![]() | Biologie | Chimie | Didactica | Fizica | Geografie | Informatica |
| Istorie | Literatura | Matematica | Psihologie |
Protozoarele sunt denumite dupa termenii grecesti: proto pentru primul si zoon animal. Marimea lor variaza foarte mult, de la cativa micrometri (Cryptosporidium sau Plasmodium) la cativa milimetri (gregarinele sau opalanidele). Toate sunt organizate dupa trasaturile de baza ale celulelor eucariote. Ca organisme heterotrofe, sunt lipsite de abilitatea de a utiliza lumina si materialele anorganice pentru a obtine energie si pentru a sintetiza componentele structurale. De aceea, ele trebuie sa obtina compusi organici pre-formati, pe aceasta baza pot fi considerate animale. Cu exceptia catorva specii sedentare, marea majoritate a protozoarelor sunt mobile. Deoarece au dificultati in retinerea apei (datorita in parte dimensiunilor lor reduse) majoritatea traiesc in medii acvatice sau cel putin umede. Desi, majoritatea protozoarelor traiesc liber, unele specii sunt mutualiste, comensale sau adevarati paraziti. Unele sunt foarte patogene pentru gazdele lor, plante sau vertebrate si, de aceea, sunt relevante pentru medicina umana, veterinara si pentru agricultura.
Trei grupe de protozoare sunt responsabile de boli ce provoaca endemii redutabile pentru om.
Pe primul loc se situeaza toate hematozoarele genului Plasmodium ce sunt transmise de catre tantari din genul Anopheles. Alti paraziti inruditi cu plasmodiile sunt specii de Babesia si Theileria sunt transmisi de catre capuse.
Urmeaza trypanosomele ce apartin grupului flagelatelor. In Africa au ca vector glosinele si provoaca boala somnului. Plosnitele reduviide transmit trypanosome si provoaca boala lui Chagas. Puricii si alte artropode sunt implicati in transmisia altor specii de trypanosome.
Apoi reamintim leishmaniile ce paraziteaza omul si alte vertebrate si au ca vectori specii de flebotomi.
Sistemul de clasificare al Protozoa este in permanenta schimbare deoarece noi date sunt obtinute incontinuu. Conform lui Levine et al. Protozoa sunt considerate ca un subregn ce se divide in sapte filumuri dintre care numai primele cinci includ stadii parazitice importante.
Phylum: Sarcomastigophora (25 000 de specii recente);
Phylum: Apicomplexa (Sporozoa) (4800 de specii);
Phylum: Microspora (800 de specii);
Phylum: Myxozoa (875 de specii);
Phylum: Ciliophora (7500 de specii);
Phylum: Ascetospora (30) de specii;
Phylum: Labyrinthomorpha (35 de specii .
Genul Piroplasma
Protozoarele din genul Babesia transmise de catre capuse sunt protozoare nepigmentate ce se multiplica in celulele rosii ale sangelui indivizilor mai ales asplenici. Cateva specii de Babesia (Tabel 16, Plansa 69) provoaca infectii naturale la oameni, vite, alte animale domestice si la rozatoarele salbatice pe care se hranesc, in mod normal, unele stadii de dezvoltare ale capuselor.
Tabel 16 Speciile mai importante de Babesia.
