![]() | Alimentatie | Asistenta sociala | Frumusete | Medicina | Medicina veterinara | Retete |
Universitatea de Medicina si Farmacie 'Gr.T.Popa' Iasi
Facultatea de Medicina Dentara
EVALUAREA CLINICA A MATERIALULUI DE OBTURATIE CANALARA ''ACROSEAL''
Tratamentul canalelor radiculare prin obturatia ermetica radiculara ar trebui sa previna si sa trateze inflamatia tesuturilor periapicale prin eliminarea bacteriilor si a pulpei alterate de catre procesul infectios in interiorul sistemului radicular. Umplerea canalelor radiculare este cateodata, comparata cu metodele implantare deoarece materialul de obturatie este in stransa legatura cu tesuturile periapicale. Pentru ca inca nu exista un material ideal de obturatie a canalelor radiculare, se foloseste gutaperca cu un material endodontic de obturatie.
Materialul de obturatie canalara ar trebui sa prezinte o serie de calitati standard. Eficacitatea seler-ului depinde de activitatea sa antibacteriana, de biocompatibilitatea cu tesuturile inconjuratoare, precum si de calitatile de etanseizare cum ar fi adeziunea fata de canalul radicular si consistenta ce au proprietatea de a minimaliza spatiul dintre conurile de gutaperca si peretii canalelor radiculare. Exista trei tipuri de materiale de etanseizare : hidroxidul de calciu, eugenol cu oxid de zinc si rasina. Recent, s-a dezvoltat Acroseal-ul (Septodent), un material de etanseizare a spatiului dintre conul de gutaperca si peretele canalului radicular.S-a obtinut un certificat de siguranta in acord cu standardele ISO 11014.Baza contine metilen amina (hexametlentetraamina) si acid glycyrrhetinic (enoxolone) si catalizatorul contine hidroxid de calciu si rasina DGEBA.Ambele paste contin un excipient radioopac.Enoxolone are propritati antibacteriene.DGEBA este o rasina epoxidica .Studiile experimentale au demonstrat ca Acroseal in comparatie cu alte sigilante de canal (RSA, Rocanal R4, N2,
Bioseal) formeaza cel mai fin strat 9+/- 2.55µm,in coparatie cu Rocanal R4 95±12 μm, N2 50 ± 23 μm, Bioseal 41 ± 13 μm sau RSA 9.3 ± 1 μm ,astfel realizand o obturatie de canal tridimensionala ,etansa .Acest material are un effect citotoxic foarte redus.Gambarini si colaboratori au evaluat citotoxicitatea materialelor de obturatie radiculara la soareci culture de fibroblaste 3T.Bioseal,Acroseal si Fibre-Fill au fost evaluate.Toate materialele au un nivel crescut de citotoxicitate asta este comun cu aplicatiile clinice .
Scopul acestui studiu este de a evalua obturarea sistemului canalar folosindu-se Acroseal si conurile de gutaperca.
Materiale si metode
64 de pacienti cu varste cuprinse intre 20 de ani si 65 de ani au primit tratament la nivelul canalelor radiculare. Au fost tratati dinti cu un singur canal radicular sau cu multiple canale radiculare. In principiu, s-au folosit 28 de dinti unicanalari si 36 de dinti cu mai multe canale radiculare. Figura nr. 1 arata pacientii pe categoriile de varsta.
Douazeci si patru de dinti(37,5%) au prezentat pulpita ireversibila, saptesprezece(26,6%) dintre ei necroza sau gangrena si la nivelul a douzeci si trei(35,9%) de dinti ar trebui revizuit tratamentul endodontic(fig. 3). Lungimea canalara functionala a fost stabilita cu ajutorul unui apex locator electronic si verificat la nivelul unor radiografii. Canalele au fost tratate folosindu-se metode conventionale (39,1%) si step-back (12,5%) cu instrumente manuale (NiTiFlexMaster) sau rotative (EndoMateTC). 51 de canale radiculare au fost obturate folosindu-se metoda condensarii laterale si 12 folosindu-se metoda unui singur con de gutaperca. La condensarea laterala s-a introdus in canalele radiculare o cantitate minima de material de obturatie cu ajutorul unui intrument manual, apoi conul principal a fost plasat si apoi acoperit cu o cantitate foarte mica de material, astfel condensarea la rece avand loc. Mai mult, fiecare con aditional a fost acoperit cu material de obturatie.
