osos cu freza globulara
Fig.49 Largirea ferestrei
osoase cu Fig 50 Expunerea chistului dupa
clestele ciupitor de os. indepartarea stratului osos.

Fig.51 Sutura marginilor cavitatii la Fig.52 Mesarea cavitatii chistice.
membrana chistica.

Fig.53 Cavitatea chistica dupa inserarea mesei iodoformate.
CHISTUL RADICULAR LATERAL
Este o varianta rara a chistului radicular. Se dezvolta lateral fata de apexul unui dinte devital, la nivelul orificiului unui canal dentar aberant, a unei cai false sau a unei fracturi radiculare. Examinarea vitalitatii dentare ca si examenul radiografic precizeaza diagnosticul.

Fig.54 Chist radicular lateral (prezentare schematica).
Anatomie patologica. Are aceeasi structura morfologica cu a chistului periapical.
Consideratii clinice. Apare gingival, mai oral, de regula in gingie fixa.
Consideratii radiografice. Aspectul radiografic releva o radiotransparenta de mici dimensiuni localizata radicular lateral, de cele mai multe ori in limbusul osos interdentar sau mai rar interradicular.
Diagnostic diferential. Trebuie diferentiat de:
- chistul lateral periodontal de dezvoltare in care dintele adiacent este vital;
keratochistul odontogen primordial;
parodontopatia marginala cronica profunda.
Tratament. Atitudinea terapeutica este similara cu a chistului periodontal. Tinand cont de evolutia laterala a chistului, cu erodarea limbusului alveolar interdentar, implantarea acelui dinte cauzal poate fi compromisa, impunand extractia dentara si chistectomia prin alveola.
CHISTUL REZIDUAL
Ia nastere din chistul radicular care isi continua evolutia mai multi ani dupa extractia dintelui temporar sau permanent. Are o frecventa intre 3 si 13%. Se dezvolta, de obicei, din granulomul periapical care nu a fost chiuretat sau a unui chist radicular, sau periodontal chiuretat insuficient.
Dupa un timp de la cicatrizarea alveolara, granulomul sufera transformare chistica sau chistul extirpat incomplet isi continua evolutia. La inceput, chistul se gaseste localizat in dreptul alveolei din care s-a extras dintele cauzal, putandu-se ulterior extinde la mai multi dinti, iar la maxilar in sinus.
Imaginea radiografica a unui chist rezidual dupa un tratament endodontic are aspectul unui chist periapical localizat la un dinte cu obturatie de canal. La chistul rezidual dupa extractia dentara se prezinta radiografic, ca un chist radicular persistent la nivelul unei creste alveolare edentate, dupa vindecarea osoasa a alveolei postextractionale.

Fig.55 Chist rezidual, Fig.56, 57 Ortopantomografia si radiografia retroalveolara
aspect radiografic. a unui chist rezidual.
Diagnosticul diferential. Se face cu:
- chistul periapical, dintele nu este obturat;
- alte entitati chistice sau tumorale.
Tratament. Metoda terapeutica indicata pentru chistul rezidual este chistectomia (enucleerea).
III. PSEUDOCHISTURI
CAVITATEA OSOASA IDIOPATICA
A fost denumita si chist osos simplu, chiar osos hemoragic, chist osos solitar sau chist osos traumatic. Reprezinta o cavitate endoosoasa fara membrana, fapt pentru care este considerata un pseudochist cu etiologie incerta.
Cavitatea osoasa idiopatica nu are implicatie patologica si se localizeaza uneori la nivelul oaselor maxilare, dar si la nivelul altor oase (in special diafizele proximale ale oaselor lungi - femur, tibie).
Anatomie patologica. Peretele defectului osos prezinta un strat subtire de tesut conjunctiv sau fibromixomatos. Zonele osoase adiacente prezinta adeseori lacune Howship, sugestive pentru activitatea osteoclastica.
Consideratii clinice. Asimptomatica, fiind decelata intamplator in urma unui examen radiografic. Apare mai frecvent la pacientii cu varste cuprinse intre 10-20 de ani, mai ales la sexul masculin. Foarte rar apare la copii sub 10 ani sau la adultii peste 35 de ani. Se localizeaza mai adesea la mandibula, in zona premolara sau molara. Foarte rar pacientii acuza o senzatie dureroasa sau parestezie in teritoriul nervului alveolar inferior.
Consideratii radiografice. Aspectul radiografic releva o radiotransparenta bine delimitata, cu dimensiuni variabile de la 1cm la 10 cm. Uneori, radiotransparenta se insinueaza aparent printre radacinile dintilor, dand impresia ca apexurile dentare sunt incluse in formatiunea chistica. Dar, de fapt lamina dura este prezenta si integra in jurul respectivelor radacini. Acesti dinti sunt vitali si nu prezinta rezorbtie radiculara.
Diagnostic diferential. Se poate usor confunda cu oricare din entitatile chistice sau tumorale cu aspect de radiotransparenta. Este foarte adesea necesara explorarea chirurgicala pentru a evita o conduita terapeutica eronata.
Tratament. Se indica explorarea chirurgicala si chiuretajul peretilor ososi. Este absolut necesar examenul histopatologic al tesuturilor recoltate prin chiuretaj.
CHISTUL OSOS ANEVRISMAL
Chistul osos anevrismal este format din lacune vasculare intraosoase, separate de septuri fibroase. Etiologia este incerta. Se considera ca poate fi sau nu in legatura cu o leziune preexistenta, ca rezultat al tulburarilor hemodinamice locale.