|
Specia |
Vectorul specia - stadiul |
Gazda vertebrata |
Marimea in eritrocite (µm) |
Distributia geografica |
|
Babesia bigemina |
Boophilus spp. Nimfe, adulti |
cornute, bivoli, rumegatoarele salbatice |
Europa de Sud, America, Africa, Asia, Australia |
|
|
Babesia bovis |
Boophilus spp., Ixodes spp. Rhipicephalus bursa - Larve |
cornute, bivoli, rumegatoarele salbatice |
Europa de Sud, America, Africa, Asia, Australia |
|
|
Babesia divergens |
Ixodes ricinus Larve |
cornute, bivoli, rumegatoarele salbatice, oameni |
Europa |
|
|
Babesia major |
Haemaphysalis punctata Adulti |
cornute |
3 x 1,5 |
Europa de Sud si de Vest, Marea Britanie, Nord-vestul Africii |
|
Babesia motasi |
Haemaphysalis spp., Rhipicephalus bursa - Adulti |
oi, capre |
4 x 2.5 |
Europa de Sud, Estul si Sudul, Rusiei, Africa, Asia |
|
Babesia ovis |
Rhipicephalus bursa - Adulti |
oi, capre |
2 x 1 |
Europa de Sud, Rusia Est si Sud, Africa, Asia |
|
Babesia caballi |
Hyalomma spp., Dermacentor spp., Rhipicephalus spp. Adulti |
cai, magari, Equus burchelli |
4 x 2,5 |
Europa Asia, Africa, America, Australia |
|
Babesia canis |
Rhipicephalus sanguineus, Haemaphysalis leachi, Dermacentor reticulatus Nimfe, adulti |
caini, vulpi si alte canide salbatice |
Europa Asia, Africa, America, Australia |
|
|
Babesia trautmanni |
Rhipicephalus spp. ? |
porci |
Europa de Sud, Africa |
|
|
Babesia herpailuri |
Felis sylvestris |
America de Sud |
||
|
Babesia pantherae |
F. sylvestris, Panthera leo |
Africa |
||
|
Babesia (syn. Microbabesia) gibsoni |
Haemaphysalis bispinosa, Rhipicephalus sanguineus toate stadiile |
Caini, vulpi si alte canide salbatice |
Asia, Africa, India, Japonia |
|
|
Babesia felis (syn. Achromaticus felis) |
Felidae inclusiv Panthera leo Felis sylvestris |
Africa |
||
|
Babesia (syn. Achromaticus) rodhaini = B. quadrigemina |
soareci |
Europa |
Homer, M.J, Aguilar-Delfin, I., Telford, S.R., Krause, P.J., Persing, D.H. - 2000. Babesiosis. Clin. Microbiol. Rev. 13:451-469
Ciclul de viata la Babesia canis (Plansa 69)
Sporozoiti in saliva capuselor. 2-5. Reproducerea asexuata in eritrocitele vertebratelor gazda (cainele) prin diviziune binara, producerea de merozoiti (5) ce patrund in alte eritrocite. Atunci cand merozoitii sunt ingerati de catre capusa (5.1) ei sunt digerati in interiorul intestinului (5.2). 6. Unii dintre merozoiti se transforma in gamonti ovoizi. Dupa ingestia in celulele intestinale ale capusei acestia formeaza protuberante si apar ca niste corpuri cu raze. (9). Fuziunea a doua astfel de corpuri, uninucleate (gameti). Formarea unui zigot. Formarea unui singur kinet dintr-un zigot in interiorul unei vacuole interne. Kinetul strapunge celulele intestinale si patrunde in celulele diferitelor organe (inclusiv in oua) ale capuselor vectoare. 15-18. Formarea catorva kineti (sporokineti). Acest proces este repetat (15-18) si se produce si in ouale capuselor. De aceea, infectia poate fi transmisa la generatia urmatoare de capuse (transmisia transovariana). Unii dintre kineti patrund in celulele glandelor salivare unde se formeaza un sporont mare, multinuclear (YS, ES) care in final da nastere la mii de sporozoiti mici (SP) care sunt injectati in timpul hranirii (transmisie transtadiala), CY cytomere (uninucleate); ED, eritrocite digerate; KD kinet in dezvoltare; E eritrocit; SM sporont marit (formand sporozoiti); PG parazit in crestere (stadiu polimorf); HC nucleul celulei gazda; VI vacuola interna; N nucleu; NH nucleul celulei gazda; R protuberanta in forma de raza; SP sporozoit T structura apicala in forma de teapa; ST sporont tanar.
PLANSA 69.
Ciclul de viata la Babesia canis

(Sursa Internet)
Kinetoplastida
Sunt protozoare flagelate sanguicole exoeritrocitare constituite dintr-o singura celula prevazuta cu un flagel. Ele se gasesc in sange - unde se deplaseaza intre diferitele celule sanguine (globulele rosii si globulele albe) si in alte lichide biologice.
Membrii acestui grup includ: trypanosomele Africane care sunt responsabile de boala somnului la oameni (Trypanosoma brucei rhodesiense si Trypanosoma b. gambiense) si (Trypanosoma b. brucei) ce provoaca la vite boala nagana agentul Sud American Trypanosoma cruzi, ce provoaca boala lui Chagas; si Leishmania spp., ce sunt responsabile de diferitele leishmanioze: leishmanioza cutanata (oriental sore, espundia sau uta) si leishmanioza viscerala (kala azar) (Tabel 17).
Toate sunt caracterizate de prezenta AND-ului extracromozomal localizat intr-un kinetoplast. Acesta este usor de recunoscut ca al doilea punct colorat din citoplasma, primul fiind nucleul.
