![]() | Alimentatie | Asistenta sociala | Frumusete | Medicina | Medicina veterinara | Retete |
MODIFICARI EXUDATIVE reprezentate de revarsatele pleurale
MODIFICARI PROLIFERATIVE ca pleuritele si tumorile pleurale.
HIPERTRANSPARENTE si IMAGINI HIDROAERICE reprezentate de pneumotorax si hidropneumotorax.
MODIFICARI FIBRINOASE si CALCIFICARI reprezentand, in general, faza de cicatrizare a formelor anterioare.
Dupa natura lichidului, revarsatul pleural poate fi seros, transudat sau exudat in hidrotorax; purulent in piotorax; hemoragic in hemotorax si chilos sau chiliform in chilotorax. Pot exista si aspecte mixte de lichid serosangvinolent, seropurulent sau piohemoragic. Radiologic, natura lichidului nu poate fi decelata, toate revarsatele fiind considerate lichid pleurale.
Lichidul pleural poate fi liber in marea cavitate pleurala, sau poate fi inchistat .
In pleurezia cu lichid liber in cavitatea pleurala, indiferent de portiunea de pleura interesata, daca cavitatea pleurala este libera (fara aderente) lichidul se scurge in portiunea cea mai decliva, intre fata inferioara a plamanului si hemidiafragm, mai intai posterior, in sinusul costodiafragmatic, apoi lateral si eventual anterior iar, pe masura ce se acumuleaza, lichidul imbraca convexitatea pulmonara.
In functie de timpul care a trecut de la debut si de cantitatea de lichid din cavitatea pleurala, se descriu trei forme clinice si radiologice: pleurezia incipienta, pleurezia cu lichid in cantitate medie si pleurezia masiva.
In pleurezia incipienta cand cantitatea de lichid nu este inca suficienta ca sa se traduca prin opacitate la baza hemitoracelui respectiv, se poate observa doar o pozitie mai inalta si o mobilitate mai redusa a diafragmului ce contrasteaza cu diafragmul de partea sanatoasa care are pozitie si mobilitate normala sau chiar exagerata complementar.
Fig.77 Pleurezia incipienta
Uneori unicul semn al pleureziei este ingrosarea scizurilor interlobare.
O cantitate minima de lichid in sinusul costodiafragmatic posterior poate trece neobservat pe radiografia de fata, lichidul fiind mascat de diafragm. Acesta poate fi pus in evidenta pe o radiografie de profil cu tubul lateral, incidenta in care sinusul posterior nu mai este mascat de umbra hepatica ca pe imaginea de fata.
Lichidul devine vizibil pe o radiografie de fata, in ortostatism la cantitati de 250-600 ml.
Radiologic: opacitate omogena, de intensitate cu atat mai mare cu cat cantitatea de lichid este mai mare; delimitata net si care ocupa sinusul costo diafragmatic. In Trendelenburg, cantitatea mica de lichid de la baza migreaza intre foitele pleurale si opacifiaza varful pulmonului respectiv, aceasta manevra putand sa faca diagnosticul diferential intre o pleurezie minima si o ingrosare pleurala sechelara.
Pleurezia cu cantitate medie de lichid apare la o cantitate de lichid de 1000-1500ml care va opacifia complet baza hemitoracelui, cu tendinta de a urca anterior, lateral si posterior spre jumatatea acestuia; acumularea pe fata mediastinala este mai redusa decat la nivelul convexitatii pentru ca si reculul elastic este mai redus ca urmare a fixarii plamanului la hil si la ligamentul triunghiular. In incidenta posteroanterioara, avem opacitate triunghiulara (triunghiul lui Leobardi) cu o latura pe diafragm, una la peretele axilar al toracelui si a treia spre transparenta pulmonara. Aceasta latura are aspect curb, cu concavitatea in sus si inauntru -curba Damoiseau-Ellis - Kimbock (fig.78).