La nivelul oaselor maxilare localizarea este rara, de 2% din totalul chisturilor anevrismale ale oaselor organismului. Apar mai frecvent la tineri.
Localizarea frecventa: la mandibula in zona posterioara a corpului mandibular.
Anatomie patologica. Microscopic se evidentiaza spatii lacunare pline cu sange necoagulat, delimitate de tesut conjunctiv bogat in fibroblasti, trabecule de osteoid si os imatur, fara a prezenta perete epitelial.
Consideratii clinice. Are aspectul unei deformari cu crestere relativ rapida, la care se asociaza durerea si paresteziile in teritoriul nervului alveolar inferior.
Consideratii radiografice. Aspectul radiografic este de radiotransparenta uniloculara sau multiloculara, care deformeaza si subtiaza corticalele osoase, dand un aspect "de balon". Apar deplasari ale dintilor adiacenti si resorbtie radiculara.

Fig.58, 59 Radiotransparente corspunzatoare pseuodochisturilor maxilare anevrismale.
Diagnostic diferential. Leziunea poate fi confundata cu orice entitate cu aspect radiotransparent, cu caracter chistic sau chiar tumoral sau cu celelalte pseudochisturi.
Tratament. Tratamentul consta in explorare chirurgicala si chiuretajul leziunii. Intraoperator se constata integritatea corticalei, iar dupa indepartarea unei portiuni de periost, leziunea are un aspect specific, de "burete cu sange".
Rata de recidiva este semnificativa, 30-40% dar, prognosticul este favorabil.
DEFECTUL OSOS STAFNE
O serie de radiotransparente , localizate in treimea posterioara a corpului mandibular, au fost descrise de Stafne in 1942. Aceasta radiotransparenta este corelata cu o varianta anatomica in care corticala interna a corpului mandibular in treimea posterioara sau in apropierea unghiului mandibular prezinta o concavitate care este expresia impresiunii glandei submandibulare. Defecte asemanatoare sunt intalnite destul de rar si in zona anterioara a corpului mandibular, prin impresiunea glandelor sublinguale.
Consideratii clinice. Glandele salivare nu prezinta nici un fel de modificari patologice si defectul osos Stafne nu induce niciun fel de simptomatologie. Uneori formatiunea intretaie bazilara mandibulei, putandu-se chiar palpa o discreta subtiere a bazilarei.
Consideratii radiografice. Este descoperit intamplator pe o radiografie panoramica, avand aspectul unei radiotransparente slab definite, situate de obicei sub canalul madibular, in zona molara sau a unghiului mandibular. Este bine delimitat, prezentand un contur bine definit, radioopac, aparent sclerotic.
In regiunea anterioara a corpului mandibular cand este localizat, se prezinta ca o radiotransparenta suprapusa peste apexurile dintilor anteriori ai mandibulei.

Fig.60 Radiotransparenta in zona madibulara posterioara ce releva
defectul osos Stafne.
Diagnostic diferential. Poate induce probleme importante de diagnostic, atat cu celelalte chisturi, cat si cu chisturile sau tumorile osoase cu caracter radiotransparent cu caracter unilocular. Prin investigatii suplimentare, de exemplu CT, se poate stabili natura radiotransparentei.
Tratament. Fiind vorba despre o varianta anatomica, nu este necesar niciun fel de tratament.
EVOLUTIA SI COMPLICATIILE CHISTURILOR MAXILARE
In stadiul intraosos cresterea in dimensiune a chisturilor se face lent. Cand este depasit osteoperiostul, chisturile devin evidente clinic si evolutia este mult mai rapida.
Complicatiile chisturilor pot fi:
Infectia chistului, este cea mai frecventa complicatie, care se face de la focarul de gangrena dentara pe calea canalului radicular, de la o punga parodontala adanca, printr-o punga postextractionala, printr-un traumatism, printr-o punctie exploratoare, printr-o incizie intempestiva si cel mai rar, pe cale hematogena.
Chisturile infectate produc fenomene inflamatorii, tumefactia creste, mucoasa si tegumentul se congestioneaza, apar dureri vii si stari febrile. Supuratia se poate deschide spontan, fistulizand. La explorare prin fistula, se patrunde intr-o cavitate endoosoasa.
Infectia chistului se poate extinde la maxilar producand osteite, osteomielite sau sinusita maxilara.
Fractura spontana "in os patologic" a mandibulei se poate produce, datorita resorbtiei progresive a osului care, subtiindu-se, cedeaza in urma unor traumatisme minime.
Ruperea peretelui chistic, se produce rar, chsitul deschizandu-se in cavitatea bucala, in sinusul maxilar sau in fosele nazale in care se evacueaza, ramanand fistule persistente.
Degenerescenta maligna a fost semnalata cu totul exceptional; este pusa pe seama iritatiilor cronice, indeosebi dupa extirparile incomplete sau dupa aplicari terapeutice de substante chimice cauterizante.
Recidivele, sunt cele mai frecvente complicatii. Se semnaleaza la majoritatea chisturilor extirpate incomplet.
PARTEA SPECIALA
Pentru a ne orienta in stabilirea unui diagnostic clinic, precum si a unui plan de tratament, avem nevoie sa cunoastem frecventa chisturilor maxilare, incidenta in functie de varsta, regiunea predilecta de localizare precum si manifestarea clinica si radiografica.
Chisturile maxilare reprezinta o categorie de leziuni osoase alcatuita din multiple entitati care prezinta aspecte clinice si radiografice asemanatoare dar si particulare.