La gazdele vertebrate pot fi identificate doua forme morfologice (Plansa 70): flagelatele trypomastigote extracelulare si amastigotele intracelulare. Nu toate formele sunt produse de catre toate speciile. Trypomastigotele sunt singura forma morfologica produsa de catre trypanosomele africane, pe cand amastigotele sunt singurele forme produse de catre speciile de Leishmania. Ambele, trypomastigote si amastigote, sunt produse de catre Trypanosoma cruzi.
Pentru om sunt importante numai 2 specii patogene:
Trypanosoma cruzi responsabila de trypanosomiaza umana americana (sau maladia Chagas) ce exista numai in America Latina (Plansa 73) ce are ca carei vector plosnitele reduviide;
Trypanosoma brucei strict localizata in Africa neagra (Plansa 72), in regiunile in care traieste musca tsetse.
Trypanosoma brucei face parte din sub-genul Trypanozoon subdivizat in 3 specii (vezi Clasificarea).
Exista un mare numar de alte specii patogene pentru animale dar nu sunt transmise de catre glossine.
Trypanosoma equiperdum responsabila de o boala foarte cosmopolita pentru equide, ce se transmite sexual;
Trypanosoma evansi responsabila de Sura, maladie a cailor si a camelidelor din Africa si Asia. Este transmisa mecanic de catre tabanide si de catre lilieci;
Trypanosoma brucei cuprinde 3 sub-specii, transmise numai de catre glossine deci ele exista numai in zona lor de repartitie. Descoperirea trypanosomelor din grupul brucei a deschis polemica legata de taxonomia lor.
De retinut ca este admisa existenta unei singure specii Trypanosoma brucei ce se subdivizeaza in trei subspecii:
Trypanosoma brucei brucei parazit al cornutelor, responsabila de boala Nagana.
Trypanosoma brucei gambiense agentul bolii somnului in forma sa cronica in Africa de Vest si in Africa Centrala. Teoretic este patogena numai la om.
Trypanosoma brucei rhodesiense agentul unei antropozoonoze. Prezent in Africa de Est, este responsabila, la om, de o forma particulara de THA.
Morfologie
Trypanosoma brucei gambiense masoara de la 20 la 30 microni lungime. Dupa fixarea si colorarea cu Giemsa, el apare ca un element alungit prevazut cu un nucleu rosu situat median si cu un mic punct rosu la una din extremitati kinetoplastul de unde porneste un flagel. Acest flagel iese din celula la extremitatea ei posterioara si ramane fixat printr-o membrana - miscarile imprimate membranei de catre flagel i-au dat numele de "membrana ondulanta". Flagelul se prelungeste la extremitatea anterioara a parazitului cu 6-7 microni.
Ciclul la Trypanosoma brucei gambiense se desfasoara in sangele gazdei mamifere si in vector. In timpul ciclului parazitul sufera anumite transformari.
In sangele mamiferelor parazitul poate fi gasit sub mai multe forme, in particular sub forma lunga (a), forma sub care trypanosoma se multiplica si forma bondoaca (c), forma de la care va porni o noua varianta antigenica. Intre aceste doua tipuri exista forme intermediare (b).
Forma lunga sau subtiata "slender" a carei talie medie este intre 23 si 30 de µm dar care poate depasi 40 de µm. Ea este prevazuta cu un flagel liber de 6 microni si cu o membrana ondulanta bine dezvoltata. Kinetoplastul este subterminal la mai mult de 4 µm de extremitatea posterioara care este alungita. Nucleul este oval. Aceasta este forma sub care trypanosoma se multiplica in sange.
Forma scurta sau bondoaca "stumpy" ce masoara intre 12 si 26 µm, este ingrosata, fara flagel liber (sau usor marcat), cu un kinetoplast dispus mai terminal decat la forma lunga, cu o extremitate posterioara rotunjita, un nucleu rotund si o membrana ondulanta bine dezvoltata. Proportia acestor forme diferite in sange este dependenta de la raspunsul imunologic al gazdei.
Toate formele sanguicole de trypanosome sunt regrupate sub termenul de "forme trypomastigote".
In glossine, trypanosomele (trypomastigote) ingurgitate incep prin a se alungi in tubul digestiv al insectei (e), isi pierd mantaua antigenica de la suprafata (stratul de glicoproteine variabile de suprafata situat pe partea externa a membranei celulare a trypanosomei) responsabila de variatiile antigenice. Aceasta este "forma prociclica". Apoi trypanosomele ajung in glandele salivare ale insectei. Aici ele se scurteaza si kinetoplastul migreaza in spatele nucleului (forma epimastigota) (f). In urmatoarea etapa kinetoplastul se replaseaza in fata nucleului si trypanosoma isi reconstituie mantaua antigenica de suprafata (forma metaciclica) (g). Din acest moment este din nou capabila sa infecteze o noua gazda mamifer (forma metaciclica infestanta) in care va relua forma sa trypomastigota (vezi Ciclul Plansa 71
Unele specii de trypanosome Africane sunt raspandite de catre vectori mecanici. In astfel de cazuri trypomastigotele sunt transmise de la o gazda la alta de catre piesele bucale ale vectorilor contaminati (dezvoltarea parazitului nu mai are loc in interiorul vectorului).