Fig. 78 Pleurezia in cantitate medie
In multe cazuri, curba lui Damoiseau se prelungeste de-a lungul peretelui lateral al toracelui cu o opacitate de lichid lamelara care urca pana la clavicula (linia Tournant) si care poate sa inconjoare varful (curba varfului Chaumet).
Opacitatea data de pleurezie este omogena, de intensitate costala ce nu permite vizualizarea desenului pulmonar fie din cauza ca plamanul este impins de lichid, fie pentru ca lichidul este in strat gros si nu permite vizualizarea desenului pulmonar.
In pleurezia masiva, lichidul opacifiaza omogen toata cavitatea pleurala dar descreste in intensitate spre varf. Hemitoracele este crescut in dimensiuni: peretele toracic este bombat, spatiile intercostale largite, mediastinul impins spre partea sanatoasa.

Fig.79 Pleurezia masiva, dreapta pleurezia in casca
Fig.80
Pleurezia in casca
Exista forme atipice de pleurezie ce apar in caz de leziuni asociate parenchimatoase intr-o anumita portiune a plamanului, care modifica retractilitatea pulmonara in regiunea lezata.
In pleurezia in manta Fleischner, lichidul poate fi repartizat intr-o lama mai mult sau mai putin uniforma de jur imprejurul plamanului sau numai pe fata lui costala si diafragmatica. Atunci, aspectul radiologic este de opacitate « in manta », de jur imprejurul plamanului. Din fata, avem opacitate difuza de intensitate subcostala iar din profil opacitate in lama net conturata spre transparenta pulmonara. Acest tip de pleurezie apare mai ales in caz de plaman cu fibroza.
Diagnosticul diferential al pleureziei libere in marea cavitate se face cu: pneumonia, pleurezii parapneumonice, atelectazia pulmonara, pahipleurita intinsa.
Pleureziile inchistate sunt frecvente si prezinta aspecte polimorfe in functie de sediul lor: parietal, diafragmatic, mediastinal, apical, axilar, interlobar. Apar datorita formarii de aderente intre foitele pleurale si pot fi aparent primitive sau reprezinta inchistari secundare in cursul evolutiei unei pleurezii a marii cavitati. Pleureziile inchistate sunt de cele mai multe ori purulente.
Pleurezia inchistata parietal (costal,) cand este privita tangential, da opacitate pleuretica net si liniar delimitata spre campul pulmonar, de obicei fuziforma, emisferica, cu baza la peretele costal.


Fig. 81 Pleurezii inchistate
Pleurezia inchistata diafragmatic: in dreapta conturul diafragmului drept este mult ridicat iar miscarile reduse sau absente dar niciodata paradoxale. Se poate confunda cu procesele subdiafragmatice (abces subfrenic, tumori hepatice, ficat marit) sau cu relaxarea diafragmatica, paralizia frenicului. Diagnosticul se precizeaza ultrasonografic. In stanga pleurezia diafragmatica inchistata comporta mai putine dificultati datorita prezentei bulei de gaz a stomacului.


Fig.82 Pleurezii inchistate diafragmatic
Fig.
83 Pleurezie inchistata diafragmatic
Pleurezia inchistata mediastinal poate fi: totala (cand lichidul ocupa etajul superior al spatiului pleural mediastinal cat si cele doua camere ale etajului inferior-anterioara si posterioara), sau partiala.
Pleurezia totala realizeaza o opacitate in banda care transpare prin opacitatea mediastinala (cord,vase) sau care o depaseste lateral fiind net si liniar conturata spre plaman. Conturul poate fi convex sau concav. Uneori, in dreptul hilului, colectia in banda poate fi ingustata de prezenta pedicolului vascular si opacitatea ia aspect "in ceas de nisip".
Pleureziile inchistate partial pot fi:
pleureziile mediastinale inferioare - dau opacitate triunghiulara cu varful la hil-triunghiul Chauffard-Rist care are o latura spre coloana vertebrala, alta spre diafragm si ipotenuza spre transparenta pulmonara. Radiografia de profil face diferentierea intre localizarea anterioara si cea posterioara.
pleureziile mediastinale superioare sunt intalnite mai rar in practica si foarte rar izolate. Se traduc printr-o umbra juxtamediastinala care largeste pediculul vascular, are forma vag triunghiulara si coboara de la varful plamanului pana la hil.
Diagnosticul diferential al pleureziilor mediastinale trebuie facut cu alte afectiuni mediastinale: mediastinite, abcese, tumori, anevrisme, ectazii vasculare, deplasari de organe mediastinale, dilatatii cardiace partiale.
Pleurezia inchistata la nivelul varfului este de obicei purulenta si da opacitatea <in casca>. Diagnosticul diferential se face cu cancerul apical.
Pleurezia inchistata axilar - lichidul se inchisteaza spre peretele axilar al toracelui. Radiologic, avem opacitate fusiforma lipita de peretele toracic, cu contur net si bombat spre aria pulmonara. Diagnosticul diferential se face cu pahipleurita axilara in care opacitatea are acelasi sediu si forma dar are structura neomogena, contur dintat inspre plaman si determina retractia coastelor si a hemitoracelui.
Pleurezia inchistata interlobar are aspecte radiologice foarte variate dupa cum lichidul ocupa tot sau numai partial spatiul interlobar, dupa sediul colectiei in acel spatiu, dupa cantitatea de lichid.


