![]() | Alimentatie | Asistenta sociala | Frumusete | Medicina | Medicina veterinara | Retete |
METODELE DE EXAMINARE RADIOIMAGISTICA A CORDULUI SI VASELOR
Dispunem astazi de numeroase metode de explorare radiologica si imagistica a cordului si vaselor a caror valoare practica este inegala; alegerea uneia sau alteia se face dupa un riguros examen clinic cu individualizare stricta la caz. Datele obtinute trebuie interpretate in colaborare cu datele clinice si de laborator.
Radioscopia, cea mai simpla metoda radiologica de explorare a aparatului cardiovascular, la indemana oricarui serviciu medical care dispune de un aparat Roentgen, ramane metoda radiologica fundamentala. Ea ne furnizeaza date atat asupra aspectului morfologic (forma, volum, situatia in torace, mobilitate in diferite pozitii sau cu miscarile respiratorii), cat si asupra aspectelor functionale (bataile cordului si vaselor mari, viteza de circulatie). Radioscopia permite efectuarea examinarii in diferite pozitii, de preferinta in pozitie verticala, care confera cele mai bune conditii optice si permite rotirea bolnavului in jurul axului longitudinal. Examinarea in decubit dorsal se face pentru studiul dimensiunilor cordului si vaselor mari in conditii de umplere. Decubitul lateral este utilizat pentru studiul mobilitatii acestor organe. Datorita distantei mici focus-ecran, imaginea radioscopica apare marita si deformata.
Teleradioscopia-Teleradiografia este o metoda de examinare a cordului in care distanta focus-ecran, film radiologic este de 1,8-2 m, cu fascicolul centrat in mijlocul masei cardiace. La aceasta distanta, razele X sunt considerate aproape paralele, astfel incat se obtine imaginea cordului in marime aproape reala.
Este recomandabil ca radiografia sa se execute in apnee, care urmeaza unei respiratii obisnuite (nu unui inspir profund care modifica forma si dimensiunile inimii).
Ultrasonografia - metoda neinvaziva, ieftina, la indemana specialistului cardioechografist, a imbunatatit substantial diagnosticul afectiunilor cardiovasculare prin posibilitatea evaluarii unor serii de elemente ca: grosimea peretilor cavitatilor cardiace si a marimii lor, a septului ventricular, suprafata orificiilor atrio-ventriculare, aortic, pulmonar, prezenta lichidului in sacul pericardic si evaluarea lui cantitativa.
Fig.106 Ultrasonografia cardiaca si
vasculara

Metoda Doppler - avand la baza masurarea vitezei de circulatia a sangelui, utilizand ultrasunetele, permite precizarea existentei si evaluarea magnitudinii refluxurilor ventriculo-atriale, atrio-atriale, ventriculo-ventriculare, etc. De asemenea, aceasta metoda diagnosticheaza neinvaziv obstructiile arteriale, venoase, pune in evidenta si localizeaza venele perforate.
Radiofotografia medicala consta in fotografierea imaginii radioscopice si cu posibilitatea depistarii in masa a bolilor cardiace.
Roentgencinematografia permite explorarea cordului si vaselor in activitate - conferindu-se o reprezentare dinamica si continua.
Angiocardiografia este o metoda de vizualizare a cavitatilor cardiace (drepte - dextrograma, stangi - levograma) prin injectarea substantelor de contrast iodate 70% pe calea unei vene periferice sau prin cateterism si efectuarea de radiografii la intervale scurte de timp.
Pentru aceasta este necesara existenta unei seringi automate, care sa permita injectarea sub presiune si rapida a substantei de contrast, precum si un seriograf care efectueaza radiografii rapide, la intervale foarte scurte de timp (6 pe secunda).
Indicatiile angiografiei cuprind un numar mare de cardiopatii congenitale si castigate: cardiopatii cianogene, anomalii tricuspidiene, ale aparatului valvular, aortic si mitral, ale venelor pulmonare. O alta indicatie importanta este studiul circulatiei functionale pulmonare (angiopneumografia) pentru diagnosticul trombozelor si emboliilor pulmonare, a malformatiilor arterio-venoase pulmonare.