Datorita manifestarii clinice si radiografice asemanatoare cu a chisturilor maxilare, multe alte leziuni ale oaselor maxilare sunt catalogate pozitiv si mult prea frecvent drept chisturi maxilare. Diagnosticul este foarte important datorita riscului crescut de recidiva si naturei agresive a unor subtipuri de chisturi.
1. MATERIALE SI METODE
In cadrul Clinicii de Chirurgie Oro-Maxilo-Faciala a Spitalului Municipal Timisoara am realizat un studiu pe o perioada de 3 ani 2004-2007. Studiul a cuprins un numar de 201 pacienti.
Pacientii au fost examinati efectuanduli-se o anamneza amanuntita privind istoricul bolii, antecedentele personale si heredo-colaterale, iar clinic prin insepctie, palpare si testarea vitalitatii dintilor implicati. In scopul realizarii diagnosticului diferential am realizat punctia exploratorie, care ofera date clinice importante.
Examenul radiografic a inclus ortopantomografii, radiografii in incidenta retroalveolara si SAF, iar in unele cazuri tomografii computerizate.
Informatiile inregistrate au fost: varsta, sex, localizarea anatomica a chisturilor, simptomatologia de debut, consideratii radiografice, modificari ale structurilor anatomice invecinate.
Simptomatologia parcurge urmatoarele etape: asimptomatic, durere, durere asociata cu tumefactie, sinuzita, fistula mucoasa sau cutanata activa, deformare osoasa sau orala, parestezie.
In ceea ce priveste localizarea chisturilor, maxilarul si mandibula au fost impartite in trei zone: anterioara (zona incisivo-canina), mediana (zona premolara), si posterioara (zona molara, inclusiv ramul ascendent la mandibula).
Structurile anatomice invecinate cu risc de a fi afectate sunt: sinusul maxilar, fozele nazale, canalul mandibular cu continutul sau, dintii.
Aspectul radiografic a fost si el impartit in trei categorii: radiotransparenta uniloculara bine delimitata (de condensare osoasa marginala), radiotransparenta uniloculara slab delimitata ( fara zone de condensare osoasa marginala), pluriloculara.
Tratamentul de electie a fost enucleerea, iar in functie de caz, insotita sau nu de rezectie apicala cu obturatie radiculara anterograda sau retrograda, extractia dentara, odontectomia si cura radicala de sinus. Cavitatea osoasa poate fi lasata ca atare sau umpluta cu diferite materiale de aditie.
Interventia chirurgicala a fost realizata in fotoliul dentar sub anestezie loco-regionala sau in sala de operatie sub anestezie generala prin sedare intravenoasa completata cu anestezie loco-regionala sau prin intubatie oro- sau nazo-traheala, dupa investigarea si pregatirea pacientului din punct de vedere al statusului general. Postoperator, pacientii au primit tratament antibiotic, antialgic si antiinflamator.
2. REZULTATE
a) Frecventa tipurilor de chisturi
Din cele 188 de chisturi maxilare studiate, 180 au fost chisturi odontogene (95,7%), 3 neodontogene (1,6%) si 5 pseudochisturi (2,7%).
Fig.61 Frecventa chisturilor maxilare.
Cele mai frecvente chisturi au fost chisturile radiculare, urmate de cele reziduale, apoi celelalte tipuri.
Fig. 62 Frecventa tipurilor de chisturi (prezentare schematica).
2. Distributia pe grupe de varsta.
Pacientii care s-au prezentat au fost cu varste cuprinse intre 0,5-77 de ani. Varsta medie calculata a fost de 38,84 ani. Frecventa cea mai crescuta de cazuri a fost inregistrata in decadele 3, 4, 5, 6 de viata, cu incidenta maxima in decada a 4-a.
|
DECADE |
|||||||||
|
TIP |
Total |
||||||||
|
Radicular | |||||||||
|
Rezidual | |||||||||
|
Keratochist | |||||||||
|
Dentiger | |||||||||
|
Solitar | |||||||||
|
Nazo-pal. | |||||||||
|
Paradentar | |||||||||
|
Periodontal | |||||||||
|
De eruptie | |||||||||
|
Total | |||||||||
Tabel 63 Distributia chisturilor maxilare pe grupe de varsta.
3. Repartitia
|
Femei |
|
Babati 1,19 |
pe sexe.
S-a constatat o frecventa mai mare a cazurilor la babati, raportul M/F fiind de 1,19/1 (102 babati si 86 femei).
SHAPE * MERGEFORMAT
Fig.64 Raportul repartitiei pe sexe a chisturilor maxilare.
(prezentare schematica)
4. Localizarea chisturilor maxilare.
Maxilarul a fost afectat in proportie mai mare decat mandibula, 115 cazuri (61,2%) fiind localizate la maxilar, iar 73 (38,8%) la mandibula. Zona anterioara a maxilarului a fost sediul predilect de localizare a chisturilor (70 de cazuri, 37,2%), pe cand la mandibula majoritatea au fost situate in zona posterioara (42 de cazuri, 22,3%). Un numar de 22 (11,7%) de cazuri au fost extinse in mai mult de o zona topografica.

Fig.65 Localizarea predilecta a tipurilor de chisturi maxilare.
(prezentare schematica)
5. Simptomatologie clinicǎ de debut.
Semnele de debut cu care pacientii s-au prezentat pot fi clasificate astfel:

Fig.65 Semnele de debut al chisturilor
(reprezentare schematicǎ a valorilor procentuale)
32,4% tumefactie sub diferite forme: abces vestibular, palatinal, perimandibular extern, pericoronaritǎ acutǎ, toate datoritǎ suprainfectiei, iar uneori ascoiatǎ cu trismus;
30,8% asimptomatice, descoperite intaplaor in urma examenului radiografic de rutinǎ sau efectuat pentru alte leziuni dentare sau osoase;
15,4% deformari osoase;
6,4% durere de diferite intensitati, majoritatea sub forma de jena;
8,5% fistula cutanata sau mucoasa cu eliminare periodica de secretie purulenta;
5,86% sinuzita;
1,6% parestezie pe teritoriul de inervatie a nervului dentar inferior sau mentonier.