Fig. 84 Pleurezia inchistata in scizura orizontala dreapta

Fig. 85 Pleurezie inchistata
Pleurezia inchistata de tip mixt, lichidul putand ocupa spatii pleurale diverse: pleurezia mediastino-diafragmatica, mediastino-interlobo-diafragmatica, parieto-diafragmatica.
Sunt inflamatii ale pleurei care nu sunt insotite de exsudatie lichidiana. Se produc depozite de fibrina mai ales pe pleura parietala, ulterior si pe cea viscerala si rezulta o ingrosare a foitelor cu simfiza intre ele. Pleurita uscata insoteste orice boala a plamanului care se propaga pana spre suprafata lobului. Ca boala independenta poate fi o manifestare a infectiei tuberculoase.
Pleurita este saraca in semne radiologice, putandu-se evidentia un voal discret pe radiografia de fata, voal care se transforma in linie sau banda opaca in pozitiile oblic sau profil, cand pleura ingrosata este tangenta la razele X.
Pleurita are predilectie pentru varful plamanului, realizand pleurita descrisa de Sergent si care radiologic prezinta voalare a varfului pulmonar care nu dispare la tuse - semnul Rist-Kreutzfuchs.
Pleurita bazala descrisa de Kraus si Eppinger se traduce prin:
diminuarea excursiilor hemidiafragmului respectiv, mai la examinarea scopica
ascensionarea diafragmului
ingrosarea liniei diafragmatice cu estomparea in dreptul placardului de pleurita rezultand un contur diafragmatic discontinuu
stergerea contururilor sinusului costodiafragmatic.
Dupa rezorbtia procesului inflamator, in cateva zile, pleurita poate dispare complet sau lasa dupa ea simfize, aderente si placarde de pahipleurita.
Corticopleurita asociaza, pe langa opacitatea cu caractere pleurale, si leziuni nodulare sau trabeculare in parenchimul pulmonar. Se intalneste cel mai frecvent la varful plamanului dand corticopleurita Chaumet cu opacitate proiectata la nivelul coastei a 2-a care poate lasa cicatrici nodulare sclero calcare.
Ingrosarile pleurale scizurale sunt expresia unor procese inflamatorii in activitate sau a unor sechele pahipleurale si se traduc radiologic prin opacifieri liniare cand bolnavul este rotat pentru ca scizura sa devina ortograda. La incidenta de fata, se poate vedea doar ingrosarea scizurii orizontale drepte, scizurile oblice fiind situate aproape in plan frontal, ingrosarea scizurala nu se vede deloc sau da doar un voal neexpresiv.
TUMORILE PLEURALE pot fi :
benigne (foarte rare si se prezinta ca o opacitate circumscrisa, rotunda sau usor lobulata, net delimitata, de intensitate costala si omogena, uneori voluminoasa, cu baza pe peretele costal. La examenul radioscopic, se misca cu coastele in inspir, expir si tuse. Pot fi: fibrom, angiom, condrom, tumora amiloida pleurala, lipom. Radiologic, nu pot fi diferentiate neavand nimic caracteristic. Hiperplaziile lipomatoase subpleurale sunt foarte rare, adesea bilaterale. Apar ca opacitati rotunde, de intensitate subcostala, esalonate de-a lungul peretelui toracic.
maligne (sarcoame si carcinoame primare si secundare ce dau aspecte de multe ori identice din punct de vedere radiologic): opacitate rotunda sau ovalara, bine conturata. Uneori sunt insotite de osteolize costale sau condensare parenchimatoasa prin invazia plamanului. Mai frecvent este endoteliomul pleural sau mezoteliomul care este de 2 tipuri:
Mezoteliomul local situat pe pleura viscerala sau parietala, este benign, apare dupa 40 ani, atat la femei cat si la barbati. Radiologic: opacitate larga, omogena, circumscrisa, cu diametrul de 2-15 cm, mobila cu respiratia. Cand este localizat in scizuri, simuleaza un nodul solitar intrapulmonar sau un inchistat interlobar. Pe convexitate, apare ca o tumora solitara, sesila sau pediculata racordata in unghi obtuz la perete.
Mezotelioamele difuze sunt intotdeauna foarte maligne, apar ca ingrosari mari si multiple ale pleurei, cu baza larga de inplantare, care in incidenta tangentiala, realizeaza o banda opaca mamelonata, ce poate fi confundata cu o pahipleurita difuza. Initial sunt localizate pe convexitate, mai ales in dreapta, dupa care se extind repede pe toata suprafata pleurala, ca o carapace. Mai mult sau mai putin precoce, apare un revarsat pleural masiv hemoragic care poate deplasa cordul si mediastinul. Dupa evacuarea lichidului se pot evidentia mai bine opacitatile rotunjite sau ovoide ca niste formatiuni lichidiene, implantate pe pleura. Mezotelioamele dau rar leziuni costale sau metastaze. Mezoteliomul localizat mediastinal produce compresii si atelectazie.