Fig. 117 Angiocardiografia
In cardiopatiile cu sunt stanga-dreapta, angiocardiografia evidentiaza patrunderea colaterala prin defectul septal sau fereastra aorto-pulmonara ajungand in cavitatea stanga, facand vizibil refluxul sangelui din cordul stang in cordul drept.
Ventriculografia stanga este indicata in defectul septal interventricular precum si pentru evaluarea refluxului ventriculo-atrial din insuficienta mitrala.
Aortografia consta in vizualizarea aortei si a ramurilor sale prin injectarea unei substante de contrast. Tehnica aortografiei difera cu portiunea pe care dorim sa o exploram. Astfel, distingem: aortografia toracica si aortografia abdominala.
Aortografia toracica consta in injectarea substantei de contrast in aorta toracica. Ea se face prin cateterism pe calea humerala, axilara, subclaviculara sau pe cale femurala dupa tehnica Seldinger.
Cea mai folosita este tehnica Seldinger (fig.118). Ea se efectueaza astfel:
se punctioneaza artera femurala in triunghiul Scarpa
pe acul de punctie se introduce un ghid spiral metalic si se indeparteaza acul
prin miscari de insurubare se introduce cateterul pana in portiunea initiala a aortei
injectarea substantelor de contrast nonionice (Iopamiro 370, Ultravist, Omnipaque) 60-70 ml cu un debit de 30 ml/secunda
efectuarea de radiografii seriate la nivelul aortei toracice, abdominale si a arterelor periferice ale membrelor inferioare si superioare.
Tot prin cateterism putem efectua explorari ale ramurilor aortei (a. carotide, a. subclaviculare, a. vertebrale, a. coronare, tr. celiac, a. mezenterica, a. renale, etc.) realizand arteriografiile selective.
Aortografia abdominala
Abordarea aortei abdominale se realizeaza prin punctie translombara (metoda directa) sau pe cale femurala prin cateterism retrograd dupa metoda Seldinger sau Hettler (mai sus descrisa).
Aortografia translombara: bolnavul asezat in procubit este punctionat cu ajutorul unui ac lung, cu bizou scurt, la 8-10 cm in afara liniei mediane, sub marginea inferioara a coastei a 12-a din stanga. Directia acului este oblica in sus si spre linia mediana catre vertebra a 12-a toracala. Momentul punctionarii vasului este marcat de senzatia patrunderii in gol si de evidentierea unui jet sanguin rosu-deschis abundent si pulsatil. Prin intermediul unui tub intermediar de polyetilen se adapteaza la ac seringa cu substanta de contrast nonionica 40-60 ml (incalzita la temperatura corpului) si se injecteaza manual cu maxim de forta, efectuandu-se radiografii innainte de ultimii 3-4 ml de substanta de contrast.
Aortografia femurala: bolnavul asezat in decubit dorsal este punctionat la nivelul arterei femurale in triunghiul lui Scarpa cu acul Seldinger in sens retrograd curentului sanguin. Dupa reusita punctiei se introduce mandrenul ghid si se scoate acul din artera. Pe mandren, prin miscari de rasucire, se introduce in lumenul arterial cateterul, care este condus pana la nivelul lui T12-L1. Se scoate mandrenul si se adapteaza cateterul la seringa de injectare sub presiune. Cu ajutorul seriografului se efectueaza radiografii, permitandu-se in felul acesta vizualizarea nu numai a aortei ci si a femuralelor, arterelor gambei, pana la arterele digitale. Prin folosirea cateterului cu varful curbat se pot vizualiza ramurile viscerale ale aortei abdominale, constituind arteriografia selectiva.

Fig.118 Tehnica punctiei Seldinger
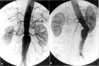
Arteriografia vaselor periferice este o metoda de explorare radiologica a arterelor periferice prin injectarea substantelor de contrast nonionice. Ea se poate efectua in continuarea aortografiei, pe cale anterograda, retrograda, cu sau fara cateter. Cea mai frecvent utilizata este arteriografia femurala. Se punctioneaza retrograd artera femurala in triunghiul lui Scarpa cu ajutorul unui ac cu bizou scurt sau se momnteaza o flexula si se injecteaza manual 20-40 ml substanta de contrast nonionica. Se efectueaza radiografii seriate inainte de administrarea intregii cantitati de substanta de contrast.

Fig.119 Arteriografie periferica-anevrism aorta sub emergenta arterelor renale
Pentru prevenirea fenomenelor dureroase ce se produc prin actiunea iritanta a substantei de contrast si pentru a produce vasodilatatie se administreaza initial Xilina, iar la sfarsitul injectarii ser fiziologic.
Angiografia digitalizata este o metoda moderna de investigatie care evidentiaza si leziunile arterelor mici. Ea constituie un progres important prin caracterul ei neinvaziv.
Se injecteaza substanta de contrast intr-un vas periferic de unde este antrenata in teritoriul de explorat. Prin prelucrare electronica dupa sistemul digital al imaginilor se obtin informatii asupra morfologiei vasculare, estompandu-se celalalte structuri anatomice.
Angiografia CT (fig.120) se realizeaza cu ajutorul aparatelor spirale. Este o metoda neinvaziva care permite reprezentarea tridimensionala a sistemului arterial.
Fig.120 Angicardiografia CT

Fig. 121 Tehnici de reconstructie angiografica CT-volume rendering, MIP
Angiografia prin IRM, recent introdusa in practica medicala, contituie a remarcabila achizitie. Costul ridicat al metodei este nesemnificativ fata de avantajele ei: performanta, neinvaziva, permite un inventar lezional complet, neiradianta.