Am observat ca dupa frecventa semnelor de debut, cele mai multe chsituri radiculare debuteaza prin suprainfectie ca si chisturile dentigere, insa majoritatea chisturilor reziduale sunt asimptomatice. Keratochisturile sunt in egala masura asimptomatice si suprainfectate. Deformarea osoasa apare mai frecvent in cazul chisturilor radiculare.
6. Consideratii radiografice.
Imagine radiograficǎ de radiotransparentǎ unilocularǎ slab delimitatǎ au avut-o 19,7% din chisturi, 72,9% au fost uniloculare delimitate de condensare osoasǎ marginalǎ si 6,3% - ascpect plurilocular, din care majoritatea au fost chisturi radiculare.
Fig.66 Repartizarea procentualǎ al aspectului imaginii radiografice
(prezentare schematicǎ).
7. Modificǎri asupra structurilor anatomice adiacente.
Cele mai multe din formatiunile chistice (62,2%) nu au afectat structurile adiacente. Modificǎrile produse sunt: impingerea canalului mandibular (12,8%), liza planseului sinusal (9,6%), impingerea planseului sinusal (9%), deplasǎri dentare (31%), rizaliza (1,1%) liza peretelui superior al canalului mandibular (3,5%), liza planseului foselor nazale (2,5%).
Fig.67 Valoarea procentualǎ a modificǎrilor asupra structurilor anatomice adiacente (prezentare schematicǎ).
II. CAZURI CLINICE
Cazul 1
Fig. 61 Ortopantomografia, indica o radiotransparenta uniloculara giganta, localizata la nivelul ramului orizontal mandibular stang.
Pacient de sex masculin, in varsta de 13 ani, s-a prezentat in Clinica de Chirurgie Oro-Maxilo-Faciala, acuzand dureri de intensitate moderata, in zona hemiarcadei stangi madibulare.
In urma examenului anamnestic si clinic amanuntit am constatat persistenta pe arcada a dintelui temporar 7.3 si absenta caninului permanent 3.3, varsta medie de eruptie a lui fiind 9 ani.
Pe ortopantomografie se observa o radiotransparenta mandibulara, uniloculara, bine delimitata, de dimensiuni foarte mari, ceea ce indica existenta unui chist mandibular gigant. Se mai observa: prezenta caninului permanent inclus, rizaliza radacinii dintelui 7.3, precum si devierea dintilor adiacenti.
Radiotransparenta ne indica faptul ca, formatiunea chistica are tendinta de extindere spre apical, nerespectand jonctiunea amelo-dentinara a coletului dentar, caracteristica chisturilor foliculare, ci este specifica subtipului "circumferential".
Diagnosticul clinic si radiografic fiind de chist folicular 3.3(varianta circumferentiala) mandibular, gigant. Fiind confirmat si de examenul histopatologic.
Tratamentul a constat in chistectomie (enucleere) si odontectomia dintelui inclus.
Prin enucleerea formatiunii gigante a fost compromisa stabilitatea osului si din acesta cauza, postoperator s a confectionat o sina linguala. Purtarea dispozitivului ortopedic timp de 3 saptamani a favorizat vindecarea osoasa, prevenind fractura in os patologic.
Cazul 2
Fig.62 Ortopantomografie: radiotransparenta ce indica prezenta unui chist radicular maxilar 1.6.
Fig.63 Radiografie SAF: radioopacitate ovalara, bine delimitata la nivelul podelei sinusului maxilar drept.
Pacienta de sex feminin, in varsta de 22 de ani s-a prezentat in Clinica de Chirurgie Oro-Maxilo-Faciala datorita unei tumefieri in zona geniana dreapta.
In urma anamnezei si examenului exo- si endooral s-a constatat prezenta unei tumefactii in vestibulul bucal superior drept, durere la palpare, testele de vitalitate al dintelui 1.6 negative.
Radiografic se observa o radiotransparenta ce porneste din zona periapicala al molarului 1.6, care prezinta un proces carios complicat cu distructie corono-radiculara avansata. Radiotransparnta se extinde in cavitatea sinusului maxilar si in zona dintilor adiacenti . Forma este ovala, relativ bine delimitata.
Diagnosticul clinic si radiografic a fost de chist radicular maxilar, cu evolutie sinusala, fiind confirmat si de examenul histopatologic.
Ca si tratament s-a efectuat extractia dintelui 1.6 si enucleera formatiunii chistice. Intraoperator constatandu-se pastrarea integritatii mucoasei sinusale.
Cazul 3
Fig.64 Ortopantomografia ce releva o radiotransparenta giganta in dreptul dintilor 1.2, 1.4 cu extindere in cavitatea sinusala.
Fig.65 Radiografie sinusuri, SAF.
Pacient de sex masculin, in varsta de 37 de ani, s-a prezentat datorita tumefierii si durerii in zona geniana dreapta.
La efectuarea anamnezei amanuntite si examenului clinic s-a observat prezenta unei tumefactii in zona sinusului maxilar drept, congestia mucoasei in aceasta zona si durere. Semne sinusale (dureri, secretii sero-purulente unilaterale, cacosmie).
1.2, 1.4 prezinta distructii corono-radiculare avansate.
