![]() | Alimentatie | Asistenta sociala | Frumusete | Medicina | Medicina veterinara | Retete |
MALFORMATII CONGENITALE ALE COLONULUI
ABSENTA ROTATIEI (MEZENTERUL COMUN)
In acest caz, jejunul si ileonul sunt situate la dreapta liniei mediane, in timp ce colonul in stanga, cecul este anterior sacrului. Valva ileocecala se afla pe conturul drept al cecului. Duodenul nu mai are forma de potcoava, segmentul II se continua cu jejunul.
ROTATIA INCOMPLETA
Rotatia incompleta este asociata de obicei cu un defect de fixare. Cecul este mobil, flotant.
Colonul ascendent are un mezou lung care predispune la volvulus.
DUPLICATIA COLONULUI este o anomalie rara; uneori ea apare ca un al doilea lumen, dar de cele mai multe ori are un aspect chistic care nu comunica cu lumenul intestinal.
IMPERFORATIA ANALA
ATREZIA SI STENOZA COLONULUI
MEGACOLONUL CONGENITAL ( BOALA HIRSCHPRUNG )
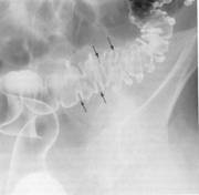
Megacolonul congenital reprezinta o dilatare marcata a colonului, cu exceptia rectului care are un calibru normal sau chiar redus. El este produs de absenta celulelor ganglionare ale plexului mienteric, care determina o intrerupere a peristalticii. Se poate asocia cu megavezica.

Fig. 233 Megacolonul congenital
Radiografia simpla abdominala evidentiaza o distensie marcata a colonului cu aer si materii fecale. Diafragmele sunt ascensionate. Examenul cu bariu trebuie facut cu precautie datorita posibilelor accidente.
Astfel se recomanda:
utilizarea solutiilor saline pentru prepararea bariului
presiunea de administrare sa fie mica
sa avem posibilitatea sifonarii si suctiunii)
Clisma baritata evidentiaza un rect cu calibru normal. In timp ce restul colonului este mult dilatat si alungit, trecerea intre cele doua segmente se poate face brusc, abrupt sau poate exista un segment aganglionat mai lung al carui calibru poate fi normal dar este mai mic ca al colonului supraiacent.
Evacuarea continutului colic se face lent, o data la 2-3 saptamani.
DIVERTICOLII COLONULUI
Diverticolii pot fi congenitali, avand toate straturile peretelui colic, sau dobanditi; se localizeaza la nivelul anumitor segmente ale colonului (sigmoid) sau pe tot cadrul colic.
Radioimagistic, apar ca imagini de plus de substanta baritata cu colet, au structura omogena, sunt bine delimitati.
Complicatii: - hemoragia
inflamatia - in acest caz conturul devine neregulat iar structura neomogena.

Fig. 234 Diverticolii colonului
Fig. 235 Diverticoli giganti la nivelul sigmoidului
Copyright © 2025 - Toate drepturile rezervate