Fig. 122 Examinare cardiaca prin IRM
Tomografia PET, SPET, metode noi pe plan mondial, la inceputuri la noi.
Flebografia este o metoda de vizualizare a venelor prin administrarea intravenoasa a substantei de contrast.
Spre deosebire de aorto-arteriografie, in flebografie concentratia substantei de contrast trebuie sa fie mai scazuta 30%, aceasta pentru prevenirea actiunii iritante, intrucat viteza de circulatie este mai mica, in special in conditii patologice, si contactul cu endovena este mai lung.
Dintre metodele utilizate amintim: flebografia anterograda, flebografia retrograda, flebografia intraosoasa, fleboscopia si flebografia dinamica. Ele se executa in pozitie orizontala, oblica 65% (avand ca obiectiv vizualizarea si studierea nu numai a permeabilitatii si starii colectorilor venosi profunzi, dar si functia valvulara a venelor perforate) sau verticala (pentru studiul functiei valvulare a venelor profunde si superficiale). Ritmul de injectare al substantei de contrast este mai lent decat la arteriografie, iar efectuarea cliseelor radiografice se face la intervale mai mari de timp.

Fig. 123 Flebografii periferice
Flebografia anterograda consta in injectarea de substanta de contrast intr-o vena de pe fata dorsala a labei piciorului dupa aplicarea unui garou submaleolar, urmata de efectuarea unor radiografii succesive la gamba si coapsa.
Flebografia retrograda evidentiaza insuficienta valvulara, prezenta refluxului venos. Pozitia de examinare este verticala. Se punctioneaza vena femurala superficiala la nivelul triunghiul Scarpa. Se injecteaza 60 ml substanta de contrast. In mod normal fluxul bolului de substanta de contrast se face spre artera femurala comuna, venele iliace. Refluxul este considerat normal pana la prima pereche de valvule. In insuficienta valvulara refluxul poate fi masiv, pana la nivelul venelor gambei.
Flebografia transosoasa este indicata atunci cand abordul venos este dificil. Cu ajutorul unui trocar se patrunde in spongioasa calcaneeana in care se injecteaza substanta de contrast.
Examenul radiologic al vaselor si ganglionilor limfatici
Explorarea radiologica a vaselor si ganglionilor limfatici se poate face prin radiografii simple si prin radiografii cu substanta de contrast.
Radiografia simpla - poate evidentia calcificari ale ganglionilor limfatici.
Limfografia reprezinta o metoda de vizualizare a vaselor limfatice si ganglionilor cu ajutorul unei substante de contrast.
Tehnica
Colorarea vaselor limfatice prin injectarea unei substante colorate (patent bleu-violet sau albastru de metilen) pe fata dorsala a labei piciorului sau mainii, interdigital.
Descoperirea chirurgicala a vasului limfatic prin incizie cutanata deasupra locului de injectare a colorantului.
Punctionarea vasului limfatic cu un ac de calibru mic.
Injectarea substantei de contrast (lipiodol ultrafluid sau substanta de contrast hidrosolubila) in vasul limfatic, cu presiune constanta intr-un interval de timp lung. Injectarea se poate face cu seringa automata.
Efectuarea de radiografii la diferite intervale de timp in functie de teritoriul limfatic pe care dorim sa-l exploram.
Pentru evidentierea vaselor limfatice facem radiografii ale membrului inferior sau superior imediat dupa terminarea injectarii. Ganglionii inghinali se opacifiaza la 5-10 minute dupa injectare, ganglionii pelvini la 10-15 minute, ganglionii lomboaortici la 20-25 minute, iar canalul toracic dupa 1 ora.
Persistenta substantei de contrast la nivelul ganglionilor limfatici este de 5-6 luni pana la 1 an.
Fig. 124 Limfografie
Vasele limfatice apar ca niste opacitati liniare cu calibrul de 1 mm, care prezinta din loc in loc niste dilatari reprezentand locul de insertie a valvulelor limfatice.
Ganglionii limfatici apar pe radiografie sub forma unor opacitati ovalare de aproxmativ 1 cm, omogene cu conturul net. La ganglion vin vase limfatice aferente si pleaca vasele limfatice eferente.
In procesele patologice ale sistemului limfatic se observa diverse modificari radiologice:
scaderea numarului de vase limfatice
dilatarea vaselor limfatice
marirea ganglionilor limfatici
structura neomogena a opacitatii ganglionilor limfatici prin existenta de lacune, dispunerea punctiforma a substantei de contrast, opacifierea periferica ganglionara
lipsa de opacifiere ganglionara.
In tumorile maligne ganglionare, limfografia ne ajuta la precizarea diagnosticului, a stadiului de evolutie, a tratamentului aplicat si a prognosticului bolnavilor tratati.
Evaluarea ganglionilor abdominali, retroperitoneali, mediastinali se face prin CT.
Copyright © 2026 - Toate drepturile rezervate