Fig.86 Mezoteliomul pleural
Metastazele pleurale au aspect asemanator mezoteliomului, examenul histopatologic precizand diagnosticul.
PNEUMOTORAXUL
Pneumotoraxul se formeaza cand in cavitatea pleurala patrunde aer, foitele pleurale sunt indepartate intre ele, cavitatea pleurala se destinde si din virtuala devine reala. Dupa modul de patrundere a aerului in cavitatea pleurala, pneumotoraxul poate fi: traumatic, spontan sau artificial (terapeutic sau iatrogen, in scop diagnostic).
Pneumotoraxul traumatic se produce in caz de fracturi costale sau plagi penetrante ale peretelui toracic sau dupa manevre terapeutice ca: respiratie artificiala, intubatie traheala, bronhoscopie, esofagoscopie. Dupa patrunderea aerului coeziunea foitelor pleurale cedeaza iar plamanul este colabat la hil.


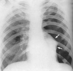
Fig. 87 Pneumotorax stang, respectiv drept cu plaman colabat in hil
Pneumotoraxul spontan apare frecvent la barbati de 30-40 ani. Este mai frecvent de partea dreapta, rar bilateral; in 30% din cazuri este recurent pe aceeasi parte, in 10% pe partea opusa. Se produce prin ruperea in cavitatea pleurala a unei bule de aer subpleurale. Se produce dupa un efort, dupa scaderea presiunii atmosferice, sau se asociaza cu diferite boli: TBC, pneumopatii acute, emfizem difuz, obstructii bronsice. In unele cazuri se produce aparent fara nici o cauza.
Radiologic, in pneumotorax avem:
Zona de transparenta crescuta cu sediul parietal
Lipsa desenului pulmonar la acest nivel
Plamanul colabat la hil are transparenta scazuta si desenul pulmonar mai sarac
Delimitarea intre plamanul colabat si colectia aerica pleurala se face de catre pleura viscerala care apare ca o dunga fina continua.
Dupa gradul de extensie pneumotoraxul poate fi:
Total - cu aspectul descris anterior.
Partial - mai greu de diagnosticat, uneori trecand neobservat. Se produce cand cavitatea pleurala prezinta bride sau aderente si aspectul pneumotoraxului este de punga transparenta variata ca topografie si dimensiuni. In unele cazuri simuleaza o bula de emfizem care, de altfel, poate coexista.
Exista o forma aparte: pneumotoraxul in manta in care aerul se aseaza ca o lama transparenta in jurul plamanului.
Pneumotoraxul poate produce dislocarea lobilor sau/si a mediastinului, aerul se insinueaza intre lobi sau intre mediastin si plaman pe care il impinge spre convexitatea hemitoracelui unde este fixat de aderente.
Pneumotoraxul poate fi inchis, deschis sau cu supapa (in care aerul patrunde intermitent in cavitatea pleurala in inspir ceea ce determina o crestere treptata a presiunii intracavitare cu deplasarea mediastinului, deprimarea hemicupolei diafragmatice si cu tulburari respiratorii sau cardiovasculare.
