![]() | Biologie | Chimie | Didactica | Fizica | Geografie | Informatica |
| Istorie | Literatura | Matematica | Psihologie |
PROTOZOARE - cale de patrundere, loc, manifestari clinice, stadii de inf
E.histolytica- f vegetativa
E.histolytica - f chistica(4nc)
3. E.histlytica + E.colli(8nc, incolona)


4. "Buton de camasa"- leziunea E.histolytica

5. Naegleria - f vegetativa

6. Naegleria - f. Flagelata

7. Acanthamoeba - f. flagelata

8. Acanthamoeba - f. chistica

9. Amoeba libera - naegleria sau Acanthamoeba

10. Giardia - forma vegetativa


11. Giardia - chist

12. trichmonas vaginalis - forma vegetativa numai !!!


13. col uterin - ulceratii- capsuna

14. leishmania - f. flagelata

15. butonul de orient

16. f. Amastigota intracel

17. cicatricea ramasa in urma butonului de orient

18. leishmanioza muco-cutanata - f. Espundia


19. tripanosoma - ambele au acelasi aspect

20. Semnul Winterbottom - T.brucei gambiesnse

21. Semnul Romana - Boala lu Chagas - sg care se transmite congenital

22. Toxoplasma - oochistul stadiul infectant- eliminat de pisica(gazda definitiva)

23. Toxoplasma - chistul tisular in carnea consumata de om

24. Toxoplasma - forma invaziva - endozoit/tahizoit

25. Toxoplasma congenitala - retinopatie

26. Micro/macrocefalie

27. Pneumocistis canini - col albastru de toluidina - peretele colorat

28. P. Canini - col Giemsa- nc 8

29. Criptosporidium parvum - Ziehl Nielson - oochisti in fecale

30. Isospora belli - oochist


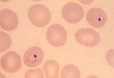
31.P. malariae - hematia parazitata =,< hematia normala, stadiu de rozeta in margareta

32. P. Malariae - amoeba in banda - tanara si matura

33. P.vivax - inel- hematia parazitatae mai mare decat cea normala

34. P.vivax- amoeba - pseudopode, vacuola, hematia marita

35. P.vivax - rozeta - corp muriform= nr mare de merozoiti, granule S..

36. Gametocitul sg stadiu care odata trecut la tantar il infecteaza

37. P. Ovalae - std rozeta - hematia ovala si franjurata

38. P.falciparum - parazitemie crescuta in f.finale, hematiile multiparazitate

39. P.falciparum- inele periferice

40. Gametocit in cosulet + urma hematiei

HELMINTI
Taenia saginata si solium (4 ventuze)

Strobilul teniei - portiunea terminala a T. Solium - Ovigere

strobilul teniei - Solium - ovigere ram uterine mici, aspect dendritic- bonsai - eliminate odata cu fecalele
proglot de T.saginata - lung si subtire, ram numerose dicotoomice, au miscari de contractie si relaxare - iese si intre scaune - oul de tenia sainata nu este std inf pt om , numai cisticercul
Oua de T.solium - embrionat hexacant(std inf)- cale digestive la om - st cisticerc ( larvar) inf cu cisticerc- std urmator - tenie adult

Cisticerci intr-o limba de porc/bou
Ou de H. nana - embrion hexacant, nu necesita gazda intermediara - autoinfectie

D.lattum - stobil 10-12m - pe centru linia uterelor


ou de botriocefal neembrionat, operculat ( larva plericercoida din carnea pestilor este inf)


Chistul hidatic - f de larva a E. Granulosus

12. Str schematica a unui chist hidatic - ext - int :
Adventicea
Cuticula multilaminara
Proligera - inmugureste
la int rezulta vezicule secundare - cuticula si proligera - v III
la ext - vezicule secundare - cuticula,proligera, adventice - vIII
toate proligerele produc lichidul hidatic si protoscolexii cu scolex invaginat

Hidatidoza multiloculara - E. Multilocularis

14. Vezicule hidatice ( nu rama in parenhimul pulm - protoscolex)
15. Fasciola hepatica - reteaua de canalicule biliare

16. Oul de fasciola hepatica operculat

17. Cercarul
18. Paragonimus - f. Adulta
19. Schistosoma - singurul trematod cudimorfism sexual
20. 3 oua elem de diagn - de la stg la dr : S. Haematobium, S. Mansoni, S. Japonicum



21. Furcocercarul
22. Schistosoma Cronica
23. Ascaris

24.Ou fecundat de ascaris

25. Ou nefecundat de ascaris

26. Ou embrionat de ascaris - std infectant

toxocara
27. Oxiurul - femela - extrem dr

28. Oua de E. Vermicularis pliuri muc. Anale

29. Trichuris trchura - dr femela, stg mascul
30. Oul de tricuris : matureaza pe sol nu are nevoie de ciclu perienteric - ou cu larva std inf

31. Larve de trichinella spiralis
32. Trichennla in muschi
33. Ancylostoma naecator - capsula bucala

34. oua d e Ancylostoma - partial embrionate , geohelmit, l

s. Larva migrans cutanata - produsa de Acylostoma neparazite la om (caine)

37. larva de strongiloides - elem de diag - s.g in fecale

38. aspectul esofagului la Strongiloides - o portiune lunga si una ca un bulb

39. elefantiasis - W.brancofi
40. zone de depigmentare in oncocercoza
41. sorturile lifatice + zone de depigmentare - oncocercoza
42. oncocercoza oculara - pol ant: keratita semilunara; post - retinopatie
43. edem de Kala-Abar - -- Loa Loa
44. dracunculus

Copyright © 2025 - Toate drepturile rezervate