Radiografic se observa o zona de radiotransparenta in zona periapicala a dintilor 1.2 si 1.4, care are forma rotunjita si este bine delimitata.
Diagnosticul stabilit in urma examenului clinic si radiografic a fost de chist radicular maxilar gigant, cu evolutie sinusala.
Tratamentul a constat in chistectomie, cura radicala de sinus si asanarea cavitatii bucale.
Cazul 4.
Fig. 66 Ortopantomografia pe care se observa o zona de radiotransparenta bine delimitata in zona sinusului maxilar drept, corespunzatoare formatiunii chistice maxilare drepte .
Pacienta de sex feminin, in varsta de 34 de ani, s-a prezentat in Clinica de Chirurgie OMF datorita tumefierii in zona geniana dreapta.
In urma examenului clinic s-a constat prezenta unei tumefactii in vestibulul bucal superior . Dintele 1.2 prezintand distructii corono-radiculare avansate.
Radiografic se observa o zona de radiotransparenta periapical de dintii 1.1, 1.2, 1.3. Aceasta fiind bine delimitata si de forma ovala.
Diagnosticul clinic si radiografic a fost de chist radicular maxilar gigant, acesta fiind confirmat si de examenul histopatologic.
Intraoperator s-a constat ca membrana sinusala a fost intacta, desi este un chist radicular gigant. In evolutia sa lenta a impins planseul sinusal, evoluand in cavitatea sinusala.
Tratamentul a constat in chistectomie prin abord vestibular si extractia dintelui 1.2. La dintii vecini s-a practicat rezectie apicala si tratament conservator endodontic.
Fig.67 Radiografia sinusurilor anterioare ale fetei. (SAF)
Cazul 5
Fig. 68 Ortopantomografie ce releva prezenta unei zone de radiotransparenta mandibulara mediana.
←
Fig.69 Incidenta retroalveolara, care indica o radiotransparenta periapical de incisivii inferiori.
Pacienta de sex feminin, in varsta de 29 de ani a fost trimisa in Clinica de Chirurgie OMF de catre medicul dentist prezentand o tumefactie in regiunea mentoniera.
In serviciul de urgenta s-a practicat incizia si drenajul colectiei purulente mentoniere, pe cale endoorala.
Testele de vitalitate la dintele au fost 3.1 negative si pozitive la dintii adiacenti.
Radiografic pe oropantomografie s-a constat prezenta unei zone de radiotransparenta in zona mediana mandibulara periapicala 3.2 - 4.2 de forma ovalara si bine delimitata.
Diagnosticul a fost de "chist median mandibular", care este expresia clinica a unui chist radicular cu punct de plecare de la incisivul 3.1 .
Tratamentul a constat in enucleerea formatiunii chistice, tratament endodontic conservator, rezectie apicala a dintilor 3.1, 4.1
Cazul 6
Pacient de sex masculin, in varsta de 54 de ani, trimis in Clinica de Chirurgie OMF de catre medicul dentist, fiind in tratament stomatologic. In urma unui examen radiografic s-a decoperit prezenta unei radiotransparente in zona ramului mandibular orizonatal drept.
Clinic asimptomatic. Prezentand un rest radicular irecuperabil in dreptul premolarului 4.4.
Ortopantomografia indica prezenta unei radiotransparete in zona ramului mandibular orizontal drept, bine delimitata, de forma ovalara.
Diagnosticul fiind de chist mandibular radicular gigant, cu etiologie de la restul radicular 4.4
Tratamentul a constat in extractia restului irecuperabil 4.4 si enucleerea formatiunii chistice.
Fig.70 Ortopantomografia pe care se observa prezenta unei zone radiotransparente in ramul mandibular orizontal drept.
Cazul 7
Pacineta de sex feminin, in varsta de 39 de ani s-a prezentat in Clinica de Chirurgie Oro-Maxilo-Faciala datorita prezentei unei tumefieri in zona mandibulara dreapta.
In urma examenului clinic s-a constatat prezenta unei tumefactii in vestibulul bucal inferior drept si prezenta resturilor dentare irecuperabile in dreptul lui 4.6. si 3.5. Clinic pacientul fiind asimptomatic.
Dupa efectuarea examenului radiografic, pe langa radiotransparenta bine delimitata si de forma ovala de la nivelul ramului mandibular orizontal drept, observam prezenta altei zone de radiotransparenta pe partea stanga, in dreptul unui rest irecuperabil al dintelui 3.5
Diagnosticul a fost de chisturi mandibulare radiculare multiple.
Tratamentul a constat in chistectomie si imobilizare postoperatorie cu sina linguala, pentru a evita fractura mandibulara in os patologic.
Fig. 71 Ortopantomografia ce indica prezenta unor radiotransparente periapical de resturile radiculare irecuperabile a dintilor 4.6 si 3.5
Cazul 8
←
Fig.72 Ortopantomografia ce indica prezenta unor radiotransparente pluriloculare periapical de 4.4 si 3.5, ce corespund unor chisturi mandibulare gigante.
Pacient de sex masculin, in varsta de 40 de ani, s-a prezentat in Clinica de Chirurgie Oro-Maxilo-Faciala trimis de specialistul cardiolog pentru depistarea eventualelor focare dentare, in vederea interventiei de chirurgie cardiaca.
Clinic asimptomatic. Prezentand resturi radiculare irecuperabile la nivelul dintilor 3.5 si 4.4.
In urma anamnezei efectuate s-a aflat ca pacientul in antecedente a suferit un infarct miocardic acut. Fiind diagnosticat cu angina instabila. Fumator inrait.