In mod normal, pneumotoraxul se resoarbe spontan dupa 2luni. In caz de fenomene inflamatorii supraadaugate sau cand foitele pleurale sunt ingrosate, cu calcificari, pneumotoraxul poate deveni cronic.
Cand pneumotoraxul se asociaza cu lichid pleural se produc imagini mixte pleurale- hidroaerice.
Hidropneumotoraxul poate fi seros, hemoragic sau purulent, radiologic nu se poate stabili natura lichidului. Aspectul radiologic este de nivel orizontal intre transparenta aerica superioara si opacitatea intensa inferioara. Nivelul de lichid oscileaza daca inclinam sau miscam bolnavul; de asemenea oscileaza cu pulsatiile cordului si cu miscarile respiratorii.
Uneori diafragmul poate avea miscari paradoxale: urca in inspir si coboara in expir-fenomenul Kiembock.
Lichidul din hidropneumotorax se poate incapsula mono sau multilocular, unele pungi prezentand nivel de lichid, altele nu. Pungile pot comunica intre ele, examinarea in diverse pozitii demonstreaza trecerea lichidului dintr-o punga in alta. Diagnosticul in cel multilocular este mai dificil putand fi confundat cu abcese pulmonare corticale.
SECHELELE PLEURALE dupa diferite afectiuni pleurale sunt de asemenea importante.
Simfizele pleurale se formeaza prin ingrosarea si lipirea foitelor pleurale.
La nivelul sinusului costodiafragmatic simfiza foitelor pleurale provoaca inchiderea si disparitia sinusului, iar in timpul respiratiei miscarea in balama.
La nivelul diafragmului se produc dintaturi in «varf de cort» , de la fiecare dintatura plecand un trabecul opac spre hil.
Pahipleurita reprezinta faza finala, de vindecare, prin rezorbtie si cicatrizare, a modificarilor exudative si proliferative. Pentru a da imagine radiologica de fata, ingrosarea pleurala trebuie sa aiba o grosime de 1,5cm pe linia axilara sau de 3mm in lungul scizurilor.Este mai frecventa localizarea bazala si se traduce printr-o opacitate triunghiulara ce seamana cu pleurezia dar se deosebeste prin faptul ca poate fi neomogena, de intensitate mai crescuta ca in pleurezie, retracta peretele toracic, micsoreaza spatiile intercostale, atrage diafragmul care devine orizontal, uneori concav si deviaza mediastinul spre focarul de ingrosare pleurala.
Localizarile apicale, axilare, mediastinale, scizurale sunt mai rar intalnite
Calcificarile pleurale apar dupa revarsate pleurale, cel mai frecvent dupa hemotorax, dar apar si in azbestoza, silicoza si fibrotorax.

Fig. 88 Schematizarea calcificarilor
pleurale

Fig. 89 Calcificari pleurale bazale dreapta
Pot aparea sub forma de opacitati multiple cu contur dintat, diseminati pe zona de electie, la baza, in santul costo-vertebral si pe linia axilara posterioara; sau pot conflua in placarde ce dau opacitati intense sub forma de scut, platosa sau in <fier de lance>.
Copyright © 2026 - Toate drepturile rezervate