La cea de-a doua metoda, si anume cea a unui singur con, materialul a fost introdus in interiorul canalului radicular cu un ac Lentulo si conul de gutaperca a fost inserat. S-a verificat radiologic calitatea obturatiei. La intervale de o saptamana, o luna si 6 luni s-au facut evaluari clinice, cum ar fi : teste de percutie, inspectii si palpari la nivelul regiunii periapicale. Evaluarea post tratament a inclus si aparitia unei posibile dureri (spontana sau provocata de actul masticator), durata sa, precum si evolutia acesteia. Intensitatea dureroasa a fost evaluata cu ajutorul urmatorilor indici : 0 - fara discomfort; 1 - usoara, de durata mica, fara necesitatea analgezicelor si fara a compromite actul masticator; 2 - moderata, ce necesita analgetice; 3 - severa cu compromiterea masticatiei. Dupa 6 luni s-au facut examene radiologice.
Rezultate si discutii
Calitatea tratamentului canalar, precum si prognosticul sau depinde de mai multi factori ce tin de practician, de pacient, dinte dar si de materialele si instrumentarul utilizat in tratament. Calitatea tehnica a tratamentului endodontic evaluat prin relatia dintre lungimea ocupata de materialul de obturatie, lungimea canalului radicular la nivel radiologic si adaptarea materialului de obturatie la peretii canalari este destul de saraca. In studii facute in urma, cu privire la un alt material de obturatie radiculara, AH Plus, s-a observat prezenta materialului in jurul apexului la dintii monoradiculari intr-un procent de 44,4% . La uzul Acroseal-ului s-a observat un procentaj mai scazut , ceea ce poate fi pus pe seama densitatii mai mari a materialului. Cum s-a mentionat si mai sus, cea mai recomandata metoda de obturati este cea de condensare a gutapercii asociata cu un material de obturatie. Dintre toate metodele de condensare a gutapercii, cea mai utilizata metoda este cea de condensare la rece. In orice caz, cei mai multi medici dentisti folosesc metoda unui singur con si umplerea spatiului dintre con si pereti canalului cu un material de obturatie.



Fig. 10 dintele 1.1 : diagnosticul inainte de tratament: gangrena; A - inainte de tratament; B - evaluarea radiologica a lungimii radiculare; C - metoda de condensare la rece a conului de gutaperca; D - la 6 luni dupa obturatia canalara;

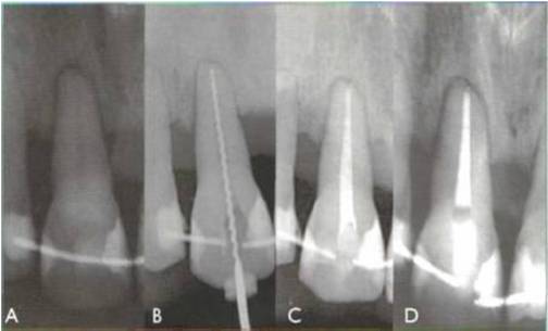
Fig . 11 dintele 2.2; A - inainte de tratament, pierderea inlay-ului de substitutie; B - evaluarea lungimii canalului din punct de vedere radiologic; C - folosirea metodei de condensare laterala a conului de gutaperca; D - 6 luni dupa obturarea canalului radicular; E - dintele restaurat;

Fig 12 - dintele 4.6 A - inainte de tratament, canalul distal nu este obturat pe toata lungimea sa si canalul mezial nu este obturat; B - obturarea canalelor folosindu-se metoda condensarii laterale, in canalul distal se poate observa sealer-ul in jurul apexului radiologic;
In acest studiu, o parte dintre pacientii au suferit de durere post-obturatori in prima zi si o parte in cea de-a doua zi. Durerea post tratament apare cel mai frecvent dupa folosirea metodei unui singur con de gutaperca in comparatie cu metoda de condensare laterala. Durerea post operatorie apare destul de frecvent. Aceasta deranjeaza medicul practician si atat mai mult pe pacienti, mai ales ca inainte de tratament dintele respectiv nu prezenta nicio jena dureroasa. In acest studiu, 10, 9% dintre pacienti au suferit o durere usoara in timpul actului masticator, in prima zi dupa tratament ( gradul 1 ). 4, 7% dintre pacienti au prezentat o durere moderata spontana ( gradul 2 ).