Pe ortopantomografia panoramica efectuata se observa radiotransparente pluriloculare bine delimitate, mandibular, ramuri orizontale bilaterale.
Diagnostic a fost de chisturi radiculare gigante in zona ramurilor orizontale mandibulare bilaterale.
Pacientul nu a revenit pentru interventia chirurgicala, care oricum prezenta riscuri majore.
Cazul 9
←
Fig.73 Ortopantomografia pe care se vad multiple radiotransparente bine delimitate, de forma ovalara, corespunzatoare chisturilor radiculare (1.4 si 2.5), respectiv celor reziduale (4.6, 4.7).
Pacient in varsta de 45 de ani. S-a prezentat in Clinica de Chirurgie Oro-Maxilo-Faciala trimis de medicul stomatolog pentru asanarea cavitatii bucale.
Clinic asimptomatic, prezentand multiple resturi radiculare irecuperabile.
In antecedente personale a suferit o interventie chirurgicala pe cord. A fost spitalizat fiind pe tratament anticoagulant.
Radiografic se observa prezenta unor radiotransparete pluriloculare, bine delimitate la nivelul 4.6, 4.7, 1.4, 2.5.
Diagnosticul a fost de chisturi radiculare multiple 4.6, 4.7 - reziduale si 1.4, 2.5 radiculare.
Tratamentul a constat in asanarea cavitatii bucale prin extractia resturilor dentare irecuperabile 1.4, 1.1, 2.2, 4.1 si chistectomii la nivelul 1.4, 2.5, 4.6, 4.7.
Cazul 10
Fig. 74 Radiografie prin incidenta retroaleveolara pe care se observa o zona de radiotransparenta in zona periapicala a molarului 1.6
Fig.75 RMN pe care se observa o zona de radioopacitate la nivelul cavitatii sinusale dreapta.
Pacienta de sex feminin, in varsta de 39 de ani, s-a prezentat in Clinica de Chirurgie Oro-Maxilo-Faciala trimisa de catre medicul dentist, fiind in tratament stomatologic, considerand ca sunt necesare investigatii suplimentare.
Dupa efectuarea anamnezei si examenului clinic amanuntit s-a constat prezenta unei tumefactii in vestibulul bucal superior drept, durere moderata la palpare. Testele de vitalitate negative, dintele fiind tratat endodontic.
Pacientul prezentand rinoree, obstructie nazala partiala de partea dreapta, durere moderata
Pe examenul radiografic in incidenta retroalveolara se observa o radiotransparenta in zona peiapicala al molarului 1.6, de forma ovalara, bine delimitata.
RMN a fost indicat pentru ca se suspecta prezenta unei formatiuni tumorale proliferative. Pe acesta se observa o zona de radioopacitate la nivelul peretelui inferior al cavitatii sinusului maxilar drept.
Diagnosticul fiind de chist maxilar radicular cu evolutie in sinusul drept si etiologie de la molarul 1.6
S-a efectuat tratamentul conservator prin rezectie apicala si obturatie retrograda, apoi chistectomie si cura radicala de sinus.
III. DISCUTII
Rezultatele obtinute aratǎ, in primul rand, cǎ din cele 188 de chisturi maxilare studiate, 180 au fost chisturi odontogene (95,7%), 3 neodontogene (1,6%) si 5 pseudochisturi (2,7%).
Am observat cǎ este posibilǎ aparitia mai multor chisturi la acelasi pacient si la pacienti din aceeasi familie, fapt care este legat probabil de incidenta crescutǎ a cariei si de existenta unei predispozitii individuale si familiale pentru hiperplazie epitelialǎ si formare de chisturi maxilare.
Se constatǎ o incidentǎ mai mare a cazurilor la barbati, raportul M/F fiind de 1,19/1 (102 barbati si 86 femei).
Studiul nostru ne-a arǎtat cǎ existǎ posibilitatea aparitiei chisturilor maxilare indiferent de varstǎ, pacientii avand varste cuprinse intre 0,5-77 de ani. Totusi existǎ anumite decade de varstǎ care sunt mai predispuse la aparitia chisturilor. Aceste perioade diferǎ in functie de tipul de chist. Cele mai multe cazuri am gǎsit in decadele 3, 4, 5, 6 de viatǎ, cu incidenta maximǎ in decada a 4-a, 43 de cazuri.
In ceea ce priveste localizarea, s-a constatat cǎ maxilarul este afecatat in proportie mai mare decat mandibula, 115(61,2%) cazuri fiind la maxilar si 73(38,8%) la mandibulǎ. Sediul predilect de aparitie este zona anterioarǎ a maxilarului, 70 de cazuri(37,2%), pe cand la mandibulǎ majoritatea au fost situate posterior, 42 de cazuri (22,3%), fapt care este constatat si de majoritatea autorilor din literatura de specialitate.
Suprainfectia a fost simptomul de debut pentru majoritatea chisturilor maxilare. In egala masura au fost asimptomatice, pe cand deformarea osoasǎ a fost motivul prezentǎrii in mai putine cazuri.
Dupǎ frecventa semnelor de debut, cele mai multe chisturi radiculare debuteazǎ prin suprainfectie ca si chisturile dentigere, majoritatea chisturilor reziduale sunt asimptomatice. Keratochisturile sunt in egalǎ mǎsurǎ asimptomatice si suprainfectate.
Deformarea osoasǎ apare mai frecvent in cazul chisturilor radiculare.
Radiografic, 19,7% din chisturi au avut o imagine radiograficǎ de radiotransparentǎ unilocularǎ slab delimitatǎ iar 79,2% au fost radiotransparente uniloculare si multiloculare bine delimitate de o zonǎ de condensare osoasǎ marginalǎ.