Tabelul 17. Gravitatea
bolilor cauzate la om si la diverse animale
domestice, de catre trypanosomele patogene transmise de catre
glossine.
Legenda: gazde ce nu contracteaza boala in mod normal (chiar daca infectiile experimentale sunt posibile); ± boala benigna; + boala de gravitate moderata; ++ boala grava; +++ boala foarte grava.
Bibliografie
Barrett, M. P., Burchmore, J. S., Stich, A., Lazzari, J. O., Frasch, A. C., Cazzula, J.J., Krishna, S. - 2003. The trypanosomiases. The Lancet 362: 1469-80
Buscaglia, C. A., Di Noia, J. M. - 2003. Trypanosoma cruzi clonal diversity and the epidemiology of Chagas disease. Microbes Infect. 5, 419-427
Donelson, J.E. - 2003. Antigenic variation and the African trypanosome genome. Acta Tropica 85, 391-404
Gibson, W. - 2001. Sex and evolution in trypanosomes. Int. J. Parasitol. 31:643
Gibson, W. - 2002. Will the real Trypanosoma brucei rhodesiense please step forward? Tr. Parasitol. 18:486
Kennedy, P.G.E. - 2004. Human African trypanosomiasis of the CNS: current issues and challenges. J. Clin. Invest. 113, 496-503
Macedo, A.M., Machado, C.R., Oliveira, R.P., Pena, S.D.J. - 2004. Trypanosoma cruzi: genetic structure of populations and relevance of genetic variability to the pathogenesis of chagas disease. Mem. Inst. Oswaldo Cruz 99, 1-12
Vickerman, G. - 1985. Developmental cycles and biology of pathogenic trypanosomes. Br. Med. Bull. 41, 105-114
PLANSA 70.
Polimorfismul in cadrul familiei Trypanosomidae

NB. Numai formele trypomastigote (din sange, lima sau lichidul spinal) si amastigote (intracelulare) se gasesc in gazdele vertebrate, formele epimastigote si cele promastigote sunt prezente in insectele gazda vectoare.
PLANSA 71.
Ciclul de viata la Trypanosoma brucei spp, (boala somnului)
I. formele de Trypanosome gasite in musca tse-tse;
II. formele de Trypanosome din sangele gazdei vertebrate.
a) Trypomastigotele sunt inoculate vertebratelor de catre musca tse-tse in momentul hranirii cu sange. Parazitii extra-celulari se reproduc asexuat in sange, prin diviziune binara si, mai tarziu, in limfa si in lichidul spinal.
b) Formele trypomastigote se transforma intr-o forma infectanta pentru musca tse-tse, asa-numita forma "bondoaca".
c) Ajunse in intestinul mediu al insectei mitocondriile parazitului devin active si au loc alte diviziuni.
d) Parazitii migreaza catre proventricul si glandele salivare unde se transforma in epimastigote si apoi se produc noi cicluri de diviziuni binare.
e) In glandele salivare, trypomastigotele par capabile sa infecteze o noua gazda vertebrata (trypomastigote "metaciclice").
PLANSA 72.
Tipuri de trypanosome I.
Trypanosome Africane Trypanosoma brucei
Trypanosoma gambiense (trypanosomiaza Gambiana)
Trypanosoma rhodesiense (trypanosomiaza Rodeziana)
Trypanosoma brucei
PLANSA 73.
Tipuri de trypanosome II.
Trypanosoma musculi (soarece) Trypanosoma lewisi (sobolan)
Trypanosome Americane
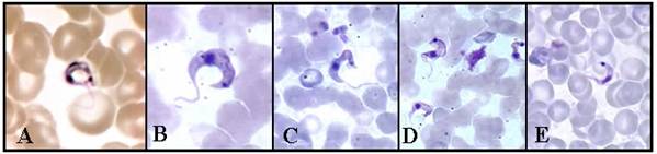
Trypanosoma cruzi A, B, C, D, E: pe frotiuri, coloratie Giemsa.
Copyright © 2025 - Toate drepturile rezervate