![]() | Alimentatie | Asistenta sociala | Frumusete | Medicina | Medicina veterinara | Retete |
CANCERUL BRONHIC PERIFERIC SAU CANCERUL BRONHIILOR MICI
Nu prezinta simptomatologie clinica la inceputul evolutiei si este descoperit intamplator cu ocazia unui examen de rutina. Radiologic, apare ca o opacitate de forma rotunda, marime variabila cu diametrul intre 2-6 cm situat in plin parenchim pulmonar, la distanta de hil.
Imaginea radiologica seamana cu un chist hidatic de care se deosebeste prin aceea ca intensitatea este mai mare si conturul mai net. In hil si mediastin ganglionii sunt mariti (realizeaza imagine de complex bipolar). In cursul dezvoltarii, tumora poate avea aspect usor polilobat sau ombilicat.

Fig. 72 Cancer pulmonar periferic
Ombilicarea tumorii constituie semnul lui RIGLER care reprezinta un focar de necroza sau de scleroza la periferia tumorii. De asemenea, din periferia tumorii apar in evolutie mici prelungiri (spiculi) spre parenchim. Cancerul solitar se escaveaza frecvent. O varietate a cancerului periferic este cancerul varfului pulmonar descris de PANCOAST si TOBIAS in care tumora are tendinta la dezvoltare pleuro-parietala in zona sulcusului, cu invazia si distrugerea arcului posterior al coastei 1 si 2 sau apofizelor transverse ale vertebrelor T1-T2; se insoteste de simptome neurologice caracteristice (din partea plexului brahial, dureri si paralizie a membrului supertior) si tulburari ale simpaticului cervical (sindromul Claude -Bernard-Horner).
Fig. 73 Tumora Pancoast-Tobias


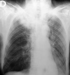
Fig.74 Caverna canceroasa
Limfangita carcinomatoasa: staza pulmonara, EPA, insuficienta inimii stangi, hiperemia pulmonara, diseminarea hematogena tuberculoasa, virozele cu determinari pulmonare, histoplasmoza, leucemia, pneumoconioze, fibroza pulmonara sistematizata, sarcoidoza, atelectazia discoidala Fleschner.
Cancerul bronsic periferic: tumori pulmonare benigne, toate procesele care dau opacitate rotunda unica.
Cancerul bronsic periferic escavat cu perete gros (caverna in chenar): tumori pulmonare benigne escavate, metastaze pulmonare hematogene escavate, silicom escavat, angeita necrozanta WEGENER escavata, sarcoidoza pulmonara escavata, abcesul golit, caverna TB partial umpluta
Cancerul bronsic central cu/sau fara adenopatie hilara: adenopatia TBC, adenopatiile din pneumonia franca lobara, bronhopneumonia nespecifica, stafilococie, etc., adenoviroze, histoplasmoza, linfosarcomul, sarcomatoza generalizata Kundrat, boala Hodgkin, leucemia, procese inhalatorii, silicoza, alveolita alergica, sarcoidoza, limfomul giganto-folicular Brill-Symmens, boala Hamman-Rich, histiocitoza X, hemosideroza idiopatica, mucoviscodoza.
SARCOMUL PULMONAR PRIMITIV
Are originea in tesutul conjunctiv, este o forma rara reprezantand in majoritatea cazurilor extensia in plaman a sarcoamelor mediastinale. Primitiv pulmonar poate fi, din punct de vedere histologic: limfosarcom, reticulosarcom, fibrosarcom, mixisarcom.
Radiologic, apare ca o opacitate omogena, rotund-ovalara, intensitate costala, contur net, fara semne de obstructie bronsica sau vasculara (pe care le impinge).
Limfosarcomul este foarte radiosensibil (3000-5000R) dar recidiveaza precoce (fata de reticulosarcom sau fibrosarcom).
Diagnosticul diferential se face cu toate opacitatile rotunde, unice.
TUMORILE PULMONARE SECUNDARE (METASTAZE)
Pe cale sanguina sau limfatica pot metastaza in plaman apoape toate tumorile primitive din alte organe: osteosarcomul, cancerul de san, de tiroida, de prostata, seminomul, melanomul, si altele. Dupa modul cum se imprastie matastazele in organism, se descriu trei tipuri de metastaze: tipul cav; tipul port; tipul pulmonar.
In tipul cav, celulele tumorale, ajung prin venele cave, in inima dreapta iar plamanul este primul filtru unde se pot opri aceste celule.
In tipul port, care este propriu organelor tubului digestiv, celulele tumorale, prin vena porta, ajung la ficat, care este primul filtru, apoi trec prin inima dreapta in plaman, al doilea filtru, si numai dupa ce au trecut prin inima stanga, sunt raspandite in restul organismului care formeaza al treilea filtru.
In tipul pulmonar, metastazele pleaca de la un cancer bronsic si se dezvolta tot in plaman.
In raport cu forma metastazelor, in plaman pot aparea urmatoarele forme de metastaze: forma nodulara, forma miliara, forma mediastinala, forma de limfangita carcinomatoasa, forma mixta
Forma nodulara este caracterizata prin existenta unor opacitati multiple (5-30 si mai multe) de forma rotunda, cu marimea variabila de la cativa milimetri la cativa centimetri, la inceput izolate apoi conflueaza.


Fig.75 Metastaze pulmonare-forma nodulara
Forma miliara consta in existenta a numeroase opacitati micronodulare, diseminate pe ambele campuri pulmonare, asemanatoare cu granulia tbc.
Forma mediastinala apare cand sunt invadati ganglionii hilari, iar radiologic, opacitatea mediastinala este marita, deseori cu contur policiclic.
Forma de limfangita carcinomatoasa apare radiologic ca opacitati liniare care radiaza divergent de la hil spre campurile pulmonare. Ea se intalneste mai frecvent in cancerul mamar, cancerul gastric, etc.



Fig.76 Limfangita carcinomatoasa
Forma mixta consta in asocierea diferitelor forme amintite. Aspectul radiologic este format de diferite opacitati, variabile ca forma si marime, unele rotunde, mici si mari, altele liniare.
Copyright © 2025 - Toate drepturile rezervate