Aspectul plurilocular in examinarea radiograficǎ bidimensionalǎ apare in situatii diferite:
persistenta unor septuri osoase care dau o imagine de falsǎ compartimentare;
existenta de chisturi multiple invecinate care au un aspect plurilocular adevǎrat.
Cele douǎ aspecte sunt vizibile si diferentiate prin tomografie computerizatǎ.
Coreland dimensiunile radiografice a chisturilor maxilare cu sexul pacientilor se observǎ cǎ, bǎrbatii tind sǎ dezvolte chisturi de dimensiuni mai mari decat femeile, diferentǎ semnificativǎ. De asemenea coreland simptomul de debut cu sexul pacientilor, observǎm ca numarul de cazuri asimptomatice si cele in care deformarea osoasa e prezenta sunt mai mari la bǎrbati decat la femei, pe cand la femei predominǎ debutul prin suprainfectie. Cele doua observatii explicǎ numǎrul mai redus de chisturi maxilare gigante la femei prin aparitia mai frecventǎ a suprainfectiei semnaland prezenta chistului descoperit astfel intr-un stadiu mai putin dezvoltat.
Extensia chisturilor determinǎ leziuni ale structurilor invecinate, si anume:
impingerea cu sau fǎrǎ lizǎ a peretelui superior al canalului mandibular;
impingerea cu sau fǎrǎ lizǎ a planseului sinusal;
deplasǎrile dentare si rizaliza;
liza planseului foselor nazale.
Desi chisturile mandibulare gigante afecteazǎ invariabil pachetul vasculo-nervos, deplasandu-l in pozitii anormale, datoritǎ cresterii lente si presiunii continue, dar usoare, exercitate, parestezia apare foarte rar. De cele mai multe ori parestezia apare in urma suprainfectiei prin compresiunea exercitatǎ asupra pachetului vasculo-nervos prin cresterea bruscǎ in volum. Cand tensiunea este scǎzutǎ prin fistulizare spontanǎ sau drenarea chirurgicalǎ a continutului purulent, sensibilitatea nervoasǎ revine la normal. In cazul formatiunilor tumorale, in schimb, parestezia se instaleazǎ mult mai frecvent, fiind un semn al agresivitǎtii acestora.
CONCLUZII.
1. Chisturile reprezinta un domeniu important din patologia maxilarelor.
2. Chisturile maxilare reprezinta o categorie de leziuni osoase alcatuita din multiple entitati care prezinta aspecte clinice si radiografice asemanatoare dar si particulare.
3. In cele mai multe cazuri, chisturile si tumorile maxilarelor se pot dezvolta din remanentele tisulare embrionare latente intraosoase.
4. Pentru intelegerea completǎ si corectǎ a procesului morbid pe langǎ investigatiile clasice, se cautǎ si se folosesc si alte modalitǎti de diagnostic cum este citodiagnosticul cu verificare histopatologicǎ si histochimicǎ.
5. Punctia exploratorie preoperatorie ofera date clinice de importanta majora.
6. Intraoperator s-a constat pastrarea integritatii mucoasei sinusale, in cazul chisturilor gigante cu evolutie sinusala, in cazurile in care nu s-a supraadaugat infectia.
5.Caracteristicile evolutive care relevǎ complexitatea patologiei chisturilor maxilare:
Evolutia frecvent asimptomatica si in consecinta extensiva, leziunea atingand uneori dimensiuni uriase;
Posibilitatea lezǎrii unor structuri anatomice adiacente (sinus maxilar, fose nazale, canal mandibular impreuna cu continutul sau - nervul dentar inferior) prin liza osoasǎ progresiva.
Riscul aparitiei complicatiilor, cele mai frecvente fiind suprainfectiile, iar cele mai severe transformarile neoplazice ale epiteliului de captusire.
7. Aspectul radiografic al chisturilor maxilare este de radiotransparenta uniloculara rotunda sau ovalara, rareori lobulata, bine delimitata de o banda de osteocondensare marginala; delimitarea neta dispare in momentul suprainfectiei sau in cazul localizarii vestibulare a chistului.
8. Majoritatea covarsitoare a chisturilor maxialre, 95,7%, sunt chisturi odontogene, celelalte fiind neodontogene si pseudochisturi.
9. Varsta medie pentru aparitia chisturilor maxilare a fost de 38,8 ani.
10. Sexul cel mai afectat de aparitia chisturilor maxilare a fost cel masculin.
11. Esentiala in cadrul tratamentului, este indepartarea in totalitate a membranei chistice, conservarea structurilor invecinate si asigurarea unor conditii pentru o regenerare osoasa cat mai buna.
12. In cazul formatiunilor chistice cu risc crescut de recidiva este indicata rezectia osoasa marginala.
In cazul formatiunilor chistice gigante se utilizeaza metode ortopedice de prevenire a fracturii in os patologic (sine linguale, proteze dentare).
14. Planul de tratament trebuie sa fie adaptat fiecarui caz clinic in parte, tinand cont de comportamentul si potentialul de crestere al chistului, de localizare, de caracteristicile histopatologice si de capacitatea de regenerare osoasa.
15. Regenerearea osoasa spontana este lenta, intre 1 si 5 ani, si depinde de localizarea si marimea defectului osos, de raportul dintre suprafata si volumul defectului osos, de tipul de substanta de aditie si de capacitatea individuala osteogenica.
16. Avand in vedere riscul aparitiei recidivei si al transformarii neoplazice este importanta urmarirea indelungata postoperatorie a pacientilor.