Acest simptom a scazut in intensitate in cea de-a doua zi, ca dupa 4 zile sa fie aproape inexistenta ca pentru saptamanile ce au urmat sa dispara definitiv.
Cu toate acestea, cand s-a folosit AH Plus , s-a observat ca durerea continua si dupa o saptamana de la tratament in 38,9% din cazuri. S-a facut o analiza a relatiei dintre extensia materialului de obturatie si durere si s-a aratat ca durerea este cu atat mai mare cu cat materialul depaseste constrictia apicala. O putin mai mare incidenta s-a observat in cazurile canalelor obturate cu AH Plus. Nu s-a observat nicio relatie in cazul tipului de metoda utilizata. Postobturator, durerea poate sa apara din cauza a diferiti factori cum ar fi : sexul, tipul dintelui, sensibilitatea dureroasa la tratament, leziunile periapicale, numarul de tratamente efectuate si statutul de sanatate al pacientului. S-a studiat de asemenea si relatia dintre durerea preoperativa si postoperativa. S-a observat o corelatie pozitiva intre durerea severa si intensificarea edemului si tratamentele multiple. De asemenea se vede o relatie pozitiva intre reviziile endodontice si durerea preoperativa si leziunile periapicale. Nu exista nicio relatie intre durerea postobturatorie si starea pulpei inainte de tratament. S-a aratat ca nu exista o astfel de relatie intre durerea postobturatorie si abces la nivelul dintilor cu pulpa necrotica in comparatie cu dintii ce prezinta inflamatia pulpei.
In concluzie, s-a demonstrat ca exista o legatura intre durerea postobturatorie si starea pulpei inainte de tratament. In principiu, discomfortul postoperator a fost observat mult mai putin in timpul tratamentului dintilor cu pulpita ireversibila decat la dintii cu gangrena si in timpul reineceperii tratamentului endodontic. Mai mult, s-a observat o conexiune intre durere si anatomia dintelui. Durerea apare mai frecvent la tratamentul dintilor cu canale multiple decat la cei cu un singur canal. Calitatea materialului de obturatie poate fi observat si pe radiografii. Acroseal-ul are o buna radioopacitate, datorita careia poate fi foarte bine apreciata aderenta fata de peretii canalelor radiculare. In opinia autorilor, consistenta materialului poate fi optima in obturarea canalelor folosindu-se metoda de condensare laterala sau cea a unui singur con. Mixarea bazei cu catalizatorul este simpla, obtinandu-se un material omogen, fara bule de aer. La evaluarea radiografica se poate observa ca spatiul dintre conurile de gutaperca si peretii canalari este umplut, obtinandu-se o ermetizare completa. Materialul poate fi cu usurinta indepartat cand este nevoie, cum ar fi de exemplu la inlaturarea unui inlay de substitutie plasat gresit. Daca un canal trebuie sa fie din nou obturat, este necesar sa se dizolve sealer-ul cu o solutie Endosolv. In concluzie, este de subliniat faptul ca evaluarea clinica a materialului de obturatie Acroseal a fost pozitiva. Aplicarea sa este foarte simpla, adeziunea fata de peretii canalelor radiculare a fost foarte buna si daca e nevoie poate fi usor indepartat.
Copyright © 2026 - Toate drepturile rezervate