BIBLIOGRAFIE
1. ALEXANDRU BUCUR Tratat de chirurgie. Chirurgie oro-maxilo-faciala, vol. III, Editura Academiei Romane, Bucuresti 2008
2. FRAGISKOS D, FRAGISKOS Oral surgery, University of Athens
3. CORNELIU BURLIBASA Chirurgie orala si maxilofaciala, Ed. a II-a, Editura Medicala Bucuresti, 2005
4. BOBOC G Aparatul dento-maxilar formare si dezvoltare, Editura Medicala, Bucuresti, 1996
5. HYOMOTO M, KAWAKAMI M, INOUE M, KIRITA T Clinical conditions for eruption of maxillary canines and mandibular premolars associated with dentigerous cysts, 2003
6. BINNIE WH Periodontal Cysts and Epulides, Periodontology, vol.21, 2000
7. DUNFEE BL, SAKAI O, PISTEY R, GOHEL A. Radiologic and pathologic characteristics of benign and malignant lesions of the mandible. Radiographics, 2006
8. MACDONALD-JANKOWSKI DS. Fibro-osseous lesions of the face and jaws. Clinical Radiology, 2006
9. WAITES E. Essentials of Dental Radiography and Radiology, 4th Ed. London UK: Churchill Livingstone, 2003
10. SAILER HF, PAJAROLA GF Oral surgery for the general dentist Thieme, Stuttgart, 1999
11. SULJAK JP, BOHAY RN; WYSOCKI GP Lateral periodontal cyst: a case report and review of the literature. Canada, 1998
12. PIATTELLI A, FIORONI M; RUBINI C Differentiation of odontogenic keratocysts from other odontogenic cysts by the expression of bcl-2 immunoreactivity. Oral Oncol, 1998
13. REES JS Conservative management of a large maxillary cyst, 1997
14. SIMON JH, WARDEN JC, BASCOM LK Needle aspiration: an alternative to incision and drainage, 1995
15. MILLER EH, KASSEBAUM DK Managing periorbital space abscess. Secondary to dentoalveolar abscess, 1995
16. HAN MH, CHANG KH, LEECH NA, DG, YEONK M, HAN MC Cystic expansive masse of the maxilla; diferential diagnosis with CT and MR- american Journal Hemoradiology, 1995
18. www.obm.quintessenz.de (OBM - Oral Biosciences & Medicine)
19. www.thejcdp.com
20. GIROD SC, GERLACH KL, KRUEGER G (1993) Cysts associated with long-standing impacted third molars, 1993
21. KREIDLER JF, RAUBENHEIMER EJ, van HEERDEN WF A retrospective analysis of 367 cystic lesions of the jaw - the Ulm experience, 1993
22. PETERSON LJ, ELLIS E III, HUPP JR, TUCKER MR Contemporary oral and maxillofacial surgery, 2nd edn. Mosby, St. Louis, Mo, 1993
23. SHEAR M Cysts of the oral regions, 3rd edn. Wright, Oxford, 1992.
24. BROWNE RM Investigative pathology of the odontogenic cysts. CRC, Boca Raton, Fla, 1992.
25. KEITH DA Atlas of oral and maxillofacial surgery. Saunders, Philadelphia, Pa, 1992.
26. KARABOUTA I, TSODOULS S, TRIGONIDIS G Extensive aneurismal bone cyst of the mandible: surgical resection and immediate reconstruction, 1991.
27. KWON PH, LASKIN DM Clinician's manual of oral and maxillofacial surgery, 2nd edn. Quintessence, Chicago, Ill, 1977.
28. LASKIN DM Oral and maxillofacial surgery, vol 2. Mosby, St. Louis, Mo, 1985.
29. WONG M (1991) Surgical fenestration of large periapical lesions, 1991.
30. YIH WY, MORITA V A modified technique for obliteration of large bony defects after cystectomy, 1991.
31. ADINA VALEANU Teza de doctorat. Chisturi maxilare studiu clinico-statistic si implicatii terapeutice.
32. ANATOLI HASEGAWA, KAWAKAMI, KAGET; CHINO T. Hyperkeratosis and a typical proliferation appearing in the lining epithelum osa of radicular cyst.
33. ALTIMI M, SHER M - The lateral periodontal cyst on update Jurnal of Oral Pathology and Medicine.
34. FLEURTY JE, DEBOLTS D, MAFFRE N, ASSAD C, Dentigerous cyst. Revue de Stomatologie et Chirurgie Maxilo-Faciale, 1994.
35. HYNES B MARTIN C Nasoalveolar cysts. Journal of otolaringology, 1994;
36. LAMVERT S LEAHIEN P Idiopatic maxillary bone cavity. Acta Stomatologica Belgica, 1993.
37. MEALEY BL, RASCH MS, BRUHN JC, FOWLER CB Incisive canal cysts related to periodontal osseous defects. Journal of periodontology, 1993.
38. PECHEUR A, PLECHIEN Lacunes essantiales des maxillaires. Revue Stomatologie et chirurgie maxillofaciale, 1991.
39. PARISH KL, KERUZEGER KL Cysts of the mandibule and maxilla Journal of the Louisiana State Medical Society, 1992.
40. SPINELLI HM, ISENBERG JS, O'BRIEN M Nasopalatine duct cyst and the role of magnetic resonance imaging. Journal of Cranio-maxilafacial Surgery, 1994.
41. TIMOSCA G, COTUTIN C, GAVRILITA Malignant transformation of odontogene cysts. Revue de Stomatologie et Chirurgie maxilofaciale, 1995.
Copyright © 2025 - Toate drepturile rezervate